http://dx.doi.org/10.20986/resed.2023.4023/2022
ORIGINAL
EFECTIVIDAD DEL BLOQUEO DE NERVIOS CLUNEALES PARA TRATAMIENTO DE DOLOR LUMBAR CRÓNICO
EFFECTIVENESS OF CLUNEAL NERVE BLOCK FOR THE TREATMENT OF CHRONIC LOW BACK PAIN
M. A. Vanegas Rico1, J. M. Prieto Restrepo1, R. E. Valencia2, C. V. Guauque Marcelo2 y J. V. Sarmiento Palma3
1Medicina del Dolor. Fundación Universitaria de Ciencias de la Salud. Hospital de San José. Bogotá, Colombia
2Departamento de Medicina del Dolor. Fundación Universitaria de Ciencias de la Salud. Hospital de San José. Bogotá, Colombia
3Epidemiología. Universidad Autónoma de Bucaramanga, Santander, Colombia
RESUMEN
Introducción: El dolor lumbar representa una problemática de salud pública ante la discapacidad que genera, sea motora o sensitiva de etiología multifactorial, en la cual el atrapamiento de los nervios cluneales cumple un papel importante, encontrando como una alternativa al dolor por esta patología el manejo intervencionista. El objetivo principal del estudio fue establecer la efectividad del bloqueo de nervios cluneales en dolor lumbar crónico en pacientes mayores de 18 años de dos hospitales de Bogotá.
Métodos: Estudio de tipo observacional, retrospectivo, realizado en pacientes diagnosticados con dolor lumbar crónico y signos y síntomas de atrapamiento de nervios cluneales o clunealgía llevados a bloqueo de nervios cluneales en quienes que se evaluó la intensidad del dolor y duración del efecto analgésico en cuatro momentos.
Resultados: Se identificaron 45 pacientes; de estos, 11 no presentaban datos de seguimiento. El 93 % (n = 35) de los pacientes presentaron una EVA (escala visual análoga del dolor) mayor a 7 previo al procedimiento, el 28 % (n = 11) presentaron postbloqueo inmediato mejoría del dolor con una EVA menor a 6, en el primer control el 57 % (n = 22) conservaron la mejoría alcanzada, y el 10 % (n = 4) retornó a su estado basal de dolor. En el segundo, el 10 % (n = 4) de los pacientes no presentaron cambios en la intensidad, y el 78,9 % (n = 30) conservaba mejoría en la intensidad del dolor.
Conclusiones: El bloqueo de los nervios cluneales es una alternativa vanguardista de manejo transitorio del dolor lumbar crónico que permitirá seleccionar con mayor objetividad los pacientes candidatos a intervencionismo guiado por fluoroscopia. Se propone la realización de estudios mediante estudios tipo III como los ensayos aleatorizados con grupos donde se administre placebo versus mezclas analgésicas en pacientes con clunealgía.
Palabras clave: Dolor de la región lumbar, síndrome de compresión nerviosa, plexo lumbosacro, bloqueo nervioso, ultrasonografía.
ABSTRACT
Introduction: Low back pain represents a public health problem due to the disability it generates, whether motor or sensory, of multifactorial etiology, in which cluneal nerve entrapment plays an important role, finding an alternative to pain from this pathology. interventional management. The main objective of the study was to establish the efficacy of cluneal nerve block in chronic low back pain in patients older than 18 years from two hospitals in Bogotá.
Methods: Observational, retrospective study, carried out in patients diagnosed with chronic low back pain and signs and symptoms of cluneal nerve entrapment or clunealgia leading to cluneal nerve block in whom pain intensity and duration of the analgesic effect were evaluated. in four moments.
Results: 45 patients were identified; of these, 11 did not present follow-up data. 93 % (n = 35) of the patients presented a VAS (visual analogue pain scale) greater than 7 prior to the procedure, 28 % (n = 11) presented immediate post-block pain improvement with a VAS less than 6, 57 % at the first control (n = 22) maintained the improvement achieved, and 10 % (n = 4) returned to their baseline state of pain. In the second, 10 % (n = 4) of the patients did not show changes in intensity, and 78.9 % (n = 30) maintained improvement in pain intensity.
Conclusions: Cluneal nerve blocks are an avant-garde alternative for the temporary management of chronic low back pain that will make it possible to more objectively select patients who are candidates for fluoroscopy-guided intervention. Studies are proposed using type III studies such as randomized trials with groups where placebo is administered versus analgesic mixtures in patients with clunealgia.
Key words: Low back pain, nerve compression syndromes, lumbosacral plexus, nerve block, ultrasonography.
Recibido: 12-09-2022
Aceptado: 21-04-2023
Correspondencia: Maira Alejandra Vanegas Rico
mavanegas@fucsalud.edu.co
INTRODUCCIÓN
El dolor lumbar crónico, comprendido como aquel dolor superior a 3 meses de evolución, es una afectación musculoesquelética que perturba la calidad de vida y una de las principales causas de discapacidad a nivel mundial. Se estima una prevalencia puntual de 12 a 33 % (1), convirtiéndose en un problema de salud pública. La edad es uno de los factores de riesgo más comunes. Algunos estudios han evidenciado que la incidencia es alta en la tercera década, con un pico a los 60 o 65 años (2). Al revisar los datos epidemiológicos descritos en la literatura, la etiología del dolor lumbar es multifactorial, incluyendo factores físicos, mecánicos y neurofisiológicos (3), el atrapamiento de los nervios cluneales SCN-SCM (nervio cluneal superior y nervio cluneal medio, por sus siglas en inglés) cuya incidencia descrita es del 1,6 al 14 % (4). Los síntomas más comunes de la clunealgía, dolor a nivel lumbar mal localizado, con irradiación variable a los glúteos y/o las piernas, los puntos sensibles a la palpación se localizan en la cresta ilíaca superior o caudal a la espina ilíaca posterosuperior.
La debilidad muscular y los cambios sensoriales están ausentes en el síndrome del nervio cluneal (5). El dolor puede iniciarse por la activación de los nociceptores dentro del tejido conectivo en contacto con los nervios periféricos (6). El atrapamiento del nervio cluneal superior, por lo general, ocasiona dolor lumbar bajo, que puede ser irradiado a miembros inferiores hasta el pie, y estos síntomas típicamente pueden semejar una radiculopatía secundaria llamada o a una estenosis del canal lumbar descrito como pseudociática (7).
Los síntomas radiculares han sido estudiados mediante estudios anatómicos, en los que el nervio cluneal superior tiene una rama medial que podría pasar por el canal osteofibroso, que puede tener su inicio a nivel de L3 a L5, los cuales se anastomosan con las ramas laterales de S1 y S2, lo que podría sugerir el origen de estos síntomas (7-9).
Ante la pobre respuesta analgésica con manejo farmacológico y no farmacológico, se realizó manejo intervencionista guiado por ecografía; en los estudios describen la mezcla analgésica usada con 4 ml de dextrosa al 5 % más lidocaína al 1 %, realizando hidrodisección del nervio (10).
Con respecto a la tasa de éxito del manejo intervencionista, en el 2013 Kuniya y cols., en su estudio prospectivo de 113 pacientes, recibieron infiltraciones de nervio cluneal una semana después del procedimiento la puntuación EVA media disminuyó a 4,5 ± 2,8 (p < 0,05) (11). En el 2018 Isu y cols. describen respuesta exitosa en el 68 % de 25 pacientes, experimentando mejoría de la intensidad del dolor en un 50 % en población joven (12).
No se encontró en la literatura estudios realizados en Colombia que evalúen la efectividad del bloqueo de los nervios cluneales para el diagnóstico y tratamiento del dolor lumbar crónico, ni están descritos los beneficios que ofrece frente a control de síntomas radiculares y disminución de uso de analgésicos, por lo que surge la necesidad de este estudio para establecer la efectividad del bloqueo de los nervios cluneales en el alivio del dolor lumbar crónico en pacientes mayores de 18 años del Hospital de San José y Clínica Los Nogales en la ciudad de Bogotá entre agosto de 2019 y junio de 2021.
MÉTODOS
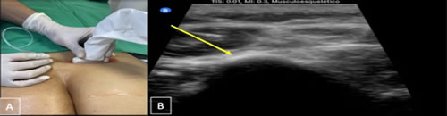
Se realizó un estudio de tipo observacional, retrospectivo, en pacientes diagnosticados con dolor lumbar crónico, signos y síntomas de atrapamiento de nervios cluneales o clunealgía llevados a bloqueo. Se revisaron las historias clínicas obteniendo información demográfica y clínica. Los criterios de inclusión son pacientes mayores de 18 años de edad con antecedente de patología lumbar por imágenes de resonancia o radiografía, con uno o más síntomas, dolor lumbar, irradiación a glúteo o miembro inferior, disestesia, exacerbación del dolor con cambios en la postura lumbar, y/o signos de clunealgía evidenciados en el examen físico de la historia clínica, a quienes se les realizó bloqueo analgésico de nervios cluneales (Figura 1 A y B) en el Hospital Universitario San José y Clínica Los Nogales en Bogotá durante el 1 de septiembre de 2019 al 31 de abril de 2021. Se excluyeron pacientes a quienes se les realizó otro tipo de procedimiento analgésico tipo bloqueos de bandas miofasciales y bloqueos facetarios con mejoría del dolor.

Fig. 1. A. Técnica de abordaje guiado por ultrasonido en los dos hospitales. Paciente en decúbito prono, transductor de alta frecuencia sobre el plano transversal de espina ilíaca posterior, la fascia toracolumbar y el borde lateral del músculo erector de la columna, al final del glúteo mayor se observa el glúteo medio conocido este punto como túnel graso. B: se realiza infiltración de medial a lateral al nivel de la espina ilíaca posterosuperior y sobre fascia toracolumbar, en el nervio cluneal superior (flecha amarilla) con solución analgésica con lidocaína al 1 % sin epinefrina 100 mg o bupivacaína al 0,25 % + betametasona 6 mg (volumen total 5 mililitros) a nivel perineural e interfascial. Observando la fascia toracolumbar y el músculo erector de espina separarse.
Se identificaron las historias clínicas de los pacientes a incluir en el estudio mediante la búsqueda orientada por lo códigos CIE-10 correspondientes a dolor lumbar e información con la base de datos de los procedimientos realizados en estas fechas.
De los registros médicos, el “momento 0” corresponde a la evaluación de la intensidad del dolor previo a la realización del procedimiento (el mismo día del procedimiento); el “momento 1” a la evaluación de la intensidad del dolor inmediatamente después de realizar el bloqueo, el “momento 2” a la evaluación de la intensidad del dolor en el primer control postbloqueo (media de 81 días [± 67]) y el “momento 3” a la evaluación de la intensidad del dolor en el segundo control post bloqueo (media de 267 días [± 135,5]); en los pacientes que no tenían seguimiento posterior al procedimiento, se realizó llamada telefónica indagando sobre las variables estudiadas.
Para la cuantificación del dolor se dispuso la escala verbal análoga del dolor (EVERA) referida por Keele en 1948 (13), quien describió la intensidad del dolor en diferentes tipos: ausente, leve, moderado o severo, y la escalas visual análoga EVA de cero a diez, siendo 0 ausencia del dolor y 10 la peor expresión de dolor, descrita en 1978 por Dowine (14). Cada una de estas escalas fue elegida dependiendo de la capacidad de interpretación y de respuesta de los pacientes.
Ante la heterogeneidad de prescripción farmacológica se cualificó mediane una variable dicotómica (sí/no) la disminución del consumo general de analgésicos que tenía el paciente prescrito previo a procedimiento de bloqueo analgésico de nervios cluneales.
Se realizó un análisis descriptivo de las variables sociodemográficas estudiadas apoyado en el cálculo de frecuencias y medidas de tendencia central. Se realizaron tablas de frecuencia y gráficos mostrando la información obtenida. Para comparar la intensidad del dolor en los cuatro momentos, se utilizó la prueba de Wilcoxon, al ser variables cuantitativas no paramétricas. El análisis de la información se realizó con el paquete estadístico Stata 13.0 y RStudio.
Responsabilidades éticas
Aval de comité de ética: el estudio fue aprobado por los Comités de investigaciones y ética de la Facultad de Medicina de la Fundación Universitaria Ciencias de la Salud y Clínica Los Nogales el 25 de junio del 2021.
Protección de personas y animales: los autores declaran que para esta investigación no se han realizado experimentos en seres humanos ni en animales. Los autores declaran que los procedimientos seguidos se conformaron a las normas éticas del comité de experimentación humana responsable y de acuerdo con la Asociación Médica Mundial y la Declaración de Helsinki. Por las características del estudio se clasifica como sin riesgo según la resolución 8430 de 1993 de Colombia.
Confidencialidad de los datos: los autores declaran que han seguido los protocolos de su centro de trabajo sobre la publicación de datos de pacientes.
Derecho a la privacidad y consentimiento informado: los autores declaran que en este artículo no aparecen datos de pacientes. Los autores han obtenido el consentimiento informado de los pacientes y/o sujetos referidos en el artículo. Este documento obra en poder del autor de correspondencia.
RESULTADOS
Se identificaron 45 pacientes llevados a bloqueo de nervios cluneales con diagnóstico de dolor lumbar crónico con signos y/o síntomas de clunealgía, cumpliendo los criterios de inclusión. Los síntomas más frecuentes fueron el dolor neuropático irradiado a miembros inferiores en el 57 % (n = 21) y el dolor lumbar en el 36 % (n = 13) se obtuvieron datos sociodemográficos descritos en Tabla I y II. Hubo pérdida de seguimiento de 11 pacientes posterior al procedimiento (Figura 2).
Tabla I. Variables sociodemográficas.

Tabla II. Variables sociodemográficas.


Fig. 2. Gráfica selección de pacientes. Se identificaron 49 pacientes. De estos, de 11 no se logró contacto efectivo y hubo pérdida de seguimiento posterior al procedimiento.
Dentro del manejo farmacológico, se evidenció la disminución del consumo diario de analgésicos posterior al bloqueo de nervios cluneales en el 65 % de los pacientes. El acetaminofén representó el 88,5 % (n = 34) de los fármacos prescritos, el 65,7 % (n = 25) recibió opioides, hidrocodona el 23 % y tramadol el 23 %; los neuromoduladores más prescritos fueron pregabalina 21 % y amitriptilina 18 %; y AINE 11,4 % (Tabla III).
Tabla III. Uso de opioides y neuromoduladores antes del bloqueo cluneal.

El 93 % (n = 35) de los pacientes llevados a bloqueo cluneal presentaron un EVA severo (mayor a 7) previo al procedimiento. El 28 % (n = 11) de los pacientes presentaron en el postbloqueo inmediato una disminución del dolor con un EVA menor de 6; en el primer control el 57 % (n = 22) conservaron la mejoría del dolor y el 10 % (n = 4) había retornado a su estado basal de dolor. Sin embargo, para el segundo control el 10 % (n = 4) de los pacientes no presentaron cambios en la intensidad del dolor de acuerdo con la valoración realizada previamente al procedimiento y el 78,9 % (n = 30) conservaba mejoría en la intensidad del dolor comparado con la EVA aplicada previo a bloqueo (Figura 3).
*EVA: Escala visual análoga del dolor: de 0 a 10.

Fig. 3. Diagrama de caja y bigotes de la intensidad del dolor en cada momento. Momento 0: Previo a bloqueo el 93 % de los pacientes llevados a bloqueo cluneal presentaron un EVA severo (mayor a 7). Momento 1: inmediato al bloqueo, el 28 % de los pacientes presentaron una supresión del dolor con un EVA menor a 6. Momento 2 (primer control con media de 81 días [± 67]) el 57 % conservaron la mejoría del dolor, para el Momento 3 (segundo control post-intervención con media de 267 días (± 135,5) el 78,9 % conservaba mejoría en la intensidad del dolor.
El tiempo de realización de primer, segundo y tercer momento está comprendido entre 81 (± 67) y 267 días (± 135,5); después del bloqueo la intensidad del dolor en el primer momento fue 3, segundo momento 4, y tercer momento 6 (Tabla IV) evaluados con test de Wilcoxon con un valor (p < 0,001).
Tabla IV. Escala Visual Análoga.

DISCUSIÓN
La edad de incidencia de clunealgía reportada en diferentes estudios esta entre 50 a 68 años (2,15), lo cual se puede apoyar con nuestro estudio cuya mediana de edad fue 54 años. Por otro lado, la población femenina en nuestro estudio representó el 73 %; es un reflejo de la afectación del género, en forma frecuente, y en concordancia con lo encontrado por 2013 Kuniya y cols., con un 54 % (16).
En el estudio de Chiba y cols., los síntomas referidos por los pacientes fueron dolor lumbar en un 53 % (17). En relación con nuestro estudio, el 36 % manifestaron dolor lumbar y el 57 % dolor irradiado a miembro inferior.
Los 38 pacientes llevados a bloqueo de los nervios cluneales tuvieron una calificación inicial de la EVA con una mediana de 8 previo a la realización del bloqueo. En el primer momento refirieron una EVA con una mediana de 3, logrando así una disminución de 5 puntos, siendo concordante con el estudio realizado por Kuniya y cols., donde evidenciaron hasta una disminución del 20 al 50 % de la EVA (16). Sin embargo, en este estudio no se evaluó la durabilidad del bloqueo a diferencia de nuestro estudio, donde encontramos que en el primer momento una EVA de 4 y en el segundo control de 6, lo que influyó la reducción del consumo de analgésicos.
Este procedimiento intervencionista tiene efecto diagnóstico, terapéutico y un menor coste con respecto al uso.
Dentro de las limitaciones de nuestro estudio, la recolección de datos de las historias clínicas estuvo limitada por datos incompletos, no continuidad en el seguimiento de los pacientes secundario a trámites de administrativos de las entidades promotoras de salud; los principales sesgos de nuestro estudio fueron el sesgo de selección y medición con una heterogeneidad del uso de las escalas de dolor.
Los alcances de este estudio se extienden a todos los pacientes con dolor lumbar crónico secundario a compromiso de nervios cluneales que tengan mejoría transitoria del dolor mediante bloqueo analgésico; sin embargo, se requiere demostrar los beneficios de esta técnica mediante estudios tipo III como los ensayos aleatorizados con grupos donde se administre placebo versus mezclas analgésicas en pacientes con clunealgía.
AGRADECIMIENTOS
Le extendemos nuestro agradecimiento a nuestras familias, compañeros de trabajo y docentes que fueron la guía y nos han apoyado en todo el proceso de realización de este estudio.
CONFLICTOS DE INTERESES
En esta investigación no existen conflictos de intereses.
BIBLIOGRAFÍA