http://dx.doi.org/10.20986/resed.2022.3983/2022 
NOTA CLÍNICA
NO ES SOLO DOLOR LUMBAR: MANIFESTACIÓN ATÍPICA DEL ANEURISMA DE AORTA
  NOT JUST LOW BACK PAIN: ATYPICAL MANIFESTATION OF AORTIC ANEURYSM
P. Juárez Mayor1, J. Sánchez Ibáñez2 y G. Miguel Bielsa2
1Servicio de Nefrología. Hospital Clínico Universitario ‘Lozano Blesa’. Zaragoza, España
2Medicina de Familia y Comunitaria. Hospital Clínico Universitario ‘Lozano Blesa’. Zaragoza, España
RESUMEN
La rotura de aneurisma de aorta supone el síntoma principal en hasta un 25 % de los casos de la patología de aneurisma de aorta, que constituye una entidad potencialmente mortal. También puede aparecer con menor prevalencia como lumbalgia, coxalgia e, incluso, gonalgia, no comentándolo como dolor vertebral o neuropático, sino como irritación a nivel de psoas ilíaco como primera sintomatología. 
  Se estima que solo en un 50 % de los casos aparece la triada clásica del aneurisma, por lo que es necesario tener un alto nivel de alerta para sospecharlo, ya que la hipovolemia puede estar contenida por un hematoma peritoneal.
Palabras clave: Aneurisma de aorta, lumbalgia, diagnóstico diferencial.
ABSTRACT
Aortic aneurysm rupture is the main symptom in up to 25 % of cases of aortic aneurysm pathology, which is a life-threatening disease. It may appear less frequently as low back pain, coxalgia and even gonalgia, not as vertebral or neuropathic pain, but as irritation at the level of the iliac psoas as the first symptomatology. 
  It is estimated that only in 50 % of cases the classic aneurysm triad appears, being necessary to have a high level of alertness to suspect it, since hypovolemia may be contained by a peritoneal hematoma.
Key words: Aortic aneurysm, low back pain, differential diagnosis.
Recibido: 12-04-2022
Aceptado: 13-12-2022
Correspondencia: Paula Juárez Mayor
pjuarezmayor@gmail.com
INTRODUCCIÓN
El aneurisma de aorta es una patología relativamente frecuente en la población general, que cuenta con un amplio abanico de manifestaciones clínicas, incluido cuadros de dolor que pueden parecer inespecíficos. Dado que su rotura supone una situación que pone en peligro la vida del paciente, se debe sospechar ante la presencia de alguno de los síntomas que se van a describir en el caso clínico relatado a continuación.
CASO CLÍNICO
Acude al servicio de urgencias hospitalarias un paciente varón de 74 años, con antecedentes médicos de tabaquismo activo, EPOC, trombocitosis, hiperplasia benigna de próstata y aneurisma de aorta en estudio, en tratamiento actual con tamsulosina 0,4 mg, ácido acetilsalicílico 100 mg y bromuro de ipatropio 250 mcg/ml. Consulta por lumbocoxalgia izquierda irradiada a glúteo y rodilla izquierda, de varios días de evolución y que se inició de forma brusca al incorporarse de la cama, sin traumatismo ni sobreesfuerzo previo. Afebril en todo momento. No clínica digestiva ni urinaria acompañante. El dolor no aumenta con maniobras de Valsalva ni presenta clínica vegetativa acompañante. Valorado el día anterior en el servicio de urgencias hospitalarias por el mismo motivo, siendo pautado analgesia vía oral sin mejoría clínica significativa.
  A la exploración física, destaca hipotensión arterial, junto con hematoma en región inguinal izquierda y dolor a la palpación del trocánter mayor. La movilidad de cadera izquierda permanece conservada, aunque resulta muy dolorosa. El resto de exploración y constantes vitales concuerdan con la normalidad.
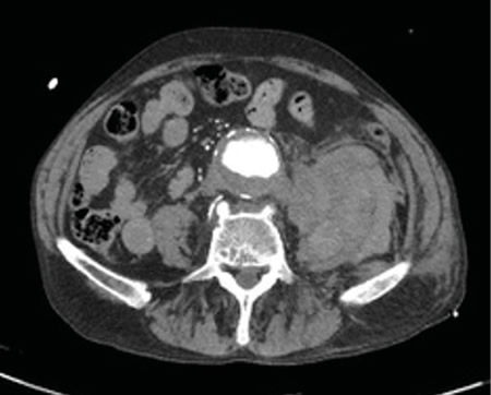
Respecto a las pruebas complementarias, en la analítica sanguínea, se halla una PCR de 39,1 mg/l, leucocitosis de 21.300/mm3, con 88 % de neutrófilos, y una hemoglobina de 10,5 g/dl. En la radiografía pélvica no se evidencian hallazgos patológicos. Debido a la hipotensión, se decide realizar un TC abdominal (Figuras 1 y 2), en el que se objetiva un aneurisma de aorta infrarrenal roto, con diámetro de 50 x 52 x 48 milímetros, a 50 mm de arteria renal derecha y a 65 mm de arteria renal izquierda, craneal a la bifurcación ilíaca. Asimismo, se aprecia un hematoma retroperitoneal en contexto de sangrado en parte posterior de la aorta, que infiltra el músculo psoas ilíaco izquierdo, justificando la clínica de coxalgia con irradiación izquierda. Se contacta con cirugía vascular, interviniéndose de forma urgente, con buena evolución posterior.

Fig. 1. TC coronal de aneurisma de aorta abdominal.

Fig. 2. TC transversal de aneurisma de aorta abdominal.
DISCUSIÓN
Se conoce como aneurisma arterial a aquella dilatación focal permanente superior al 50 % del diámetro normal de la arteria sana adyacente. Se trata de una entidad relativamente frecuente, presentándose entre el 2 y el 5 % de la población a nivel mundial. Su localización más habitual es a nivel de aorta infrarrenal (1).
  Su desarrollo está relacionado con diferentes factores: el tabaquismo, el sexo masculino, la etnia caucásica, la edad avanzada, la aterosclerosis, el EPOC, historia familiar o personal de aneurismas, conectivopatías, así como el antecedente de instrumentación o cirugía de aorta (1-3).
  El aneurisma de aorta presenta un espectro clínico muy amplio, pudiendo ser desde asintomático, siendo en efecto su forma más frecuente de presentación (hasta en el 75 % de los casos), hasta constituir un cuadro potencialmente mortal en caso de rotura (1,4).
  La rotura de aneurisma de aorta supone la primera manifestación clínica de hasta el 25 % de los casos de aneurisma. El riesgo de rotura aumenta de forma proporcional al diámetro de la aorta, suponiendo un riesgo superior al 20 % aquellas aortas con diámetros mayores a 7 cm2. Puede manifestarse de forma variada: aunque se habla de que existe una triada clásica, compuesta por dolor, presencia de masa pulsátil e hipotensión, esta solo aparece en un 50 % de los casos (5). Por tanto, es necesario realizar una adecuada anamnesis al paciente en caso de sospecha para poder detectar síntomas de alarma que, pese a que son menos frecuentes, están descritos en la literatura (4).
  En ocasiones, la rotura de aneurisma aórtico abdominal puede contenerse, formando un hematoma a nivel retroperitoneal, evitando el desarrollo de shock hipovolémico agudo y, en muchas ocasiones, la muerte inminente del paciente. Descrito por primera vez por Szilagyi en 1965 (5), este cuadro se presenta en ocasiones como una lumbalgia o un dolor neuropático a nivel de raíces bajas, en función de su localización, de las estructuras colindantes y de la presión que ejerza este hematoma a nivel local (6,7). Esta clínica puede prolongarse durante un tiempo indeterminado, alcanzando en la mayoría de casos el mismo desenlace: la rotura complicada del mismo, requiriendo entonces de intervención urgente (8).
  El comentado dolor lumbar o neuropático de raíces vertebrales bajas se puede justificar por varias consecuencias que produce la rotura del aneurisma, como son la erosión de las vértebras adyacentes debido a la pulsación arterial continua sobre las mismas (6,8), que puede llegar a producirse incluso sin la rotura del aneurisma (9), junto con la irritación de músculos y nervios a ese nivel, como el músculo psoas ilíaco o nervio femoral, por la hemorragia ocasionada, como aconteció en nuestro caso.
  Respecto al diagnóstico, es importante tener en cuenta los antecedentes clínicos del paciente y la exploración física, incluyendo sus constantes vitales en el momento de la asistencia, ya que la presencia de un dolor regional a nivel lumbar puede ser un tanto inespecífica sin el contexto adecuado. De hecho, cabe destacar que hasta un 8 % de los dolores lumbares atendidos no son de origen osteomuscular (9). Por ello, ante la sospecha de un cuadro de origen no mecánico, es aconsejable la búsqueda de masa pulsátil a nivel abdominal, además de una exploración física exhaustiva por aparatos (4,8).
  En lo que respecta a las características del dolor lumbar en el caso de un aneurisma aórtico, estas también pueden ayudar a diferenciar el origen del mismo, destacando que el dolor no osteomuscular no presenta modificación a los cambios de posición ni cuenta con unos factores desencadenantes o atenuantes claros (4), junto con la baja respuesta al tratamiento analgésico habitual (3). 
  De cara a confirmar las sospechas diagnósticas de aneurisma de aorta, es fundamental el uso de pruebas de imagen, siendo de elección inicial la ecografía abdominal en los casos que no presenten complicaciones asociadas, dejando la tomografía computarizada para aquellos sujetos en los que la ecografía presente escasa rentabilidad y aquellos en los que se sospeche rotura del aneurisma (3,10).
  La rotura complicada de un aneurisma supone una urgencia de riesgo vital, con una mortalidad que oscila el 80-90 % de los casos. Es por ello que su tratamiento es la realización de una intervención quirúrgica urgente, mediante cirugía abierta o endoprótesis, en función de las características clínicas del paciente. En los casos en los que el aneurisma presente un tamaño que implique riesgo de rotura (superior a 5,5 cm), se ha de derivar a cirugía vascular de cara a realizar una intervención de manera programada, disminuyendo así el riesgo de complicaciones (3).
CONCLUSIONES
El aneurisma de aorta es una patología relativamente frecuente en la población y su complicación mediante rotura puede convertirse en una urgencia vital. Una de sus manifestaciones clínicas poco habituales puede ser el dolor lumbar, que constituye un motivo muy frecuente de consulta a los servicios asistenciales. Suponen datos de sospecha de aneurisma aórtico, o de rotura del mismo, la presencia de un dolor lumbar que no presenta factores desencadenantes claramente asociados y que no cede ante la analgesia habitual, junto con la presencia de factores de riesgo de la entidad clínica. Será necesario ampliar el estudio mediante pruebas de imagen de cara a conseguir un diagnóstico certero y poder realizar tratamiento de forma programada, evitando las complicaciones derivadas de los procedimientos urgentes.
BIBLIOGRAFÍA