10.20986/resed.2025.4164/2024
NOTA CLÍNICA
Bloqueo ilioingional-iliohipástrico para hernioplastia inguinal en paciente frágil
Ilioingional-iliohypastric block for inguinal hernioplasty in fragile patients
Yosselly Ninoska Carrillo Aybar1
Sonia Milena Ortiz1 y Onel Morales Torres2
1Adjunto del Hospital de Palamós. Gerona, España
2Jefe del Servicio de Anestesia y Reanimación. Hospital de Palamós. Gerona, España
RESUMEN
Introducción: La reparación de la hernia inguinal es uno de los procedimientos quirúrgicos más realizados cada año y se ha descrito que la incidencia de dolor postoperatorio moderado a intenso alcanza hasta el 60 %, por lo que sería deseable llevar a cabo este tipo de cirugía con riesgos anestésicos mínimos, una rápida recuperación y alta médica pronta. El bloqueo ilioinguinal-iliohipogástrico (II/IH) es una opción anestésica segura para pacientes frágiles con múltiples comorbilidades cardiopulmonares y alteraciones anatómicas que dificultan técnicas anestésicas neuroaxiales.
Presentación de caso: Presentamos el caso clínico de un paciente adulto mayor de 88 años ASA III, sometido a una hernioplastia inguinal electiva, bajo anestesia regional: bloqueo II/IH bajo guía ecográfica más sedación, manejo analgésico complementario con paracetamol y antinflamatorios, alta de cirugía médica ambulatoria a su domicilio y control postoperatorio sin complicaciones.
Discusión: La herniorrafia inguinal es sin duda uno de los procedimientos quirúrgicos más frecuentes en cualquier hospital, requerido cada vez más en pacientes adultos frágiles, por lo que es muy importante elegir una técnica anestésica individualizada y que permita una pronta recuperación y un buen control del dolor postoperatorio, anestesia regional: bloqueo II/IH ofrece este tipo de ventajas, además de ser parte de la estrategia para brindar analgesia multimodal con otros coadyuvantes como hemos demostrado en este reporte de caso clínico y como se describen en la literatura actual, comparado con solamente la anestesia general o neuroaxial.
Conclusión: La hernioplastia inguinal con anestesia regional mediante bloqueo II/IH es una técnica segura y efectiva lo que la hace ideal para pacientes en el grupo de edad geriátrica considerados frágiles por sus múltiples patologías y polimedicación, y se debería considerar cada vez más su realización en este tipo de pacientes sobre todo con el objetivo de evitar complicaciones perioperatorias y llevar un mejor control del dolor postoperatorio.
Palabras clave: Bloqueo ilioinguinal-iliohipogástrico, hernioplastia, paciente frágil
ABSTRACT
Introduction: Inguinal hernia repair is one of the most performed surgical procedures each year and the incidence is reported to be up to 60 % of moderate to severe postoperative pain, which is why, one would expect to perform this type of surgery with minimal anesthetic risks, rapid recovery and prompt medical discharge, ilioinguinal-iliohypogastric block is a safe anesthetic option for fragile patients with multiple cardiopulmonary comorbidities and anatomical alterations that difficulty neuraxial anesthetic techniques.
Case presentation: We present the clinical case of an 88-year-old adult patient ASA III, for elective inguinal hernioplasty, under regional anesthesia: Ilioinguinal-Iliohypogastric block under ultrasound guidance plus sedation, complementary analgesic management with paracetamol and anti-inflammatory drugs, discharge from outpatient surgery to his home and postoperative control without complications.
Discussion: Inguinal herniorrhaphy is undoubtedly one of the most frequent surgical procedures in any hospital, increasingly required in fragile adult patients, so it is very important to choose an individualized anesthetic technique that allows early recovery and good postoperative pain control, regional anesthesia: Ilioinguinal-iliohypogastric block offers such advantages, in addition to being part of the strategy to provide multimodal analgesia with other adjuvants as we have demonstrated in this case report and as described in the current literature, compared to general or neuraxial anesthesia.
Conclusion: Inguinal hernioplasty with regional anesthesia using ilioinguinal-iliohypogastric block is a safe and effective technique, which makes it ideal for patients in the geriatric age group considered fragile due to their multiple pathologies and polymedication and should be increasingly considered for this type of patient, especially with the objective of avoiding perioperative complications and better pain control postoperative.
Key words: Block Ilioinguinal-Iliohypogastric, hernioplasty, frail patient
Correspondencia
Yosselly Ninoska-Carrillo
yossellyca@gmail.com
Recibido: 02-07-2024
Aceptado: 06-12-2025
INTRODUCCIÓN
La reparación de la hernia inguinal es uno de los procedimientos quirúrgicos más realizados cada año, y se esperaría llevar a cabo esta cirugía con pocos riesgos anestésicos, y con una recuperación y alta médica rápidas (1). Aunque se trata de una cirugía de baja complejidad, se reporta como causa de, aproximadamente, un 60 % de dolor postoperatorio de moderado a intenso (2) lo que continúa siendo un problema en este tipo de cirugías (3). Sin embargo, se espera que los pacientes de 65 años o más se vean beneficiados al evitar la anestesia general. Esta supuesta ventaja no se ha estudiado adecuadamente, de ahí nuestra hipótesis de que la anestesia regional (bloqueo ilioinguinal-iliohipogástrico (II/IH) tenga mayores virtudes sobre la general para la reparación de la hernia inguinal en pacientes adultos mayores (4).
Publicamos este caso clínico y revisión de la literatura para resumir la evidencia actual y describir la eficacia anestésica y analgésica del bloqueo II/IH en paciente adulto con múltiples comorbilidades sometido a reparación abierta de hernia inguinal, ya que el uso de anestesia regional (bloqueo II/IH) mejora la recuperación postoperatoria y disminuye la tasa de complicaciones en pacientes mayores de 60 años (5).
DESCRIPCIÓN DEL CASO
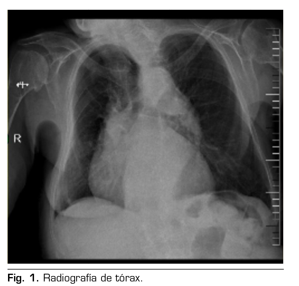
Presentamos el caso de una paciente de 88 años con diagnóstico de hernia inguinal izquierda que fue programada para hernioplastia electiva por cirugía ambulatoria en un hospital de día. En el estudio preanestésico se recoge que tiene antecedentes médicos de: hipertensión arterial controlada, fibrilación auricular en tratamiento con apixabán e insuficiencia cardiaca crónica compensada NYHA II, enfermedad pulmonar obstructiva con uso de oxígeno domiciliario nocturno, y no tiene antecedentes tromboembólicos; como antecedentes quirúrgicos: corrección de hernia discal a nivel de L5-S1 hace aproximadamente 20 años. Otros antecedentes de interés son los siguientes: cifoescoliosis moderada–severa, en imágenes diagnósticas como la radiografía de tórax anteroposterior, se observa cifoescoliosis severa y desplazamiento de mediastino a predominio derecho, como se muestra en la Figura 1; tiene un control ecocardiográfico que concluye función sistólica conservada, hipertrofia de ventrículo izquierdo, insuficiencia-estenosis aórtica severa, insuficiencia mitral moderada, insuficiencia tricuspídea severa, hipertensión pulmonar severa y dilatación moderada de aurícula izquierda. En el examen físico se confirma la cifoescoliosis dorsolumbar moderada-severa; en la evaluación de la vía aérea, se observa que tiene Mallampati 1, sin criterios de vía aérea difícil; analítica preoperatoria sin alteraciones de interés, paciente ASA III.

Por lo anterior, se define como técnica anestésica y analgésica bloqueo II/IH bajo guía ecográfica. Posicionamos a la paciente en decúbito supino, previa monitorización ASA básica, se realiza asepsia en zona de punción, se usó una sonda lineal estéril de alta frecuencia, se ubicó entre la cresta iliaca anterosupeior y la cicatriz umbilical, orientándolo un poco más cefálico de lo habitual; en esta posición se logra visualizar los nervios ilioinguinal e iliohipogástrico entre el músculo transverso del abdomen y el músculo oblicuo interno como se muestra en la Figura 2. Después de la visualización, se utilizó una aguja 22 G de 50 mm abordaje en plano; previa aspiración se inyectó ropivacaína a una concentración de 0,75 % con un volumen aproximado de 10 ml. Posteriormente procedimos a realizar sedación con propofol 2 mg/kg/h, se mantuvo en puntuación de 3 en la escala de Ramsay, sin cambios hemodinámicos de importancia, además se administró dexametasona a dosis de 4 mg en el intraoperatorio y coadyuvantes analgésicos como paracetamol y metamizol. Tras la hernioplastia de abordaje abierto con tiempo quirúrgico de 35 min, sin complicaciones o incidencias, se la traslada al área de recuperación postoperatoria según protocolo, con evaluación de puntuación de dolor mediante escala visual analógica 2 de 10. Hemodinámicamente estable y con dolor controlado, cumple criterios de alta médica; se usó el sistema de puntuación postanestésico para determinar si la paciente está preparada para ir a casa, obteniendo un puntaje de 9 según el protocolo del hospital; se deja pautada analgesia de rescate para domicilio con paracetamol y antinflamatorios condicionados según dolor.

Se realiza seguimiento de la paciente vía telefónica a las 24 h y se programa una cita control con especialidad tratante; paciente con adecuado control de dolor, escala visual analógica 0/10, no presenta complicaciones.
DISCUSIÓN
Si bien existen estudios donde comparan distintos abordajes de anestesia regional para este tipo de procedimientos quirúrgicos, como es el caso de las hernias inguinales, al comparar el bloqueo del plano transverso abdominal (TAP) vs. bloqueo II/IH, algunos estudios apoyan que el abordaje de TAP tiene mejor respuesta de analgesia postoperatoria. Sin embargo, el incremento de estudios de bloqueo ilioinguinal demostró que proporciona mejor control del dolor en el postoperatorio que el bloqueo TAP, y por ello decidimos optar por este tipo de anestesia II/IH en esta paciente; si bien es cierto que ambos producen bloqueo de los nervios, anatómicamente el abordaje ilioinguinal bloquea en el tronco nervioso, mientras que el TAP es un bloqueo de compartimento (2).
Existe evidencia actual en la que se demuestra que el uso de dexametasona intravenosa asociado a anestesia II/IH es parte de la estrategia de analgesia multimodal para la reducción del uso de opioides en el postoperatorio, la reducción del dolor de rebote y la disminución del puntaje de la escala visual análoga del dolor, además de la mejora de la calidad de recuperación. En nuestro reporte de caso usando dosis similares también se observa que no se requirió administrar opioides en el postoperatorio; sin embargo, en la actualidad sería necesario hacer más estudios donde se demuestre este beneficio con la dexametasona intravenosa (4).
Hay estudios que apoyan el uso de anestesia regional sobre la anestesia general en pacientes geriátricos frágiles, entre los cuales la media del rango de edad fue 78-81 años con ASA III. El paciente frágil tiene tendencia a presentar mayor riesgo de complicaciones incluso en cirugías mínimamente invasivas, y por ello sugieren el uso de anestesia regional sobre la general. Son más predecibles las complicaciones durante el intra y el postoperatorio, disminuyendo hasta el 50 % de complicaciones postoperatorios presentadas bajo anestesia general; también disminuye el tiempo de estancia hospitalaria y por ende costos hospitalarios por el alta pronta, lo cual también quedó demostrado en nuestro caso (6,7).
CONFLICTO DE INTERESES
Ninguno.
FINANCIACIÓN
Ninguna.
BIBLIOGRAFÍA