Year 2020 / Volume 27 / Number 6

Original

Calcific tendinitis of the shoulder: risk factors and effectiveness of iontophoresis with acetic acid 5 % plus ultrasound: prospective quasi-experimental study at 5 years with 138 cases

Rev. Soc. Esp. Dolor. 2020; 27(6): 340-348 / DOI: 10.20986/resed.2020.3842/2020

Marcos Edgar Fernández, María Jesús Albaladejo, Sandra Álava, Olga Susana Pérez


ABSTRACT

Objective: To characterize clinically calcifying tendonitis (CT) and to conduct a prospective quasi-experimental before-and-after study in order to demonstrate the effectiveness of 5 % acetic acid iontophoresis and ultrasound in the treatment of CT.
Material and methods: Prospective, observational, quasi-experimental before-after intervention study to 138 patients who attended to Rehabilitation Department, Santísima Trinidad's General Foundation Hospital, Salamanca, from June-2014 to December-2018.
Outcome Measures: 1) pain: measured by Visual Analogical Scale (VAS); 2) calcification size: in millimetres (mm); 3) functional limitation of shoulder movement (% of patients), all measured at the beginning/end of treatment.
Intervention: iontophoresis with 5 % acetic acid at 4,7mA x 10 minutes and ultrasound 1W/cm2x 5 minutes over calcification.
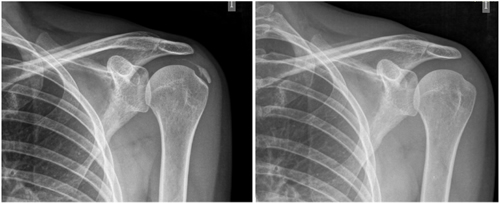
Results: Mean age 54.6 years (n = 138). Female (73.1 %; n = 101); female to male ratio 3:1. Supraspinatus tendon (94.6 %; n = 124), subscapularis (5.4 %; n=14); left shoulder (55.1 %; n = 76), right shoulder (44.9 %; n = 62). Bilateral 1.4 % (n = 2). Right handed 96.3 % (n = 133); Personal history: smoking (19.5 %; n = 27), diabetes (7.2 %; n = 10); disease time averaged 6.08 months; acute-subacute pain (less than 3 months) 47.1; (n = 65), chronic pain (greater than 3 months) 52.9 % (n = 73). Radiological type: formative 75.3 % (n = 104); resorptive 24.7 % (n = 34). Average number of sessions: 20.5. Treatment complications 2.8 % (n = 4): intolerance/erythema/burn. Occupation: administrative 39.8 % (n = 55), manual jobs 60.2 % (n = 83).
Average initial pain 7.3 points (VAS scale), significantly decreased (p = 0.0000) post treatment to 2.7. Initial average size of calcifications 10.7 mm and significantly decreased (p = 0.0000) post treatment to 3.8 mm. Change of calcification: success/cure rate 55.7 % (n = 77), improvement rate 20.2 % (n = 28); failure rate 23.9 % (n = 33). Functional limitation decreased from 10.8 % of patients to 2.1 %.
Conclusions: CT is common in middle-aged working women. It affects supraspinatus tendon. It is associated with smoking and diabetes. Occupational risk factors include awkward positions and lighting weights. Iontophoresis with 5 % acetic acid and ultrasound is a safe, simple and inexpensive technique, capable to reduce pain and calcification, and recover functional limitation, with a recommended degree of scientific evidence (2B).



RESUMEN

Objetivo: Caracterizar clínicamente la tendinitis calcificante (TC) y demostrar la efectividad de la iontoforesis del ácido acético al 5 % y el ultrasonido en el tratamiento de la TC.
Material y métodos: Estudio prospectivo, observacional, cuasiexperimental, tipo antes y después de la intervención, a 138 pacientes que asistieron al Departamento de Rehabilitación, del Hospital de la Fundación General Santísima Trinidad, Salamanca, de junio de 2014 a diciembre del 2018.
Medidas de resultado: 1) dolor: medido por la escala analógica visual (EVA); 2) tamaño de la calcificación: en milímetros (mm), ambos medidos al inicio/final del tratamiento; 3) limitación funcional (en porcentaje de pacientes) pre/post intervención.
Intervención: iontoforesis con ácido acético al 5 % a 4,7 mA x 10 minutos y ultrasonido 1W/cm2/1Hz/5 minutos sobre calcificación.
Resultados: Edad media: 54,6 años (n = 138); mujer (73,1 %; n = 101); proporción mujer/hombre 3: 1; tendón supraespinoso (94,6 %; n = 124); subescapular (5,4 %; n = 14); hombro izquierdo (55,1 %; n = 76), hombro derecho (44,9 %; n = 62); bilateral 1,4 % (n = 2); diestros 96,3 % (n = 133); antecedentes personales: tabaquismo (19,5 %; n = 27), diabetes (7,2 %; n = 10). El tiempo de enfermedad promedio fue de 6,08 meses. Dolor agudo-subagudo (menos de 3 meses) 47,1 %; (n = 65), dolor crónico (más de 3 meses) 52,9 % (n = 73). Tipo radiológico: formativo 75,3 % (n = 104), resortivo 24,7 % (n = 34). Número promedio de sesiones: 20. Complicaciones del tratamiento 2,8 % (n = 4): intolerancia/eritema/quemadura. Ocupación: administrativo 39,8 % (n = 55), trabajos manuales 60,2 % (n = 83). El dolor inicial EVA de 7,3 puntos disminuyó significativamente (p = 0,0000) después del tratamiento a 2,7. El tamaño promedio inicial de las calcificaciones fue de 10,7 mm y disminuyó significativamente (p = 0,0000) después del tratamiento a 3,8 mm. Cambio de calcificación: tasa de éxito/curación 55,7 % (n = 77), tasa de mejora 20,2 % (n = 28); tasa de fracaso del 23,9 % (n = 33). La limitación funcional disminuyó de un 10,8 % a un 2,1 %.
Conclusiones: La TC es común en mujeres trabajadoras de mediana edad. Afecta el tendón supraespinoso. Se asocia con el tabaquismo y la diabetes. Factores de riesgo ocupacional son las posiciones mantenidas y manipulación de cargas.
La iontoforesis con ácido acético al 5 % más ultrasonido es una técnica segura, simple y económica, capaz de reducir el dolor y la calcificación, y mejorar la limitación funcional, con un grado de evidencia científica recomendado (2B).





Complete Article

Nuevo comentario

Security code:
CAPTCHA code image
Speak the codeChange the code
 

Comentarios

No comments in this article

Bibliografía

1. Chico-Álvarez E. Estudio prospectivo comparando los tres resultados obtenidos con tres tratamientos de electroterapia en las tendinopatías calcificadas del supraespinoso [Tesis Doctoral]. Universidad de Valladolid; 2015.
2. Barrera-Cárdenas JL, Campa-Rodríguez AY, García-Prendes V. Resultados del tratamiento artroscópico de las tendinitis calcificantes del manguito de los rotadores del hombro. Rev Esp Cir Ortop Traumatol. 2010;54(2):100-5. DOI: 10.1016/j.recot.2009.02.004.
3. Rioja-Toro J, Romo-Monje M, Cantalapiedra-Fuentes E, Gonzalez-Rebollo AY, Blázquez-Sanchez E. Tratamiento de la tendinitis calcificante del hombromediante iontoforesis con ácido acéticco y ultrasonidos. Rehabilitación (Madr). 2001;35(3):166-70.
4. McLaughlin HL. Lesions of the musculotendinous cuff of the shoulder: III. Observations on the pathology, course and treatment of calcific deposits. Annals of surgery. 1946;124(2):354-62.
5. García FJJ, Movilla CG, López AC. Efectividad del tratamiento mediante ondas de choque extracorpóreas en tendinitis calcificadas del hombro. Rev Esp Reumatol 2004;31(3):116-21.
6. Uhthoff HK, Dervin GF, Loehr JF. Tendinitis calcificante. The shoulder, 3rd ed. Rockwood C Jr, Matsen FA III, Wirt MA, Lippitt SB, Tomo II. Madrid: Marban; 2006. p. 1033-57.
7. Uhthoff HK. Calcifying tendinitis, an active cell-mediated calcification. Virchows Arch A Pathol Anat Histol. 1975;366(1):51-8. DOI: 10.1007/BF00438677.
8. Fernández-Cuadros ME, Pérez-Moro OS, Nieto-Blasco J, Rivera-García V, Olazar-Pardeiro A. Calcifying Tendinitis of the Shoulder: Risk Factors and Effectiveness of Physical Therapy. Occup Med Health Aff 2015;3(6):2. DOI: 10.4172/2329-6879.1000220.
9. Llorente JG, Aguirregoikoa EG, Vivar MG, Albizuri JA. Protocolo diagnóstico del hombro doloroso crónico. Medicine-Programa de Formación Médica Continuada Acreditado. 2009;10(33):2222-5.
10. Re Jr LP, Karzel RP. Management of rotator cuff calcifications.The Orthopedic clinics of North America. 1993;24(1):125-32.
11. Cacchio A, De Blasis E, Desiati P, Spacca G, Santilli V, De Paulis F. Effectiveness of treatment of calcific tendinitis of the shoulder by disodium EDTA. Arthritis Rheum. 2009;61(1):84-91. DOI: 10.1002/art.24370.
12. Ogon P, Suedkamp NP, Jaeger M, Izadpanah K, Koestler W, Maier D. Prognostic factors in nonoperative therapy for chronic symptomatic calcific tendinitis of the shoulder. Arthritis & Rheumatism. 2009;60(10):2978-84. DOI: 10.1002/art.24845.
13. Beutl O, Clementschitsch A. Iontophoresis in therapy of humeroscapular periarthritis and epicondylitis of the humerus. Wiener medizinische Wochenschrift (1946). 1952;102(2):36.
14. Perron M, Malouin F. Acetic acid lontophoresis and ultrasound for the treatment of calcifying tendinitis of the shoulder: A randomized control trial. Arch Phys Med Rehabil. 1997;78(4):379-84. DOI: 10.1016/s0003-9993(97)90229-x.
15. Leduc BE, Caya J, Tremblay S, Bureau NJ, Dumont M. Treatment of calcifying tendinitis of the shoulder by acetic acid iontophoresis: a double-blind randomized controlled trial. Arch Phys Med Rehabil. 2003;84(10):1523-7. DOI: 10.1016/s0003-9993(03)00284-3.
16. Hernández Díaz A, Méndez G, Orellana Molina A, Martín Gil JL, Berty Tejeda J. Láser de baja potencia en el tratamiento de las calcificaciones de hombro. Revista de la Sociedad Española del Dolor. 2009;16(4):230-8.
17. Tashjian RZ, Deloach J, Porucznik CA, Powell AP. Minimal clinically important differences (MCID) and patient acceptable symptomatic state (PASS) for visual analog scales (VAS) measuring pain in patients treated for rotator cuff disease. J Shoulder Elbow Surg. 2009;18(6):927-32. DOI: 10.1016/j.jse.2009.03.021.
18. Jiménez-García D, López-Dolado E, López-Zarzuela MC. Tratamiento de la tendinopatía calcificante de hombro: ¿iontoforesis con ácido acético u onda corta? Rehabilitación. 2008;42(5):239-45. DOI: 10.1016/S0048-7120(08)74598-5.
19. Vicente-Herrero MT, García LC, González AL, de la Torre MRI. El hombro y sus patologías en medicina del trabajo. SEMERGEN. 2009;35(4):197-202. DOI: 10.1016/S1138-3593(09)70931-1.
20. Ferrera CE, Ricard F. Estudio comparativo de pruebas ortopédicas para la valoración y confirmación diagnóstica de tendinopatía del músculo supraespinoso. Osteopatía científica. 2009;4(3):86-92. DOI: 10.1016/S1886-9297(09)73434-4.
21. Arrebola AP, Martínez-Rodríguez ME. Tratamiento de tendinitis y bursitis calcificadas subacromiodeltoideas con ondas de choque. Rehabilitación. 2005;39(1):2-7. DOI: 10.1016/S0048-7120(05)74297-3.
22. DePalma AF, Kruper JS. Long-term study of shoulder joints afflicted with and treatment for calcific tendonitis. Clin Orthop. 1961;20:61-72.
23. Hsu HC, Wu JJ, Jim YF, Chang CY, Lo WH, Yang DJ. Calcific tendinitis and rotator cuff tearing: a clinical and radiographic study. J Shoulder Elbow Surg. 1994;3(3):159-64. DOI: 10.1016/S1058-2746(09)80095-5.
24. Martín AJ, Yubero FJS, Carmona MZ, Cid FJN, Asensi FJC, Hidalgo SP. Tratamiento de la tendinitis calcificante de hombro mediante artroscopia. Trauma. 2012;23(1):32-8.
25. Adamietz B, Schulz-Wendtland R, Alibek S, Uder M, Sauer R, Ott O, et al. Calcifying Tendonitis of the Shoulder Joint. Strahlenther Onkol. 2010;186(1):18-23. DOI: 10.1007/s00066-009-2025-5.
26. Krueger E, Claudino Junior JL, Scheeren EM, Neves EB, Mulinari E, Nohama, P. Iontophoresis: principles and applications. Fisioterapia em Movimento. 2014;27(3):469-81. DOI: 10.1590/0103-5150.027.003.AR02.
27. Dehghan M, Mouzam M. Advances in iontophoresis for drug delivery. Int J Health Res. 2008;1(3):115-27. DOI: 10.4314/ijhr.v1i3.55353.
28. Gratieri T, Gelfuso GM, Lopez RFV. Princípios básicos e aplicação da iontoforese na penetração cutânea de fármacos. Quim Nova. 2008;31(6):1490-8. DOI: 10.1590/S0100-40422008000600040.
29. Pahade A, Jadhav VM, Kadam VJ. Sonophoresis: an overview. Int J Pharm Sci Res. 2010;3(2):24-32.
30. Le L, Kost J, Mitragotri S. Combined effect of low-frequency ultrasound and iontophoresis: applications for transdermal heparin delivery. Pharmaceutical research. 2000;17(9):1151-4.
31. Kahn J. Acetic acid iontophoresis for calcium deposits. Physical therapy. 1977;57(6):658-9. DOI: 10.1093/ptj/57.6.658.
32. Fernández-Cuadros ME, Albaladejo-Florin MA, Álava-Rabasa S, Pérez-Mor OS. Algorithm of management based on treatment goals for calcifying tendonitis of the shoulder: rigidity, pain and size of calcification. MOJ Orthop Rheumatol. 2020;12(2):26-9. DOI: 10.15406/mojor.2020.12.00511.

Tablas y Figuras

Figure 1

Figure 2

Table I

Figure 3

Figure 4

Figure 5

Figure 6

Artículos relacionados

Autoimmune pancreatitis in a patient with systemic lupus erythematosus: case report

Rev. Soc. Esp. Dolor. 2024; 31(3): 176-179 / DOI: 10.20986/resed.2025.4167/2024

Atypical Parsonage-Turner syndrome after COVID-19 vaccine. A case report and literature review

Rev. Soc. Esp. Dolor. 2024; 31(3): 169-175 / DOI: 10.20986/resed.2025.4120/2023

Radiofrequency of the posterior tibial nerve for bilateral plantar fascitis: case report

Rev. Soc. Esp. Dolor. 2024; 31(3): 165-168 / DOI: 10.20986/resed.2025.4117/2023

The role of low-dose radiotherapy in the management of arthrosis pain: narrative literature review

Rev. Soc. Esp. Dolor. 2024; 31(3): 157-164 / DOI: 10.20986/resed.2025.4105/2023

Clinical efficacy of plasma rich in platelets injection in knee arthrotis

Rev. Soc. Esp. Dolor. 2024; 31(3): 141-149 / DOI: 10.20986/resed.2025.4112/2023

The pain of patients: a priority to care for

Rev. Soc. Esp. Dolor. 2024; 31(2): 75-84 / DOI: 10.20986/resed.2025.4047/2022

Ultrasound-guided needle tenotomy in refractory epicondylitis

Rev. Soc. Esp. Dolor. 2024; 31(1): 45-46 / DOI: 10.20986/resed.2017.3521/2016

Predisposing factors for chronic post-surgical pain. Narrative review

Rev. Soc. Esp. Dolor. 2024; 31(1): 32-39 / DOI: 10.20986/resed.2024.4131/2024

Psychosocial risk in people with nonspecific chronic low back pain. An analytical cross-sectional study

Rev. Soc. Esp. Dolor. 2024; 31(1): 16-22 / DOI: 10.20986/resed.2024.3996/2022

Exosomes as a potential therapeutic strategy for low back pain: literature review

Rev. Soc. Esp. Dolor. 2023; 30(4): 243-249 / DOI: 10.20986/resed.2023.4075/2023

Care needs of intrathecal infusion therapy in patients with cancer pain

Rev. Soc. Esp. Dolor. 2023; 30(4): 227-242 / DOI: 10.20986/resed.2024.4099/2023

Continuous electrical stimulation for the treatment of trigeminal neuralgia. A systematic review

Rev. Soc. Esp. Dolor. 2023; 30(4): 217-226 / DOI: 10.20986/resed.2023.4043/2022

Problems and adverse reactions related to dipyrone in Colombia

Rev. Soc. Esp. Dolor. 2023; 30(4): 210-216 / DOI: 10.20986/resed.2023.4025/2022

Editorial by the President of the Spanish Pain Society

Rev. Soc. Esp. Dolor. 2024; 31(13): 1-1

Editorial by the President of the Spanish Pain Society

Rev. Soc. Esp. Dolor. 2023; 30(14): 1-1

Abstracts

Rev. Soc. Esp. Dolor. 2023; 30(13): 3-169

Editorial by the President of the Spanish Pain Society

Rev. Soc. Esp. Dolor. 2023; 30(13): 1-1

Persistent headache after craniotomy for meningioma: charting of the afferent pathways for nociception: a discussion

Rev. Soc. Esp. Dolor. 2023; 30(3): 191-195 / DOI: 10.20986/resed.2023.4069/2023

A case of neuralgic amyotrophy after vaccination against COVID-19

Rev. Soc. Esp. Dolor. 2023; 30(3): 187-190 / DOI: 10.20986/resed.2023.4021/2022

Ultrasound-guided ankle nerve block as adjuvant therapy in chronic pain after occupational injury.

Rev. Soc. Esp. Dolor. 2023; 30(3): 178-186 / DOI: 10.20986/resed.2023.4035/2022

A road trip to chemotherapy-induced neuropathic pain

Rev. Soc. Esp. Dolor. 2023; 30(3): 155-156 / DOI: 10.20986/resed.2023.4110/2023

Pharmacogenetics in analgesic response: towards a sex-differences personalized medicine

Rev. Soc. Esp. Dolor. 2023; 30(2): 115-124 / DOI: 10.20986/resed.2023.4042/2022

Superior hypogastric plexus block for the management of non-oncological chronic pelvic pain: effectiveness and safety

Rev. Soc. Esp. Dolor. 2023; 30(2): 109-114 / DOI: 10.20986/resed.2023.4038/2022

Effect of therapeutic exercise in persons with sacroiliac joint dysfunction: a systematic review and meta-analysis

Rev. Soc. Esp. Dolor. 2023; 30(2): 95-108 / DOI: 10.20986/resed.2023.4034/2022

Letter of reply to the article “Updates on the therapeutic approach in complex regional pain syndrome”

Rev. Soc. Esp. Dolor. 2023; 30(1): 63-64 / DOI: 10.20986/resed.2023.4049/2022

Not just low back pain: atypical manifestation of aortic aneurysm

Rev. Soc. Esp. Dolor. 2023; 30(1): 60-62 / DOI: 10.20986/resed.2022.3983/2022

Pulsed radiofrequency of the supraescapular nerve in the treatment of painful shoulder

Rev. Soc. Esp. Dolor. 2023; 30(1): 36-48 / DOI: 10.20986/resed.2023.4046/2022

Effectiveness of cluneal nerve block for the treatment of chronic low back pain

Rev. Soc. Esp. Dolor. 2023; 30(1): 30-35 / DOI: 10.20986/resed.2023.4023/2022

Review of the remission and management of a cancer related pain population to a pain unit. What can we improve?

Rev. Soc. Esp. Dolor. 2023; 30(1): 7-14 / DOI: 10.20986/resed.2023.4010/2022

Can suicidal behaviour in chronic pain patients be prevented?

Rev. Soc. Esp. Dolor. 2023; 30(1): 5-6 / DOI: 10.20986/resed.2023.4080/2023

Noninvasive vagus nerve stimulation in trigeminal pain and trigemino-vagal system

Rev. Soc. Esp. Dolor. 2023; 30(1): 3-4 / DOI: 10.20986/resed.2023.4057/2023

Treatment of painful scars with 5 % lidocaine patch: clinical cases report

Rev. Soc. Esp. Dolor. 2022; 29(3): 187-191 / DOI: 10.20986/resed.2022.3997/2022

Usefulness of percutaneous basivertebral nerve thermorizotomy for the treatment of chronic low back pain. Literature review

Rev. Soc. Esp. Dolor. 2022; 29(3): 169-174 / DOI: 10.20986/resed.2022.4044/2022

Efficacy of physiotherapy on the anxiety and depression in patients with chronic pain: a systematic review

Rev. Soc. Esp. Dolor. 2022; 29(3): 157-168 / DOI: 10.20986/resed.2022.3994/2022

Psychological intervention program to promoted active coping in patients with chronic back pain

Rev. Soc. Esp. Dolor. 2022; 29(3): 149-156 / DOI: 10.20986/resed.2022.3993/2022

Can we modify the evolution of neuropathic pain through the skin?

Rev. Soc. Esp. Dolor. 2022; 29(3): 129-131 / DOI: 10.20986/resed.2022.4052/2022

Pain as a conditioned response

Rev. Soc. Esp. Dolor. 2022; 29(3): 127-128 / DOI: 10.20986/resed.2022.4051/2022

Another step forward in pain education: European Journal of Pain articles now in spanish language

Rev. Soc. Esp. Dolor. 2022; 29(3): 125-126 / DOI: 10.20986/resed.2022.4050/2022

Pain and rehabilitation in Parsonage-Tuner syndrome due to SARS-CoV-2: a case report

Rev. Soc. Esp. Dolor. 2022; 29(2): 119-123 / DOI: 10.20986/resed.2022.3940/2021

Peripheral facial palsy following glossopharyngeal block: a case report

Rev. Soc. Esp. Dolor. 2022; 29(2): 114-118 / DOI: 10.20986/resed.2022.3963/2021

The biopsychosocial nature of chronic pelvic floor pain: a narrative review

Rev. Soc. Esp. Dolor. 2022; 29(2): 97-113 / DOI: 10.20986/resed.2022.3981/2022

Myofascial pain syndrome in the female pelvic floor musculature. Narrative review of the literature

Rev. Soc. Esp. Dolor. 2022; 29(2): 88-96 / DOI: 10.20986/resed.2022.3970/2022

Effects of hydrotherapy on pain in osteoarthritis and fibromyalgia: a narrative review

Rev. Soc. Esp. Dolor. 2022; 29(2): 78-87 / DOI: 10.20986/resed.2022.3955/2021

Cross-sectional study on factors related to chronic pain and its care, according to sex

Rev. Soc. Esp. Dolor. 2022; 29(2): 61-70 / DOI: 10.20986/resed.2022.3968/2022

Attitudes and current knowledge of the spanish pain treatment specialist regarding medical cannabis

Rev. Soc. Esp. Dolor. 2022; 29(13): 52-57 / DOI: 10.20986/resed.2022.4032/2022

Practical aspects of product selection and titration with medical cannabis for chronic pain management

Rev. Soc. Esp. Dolor. 2022; 29(13): 43-51 / DOI: 10.20986/resed.2022.4031/2022

Medical cannabis treatment in patients with visceral chronic pain

Rev. Soc. Esp. Dolor. 2022; 29(13): 32-42 / DOI: 10.20986/resed.2022.4030/2022

Is medical cannabis useful for the treatment of fibromyalgia?

Rev. Soc. Esp. Dolor. 2022; 29(13): 27-31 / DOI: 10.20986/resed.2022.4029/2022

Cannabinoids in neuropathic pain: lights and shadows

Rev. Soc. Esp. Dolor. 2022; 29(13): 20-26 / DOI: 10.20986/resed.2022.4027/2022

Medical cannabis and cancer: benefits for cancer pain and other related symptoms

Rev. Soc. Esp. Dolor. 2022; 29(13): 14-19 / DOI: 10.20986/resed.2022.4026/2022

Current evidence of medical cannabis treatment in patients with chronic pain

Rev. Soc. Esp. Dolor. 2022; 29(13): 10-13 / DOI: 10.20986/resed.2022.4024/2022

Some preclinical results of cannabinoids and pain

Rev. Soc. Esp. Dolor. 2022; 29(13): 3-9 / DOI: 10.20986/resed.2022.4033/2022

Lights and shadows of treating pain with medical cannabis

Rev. Soc. Esp. Dolor. 2022; 29(13): 1-2 / DOI: 10.20986/resed.2022.4036/2022

Bone pain management with opioid medication in a patient with Camurati-Engelmann disease: a case report

Rev. Soc. Esp. Dolor. 2022; 29(1): 51-55 / DOI: 10.20986/resed.2021.3930/2021

Complex regional pain syndrome, rehabilitation, pharmacotherapy, psychology.

Rev. Soc. Esp. Dolor. 2022; 29(1): 34-50 / DOI: 10.20986/resed.2022.3978/2022

Use of 8 % capsaicin patches for the treatment of lumbar neuropathic pain

Rev. Soc. Esp. Dolor. 2022; 29(1): 28-33 / DOI: 10.20986/resed.2022.3995/2022

Ultrasound guided interlaminar epidural steroid injection: the cumulative sum method (CUSUM) for performance evaluation

Rev. Soc. Esp. Dolor. 2022; 29(1): 21-27 / DOI: 10.20986/resed.2022.3988/2022

OFA in major surgery. Experience at a secondary level hospital

Rev. Soc. Esp. Dolor. 2022; 29(1): 8-14 / DOI: 10.20986/resed.2022.3991/2022

Spontaneous pain is very "sympathetic"

Rev. Soc. Esp. Dolor. 2022; 29(1): 4-5 / DOI: 10.20986/resed.2022.3999/2022

Complex regional pain syndrome: the challenges and opportunities of an evolving disease

Rev. Soc. Esp. Dolor. 2022; 29(1): 1-3 / DOI: 10.20986/resed.2022.3998/2022

Peroneal neuropathy caused by an extraneural ganglion: literary review and treatment proposal. A non-positive case

Rev. Soc. Esp. Dolor. 2021; 28(6): 354-357 / DOI: 10.20986/resed.2022.3919/2021

Retrolaminar ultrasound guided block as analgesic treatment for post herpetic neuralgia: case report

Rev. Soc. Esp. Dolor. 2021; 28(6): 350-353 / DOI: 10.20986/resed.2022.3920/2021

Recommendations for the safe prescription of opioids in patients with a history or risk of abuse

Rev. Soc. Esp. Dolor. 2021; 28(6): 343-349 / DOI: 10.20986/resed.2022.3935/2021

Use of botulinum toxin for pain after amputation

Rev. Soc. Esp. Dolor. 2021; 28(6): 332-342 / DOI: 10.20986/resed.2022.3943/2021

Lumbar epidural steroids injections reduce catastrophism on the lumbosacral radicular syndrome

Rev. Soc. Esp. Dolor. 2021; 28(6): 325-331 / DOI: 10.20986/resed.2022.3947/2021

End-of-life transfusions in patients with an oncological diagnosis

Rev. Soc. Esp. Dolor. 2021; 28(6): 319-324 / DOI: 10.20986/resed.2022.3956/2021

New opioids with different intracellular mechanism of action; is a new therapeutic window opening up?

Rev. Soc. Esp. Dolor. 2021; 28(5): 292-297 / DOI: 10.20986/resed.2021.3891/2021

Thalalgic triad. A new clinical entity from a case series

Rev. Soc. Esp. Dolor. 2021; 28(5): 276-281 / DOI: 10.20986/resed.2021.3941/2021

Efficacy and complications of analgesic techniques for the treatment of moderate to severe postoperative acute pain

Rev. Soc. Esp. Dolor. 2021; 28(5): 264-265 / DOI: 10.20986/resed.2021.3942/2021

Myalgic encephalitis or chronic fatigue syndrome, implications in its approach in pain units in the post-COVID era

Rev. Soc. Esp. Dolor. 2021; 28(5): 250-251 / DOI: 10.20986/resed.2021.3960/2021

Pain, emotions and locus coeruleus

Rev. Soc. Esp. Dolor. 2021; 28(5): 247-249 / DOI: 10.20986/resed.2021.3965/2021

The unsolved problem of postoperative pain: critical analysis and prospects for improvement

Rev. Soc. Esp. Dolor. 2021; 28(4): 232-238 / DOI: 10.20986/resed.2021.3917/2021

Dorsal root ganlion pulsed radiofrequency for lumbosacral radicular pain: a narrative review

Rev. Soc. Esp. Dolor. 2021; 28(4): 219-231 / DOI: 10.20986/resed.2021.3882/2021

Clinical recommendations for rehabilitation of people with fibromyalgia. A narrative review

Rev. Soc. Esp. Dolor. 2021; 28(4): 194-210 / DOI: 10.20986/resed.2021.3932/2021

Persistent hiccups after epidural injection of betamethasone: a case report

Rev. Soc. Esp. Dolor. 2021; 28(2): 169-171 / DOI: 10.20986/resed.2021.3914/2021

Genicular nerve radiofrequency in osteoarthritis-related chronic knee pain

Rev. Soc. Esp. Dolor. 2021; 28(3): 154-168 / DOI: 10.20986/resed.2021.3900/2021

Epidemiological profile of pain secondary to moderate diabetic peripheral neuropathy

Rev. Soc. Esp. Dolor. 2021; 28(2): 129-136 / DOI: 10.20986/resed.2021.3826/2020

Transcutaneous electrical nerve stimulation (TENS) as effective pain and fatigue management in women with fibromyalgia

Rev. Soc. Esp. Dolor. 2021; 28(2): 117-118 / DOI: 10.20986/resed.2021.3931/2021

Does it decrease the efficacy or safety of COVID-19 vaccines in patients with chronic pain?

Rev. Soc. Esp. Dolor. 2021; 28(2): 115-116 / DOI: 10.20986/resed.2021.3933/2021

Neuropathic pain: a constant challenge

Rev. Soc. Esp. Dolor. 2021; 28(2): 111-114 / DOI: 10.20986/resed.2021.3938/2021

Botulinum toxin for the treatment of myofascial pain syndrome

Rev. Soc. Esp. Dolor. 2021; 28(2): 100-110 / DOI: 10.20986/resed.2021.3902/2021

Postoperative ketamine efficacy in patients receiving chronic opioids undergoing spinal surgery

Rev. Soc. Esp. Dolor. 2021; 28(2): 92-99 / DOI: 10.20986/resed.2021.3825/2020

Evolution of low back pain in cancer patients treated with interventional pain management

Rev. Soc. Esp. Dolor. 2021; 28(2): 76-81 / DOI: 10.20986/resed.2021.3901/2021

Analgesic effectiveness of tapentadol in neuropathic pain secondary to post-laminectomy syndrome

Rev. Soc. Esp. Dolor. 2021; 28(2): 71-75 / DOI: 10.20986/resed.2021.3822/2020

Radiofrequency intraosseous ablation of the vertebral basicervical nerve. Solution in refractory discogenic pain?

Rev. Soc. Esp. Dolor. 2021; 28(2): 69-70 / DOI: 10.20986/resed.2021.3926/2021

Usefulness or necessity of ketamine in postoperative pain

Rev. Soc. Esp. Dolor. 2021; 28(2): 63-66 / DOI: 10.20986/resed.2021.3921/2021

Parsonage-turner after rabies vaccination due to bat bite: case report

Rev. Soc. Esp. Dolor. 2021; 28(1): 57-61 / DOI: 10.20986/resed.2021.3832/2020

Bilateral spinal erector plane block for pectus excavatum surgery in pediatric patient

Rev. Soc. Esp. Dolor. 2021; 28(1): 53-56 / DOI: 10.20986/resed.2021.3846/2020

Inflammatory mediators: its connection with chronic pain and associated problems. Review

Rev. Soc. Esp. Dolor. 2021; 28(1): 37-46 / DOI: 10.20986/resed.2021.3841/2020

Management and perception of therapeutic adherence of breakthrough cancer pain by oncologists in Spain

Rev. Soc. Esp. Dolor. 2021; 28(1): 19-26 / DOI: 10.20986/resed.2021.3824/2020

Pain related to oncologic process: old concepts and new horizons

Rev. Soc. Esp. Dolor. 2021; 28(1): 1-4 / DOI: 10.20986/resed.2021.3905/2021

Interventional management of osteoarthritic pain

Rev. Soc. Esp. Dolor. 2021; 28(13): 85-90 / DOI: 10.20986/resed.2021.3853/2020

Intra-articular botulinum toxin and ozone in osteoarthritis

Rev. Soc. Esp. Dolor. 2021; 28(13): 73-79 / DOI: 10.20986/resed.2021.3857/2020

Infiltrations of steroids and hyaluronic acid in osteoarthritis

Rev. Soc. Esp. Dolor. 2021; 28(13): 64-72 / DOI: 10.20986/resed.2021.3854/2020

New pharmacological targets for osteoarthritis induced pain

Rev. Soc. Esp. Dolor. 2021; 28(13): 57-63 / DOI: 10.20986/resed.2021.3863/2020

Opioids in osteoarthritis

Rev. Soc. Esp. Dolor. 2021; 28(13): 49-56 / DOI: 10.20986/resed.2021.3855/2020

Central sensitization in osteoarthritis

Rev. Soc. Esp. Dolor. 2021; 28(13): 31-37 / DOI: 10.20986/resed.2021.3876/2020

Experimental models for pain evaluation in osteoarthritis

Rev. Soc. Esp. Dolor. 2021; 28(13): 18-30 / DOI: 10.20986/resed.2021.3872/2020

Ethiopathogenic mechanism of osteoarthritis

Rev. Soc. Esp. Dolor. 2021; 28(13): 11-17 / DOI: 10.20986/resed.2021.3851/2020

Epidemiology, clinical impact and therapeutic objectives in osteoarthritis

Rev. Soc. Esp. Dolor. 2021; 28(13): 4-10 / DOI: 10.20986/resed.2021.3874/2020

Osteoarthritis and pain: the complexity and impact of a symptom

Rev. Soc. Esp. Dolor. 2021; 28(13): 1-3 / DOI: 10.20986/resed.2021.3886/2021

Adaptation of the chronic pain unit of the Hospital Complex from Vigo to the state of alarm due to the SARS-CoV-2 pandemic

Rev. Soc. Esp. Dolor. 2020; 27(6): 392-393 / DOI: 10.20986/resed.2020.3827/2020

Effectiveness and current recommendation of manual therapy on hip osteoarthritis. An overview

Rev. Soc. Esp. Dolor. 2020; 27(6): 375-391 / DOI: 10.20986/resed.2021.3835/2020

Transitional pain clinic

Rev. Soc. Esp. Dolor. 2020; 27(6): 369-374 / DOI: 10.20986/resed.2020.3840/2020

Study of pain in rehabilitation treatments

Rev. Soc. Esp. Dolor. 2020; 27(6): 361-368 / DOI: 10.20986/resed.2020.3809/2020

Impact of group psychological intervention on conventional radiofrequency tributary patients

Rev. Soc. Esp. Dolor. 2020; 27(6): 349-360 / DOI: 10.20986/resed.2020.3830/2020

Physical medicine, rehabilitation and pain

Rev. Soc. Esp. Dolor. 2020; 27(6): 333-335 / DOI: 10.20986/resed.2021.3888/2021

A 14-month physiotherapy follow up to a child with Sandifer syndrome

Rev. Soc. Esp. Dolor. 2020; 27(5): 329-331 / DOI: 10.20986/resed.2020.3816/2020

School of non-oncologic chronic pain patients and opioid treatment

Rev. Soc. Esp. Dolor. 2020; 27(5): 324-328 / DOI: 10.20986/resed.2020.3804/2020

Opioid misuse in patients with cancer pain: an integrative systematic review of the literature

Rev. Soc. Esp. Dolor. 2020; 27(5): 306-315 / DOI: 10.20986/resed.2020.3801/2020

Therapeutic failure of the lumbar medial branch block and its relation to obesity. Retrospective cohort study

Rev. Soc. Esp. Dolor. 2020; 27(5): 298-305 / DOI: 10.20986/resed.2020.3829/2020

Identification of signs and symptoms for the diagnosis of discogenic low back pain: mapping review

Rev. Soc. Esp. Dolor. 2020; 27(5): 292-297 / DOI: 10.20986/resed.2020.3803/2020

Efficacy of lidocaine perfusions in fibromyalgia: a prospective cohort study

Rev. Soc. Esp. Dolor. 2020; 27(5): 287-291 / DOI: 10.20986/resed.2020.3796/2020

Back to the future in the treatment of postoperative acute pain

Rev. Soc. Esp. Dolor. 2020; 27(5): 285-286 / DOI: 10.20986/resed.2020.3850/2020

Temporary peripheral nerve stimulation in cancer pain: opportunity options

Rev. Soc. Esp. Dolor. 2020; 27(5): 283-284 / DOI: 10.20986/resed.2020.3849/2020

Facings with discogenic pain

Rev. Soc. Esp. Dolor. 2020; 27(5): 281-282 / DOI: 10.20986/resed.2020.3848/2020

Pain: a "hotchpotch"

Rev. Soc. Esp. Dolor. 2020; 27(4): 278-280 / DOI: 10.20986/resed.2016.3507/2016

Splanchnic nerve block for the treatment of benign chronic abdominal pain. a case report and literature review

Rev. Soc. Esp. Dolor. 2020; 27(4): 273-277 / DOI: 10.20986/resed.2020.3818/2020

Clinical pathophysiology in patients with sickle cell disease: the transition from acute to chronic pain

Rev. Soc. Esp. Dolor. 2020; 27(4): 257-268 / DOI: 10.20986/resed.2020.3814/2020

Gender determinants in the approach to chronic pain

Rev. Soc. Esp. Dolor. 2020; 27(4): 252-256 / DOI: 10.20986/resed.2020.3802/2020

Incidence of postmastectomy pain syndrome. Retrospective analysis

Rev. Soc. Esp. Dolor. 2020; 27(4): 246-251 / DOI: 10.20986/resed.2020.3797/2020

Sociodemographic and clinical characterization in patients with chronic back pain, Cienfuegos 2019

Rev. Soc. Esp. Dolor. 2020; 27(4): 239-245 / DOI: 10.20986/resed.2020.3798/2020

Spinal cord stimulation. Analysis of the diagnostic indications

Rev. Soc. Esp. Dolor. 2020; 27(4): 234-238 / DOI: 10.20986/resed.2020.3777/2019

Updated version of the IASP definition of pain: one step forward or one step back

Rev. Soc. Esp. Dolor. 2020; 27(4): 232-233 / DOI: 10.20986/resed.2020.3839/2020

Metamizole as an immunomodulator in neuropathic pain

Rev. Soc. Esp. Dolor. 2020; 27(4): 230-231 / DOI: 10.20986/resed.2020.3838/2020

Suboccipital decompression as an alternative in the treatment of pain secundary to occipital neuralgia: a case series

Rev. Soc. Esp. Dolor. 2020; 27(3): 221-226 / DOI: 10.20986/resed.2020.3791/2020

Symptomatic treatment for migraña. Drugs used and related variables. Results of the european survey on work and migraine

Rev. Soc. Esp. Dolor. 2020; 27(3): 178-191 / DOI: 10.20986/resed.2020.3744/2019

Drug consumption used for musculoskeletal pain treatment in a cohort of blue-collar workers in Zaragoza (Spain)

Rev. Soc. Esp. Dolor. 2020; 27(3): 150-159 / DOI: 10.20986/resed.2020.3749/2019

The pandemic that surprised us and has altered the care of patients with pain

Rev. Soc. Esp. Dolor. 2020; 27(3): 148-149 / DOI: 10.20986/resed.2020.3820/2020

The Pain Units in the COVID-19 era

Rev. Soc. Esp. Dolor. 2020; 27(3): 143-145 / DOI: 10.20986/resed.2020.3823/2020

Erector spinalis plane block as a neuropathic pain management in post-burned pediatric patient

Rev. Soc. Esp. Dolor. 2020; 27(2): 127-132 / DOI: 10.20986/resed.2020.3776/2019

Management of breakthrough pain associated with the cure of skin ulcers

Rev. Soc. Esp. Dolor. 2020; 27(2): 113-126 / DOI: 10.20986/resed.2020.3755/2019

Ethical problems in the management of pain. Qualitative study through open reflection interview

Rev. Soc. Esp. Dolor. 2020; 27(2): 89-96 / DOI: 10.20986/resed.2020.3729/2019

Altruistic conduct: a behavioral strategy to decrease the perception of pain?

Rev. Soc. Esp. Dolor. 2020; 27(2): 76-77 / DOI: 10.20986/resed.2020.3806/2020

COVID-19 coronavirus and chronic pain: uncertainties

Rev. Soc. Esp. Dolor. 2020; 27(2): 72-73 / DOI: 10.20986/resed.2020.3808/2020

The ozone paradigm in pain treatment

Rev. Soc. Esp. Dolor. 2020; 27(2): 69-71 / DOI: 10.20986/resed.2020.3807/2020

Conventional radiofrequency for genicular nerves in treatment of knee osteoarthritis

Rev. Soc. Esp. Dolor. 2020; 27(1): 59-60 / DOI: 10.20986/resed.2016.3515/2016

Review of the impact of acupuncture treatment on the management of nonspecific low back pain

Rev. Soc. Esp. Dolor. 2020; 27(1): 53-58 / DOI: 10.20986/resed.2020.3762/2019

Effectiveness of the association of lacosamide in trigeminal neuralgia

Rev. Soc. Esp. Dolor. 2020; 27(1): 50-52 / DOI: 10.20986/resed.2019.3738/2019

Peripheral acting Mu opioid receptor antagonists in the treatment of the opioid-induced constipation: review

Rev. Soc. Esp. Dolor. 2020; 27(1): 37-49 / DOI: 10.20986/resed.2020.3717/2018

Effectiveness of patient-controlled analgesia in acute and chronic pain after cardiac surgery: a prospective study

Rev. Soc. Esp. Dolor. 2020; 27(1): 24-36 / DOI: 10.20986/resed.2020.3747/2019

Efficacy of pregabalin, gabapentin and duloxetine in neuropathic pain verified by the p-curve analysis

Rev. Soc. Esp. Dolor. 2020; 27(1): 16-23 / DOI: 10.20986/resed.2020.3727/2019

Spinal stimulation modulated automatically. Evidence of closed stimulation systems: towards the pain pacemaker

Rev. Soc. Esp. Dolor. 2020; 27(1): 5-6 / DOI: 10.20986/resed.2020.3793/2020

News in the treatment of back pain: are the future cell therapies?

Rev. Soc. Esp. Dolor. 2020; 27(1): 3-4 / DOI: 10.20986/resed.2020.3792/2020

Considerations for the use of evidence-based practice in the management of people with pain

Rev. Soc. Esp. Dolor. 2019; 26(6): 374-375 / DOI: 10.20986/resed.2019.3712/2018

Intratecal baclophene for the treatment of pain and spasticity in stiff man syndrome: a case report

Rev. Soc. Esp. Dolor. 2019; 26(6): 368-371 / DOI: 10.20986/resed.2019.3745/2019

Key factors governing spinal cord opioid bioavailability in the management of acute pain

Rev. Soc. Esp. Dolor. 2019; 26(6): 359-367 / DOI: 10.20986/resed.2019.3737/2019

Neurolytic procedures for pancreatic cáncer pain: a systematic review and a proposal for an algorithm treatment

Rev. Soc. Esp. Dolor. 2019; 26(6): 342-358 / DOI: 10.20986/resed.2019.3715/2018

Correlation between pain and radiological parameters in patients older than 60 years of age with distal radius fracture

Rev. Soc. Esp. Dolor. 2019; 26(6): 324-330 / DOI: 10.20986/resed.2019.3720/2018

Connexins in chronic pain. A new target?

Rev. Soc. Esp. Dolor. 2019; 26(6): 322-323 / DOI: 10.20986/resed.2019.3785/2019

Celiac axis block in cancer pain: medicine of opportunity

Rev. Soc. Esp. Dolor. 2019; 26(6): 317-319 / DOI: 10.20986/resed.2019.3787/2019

Pyoderma gangrenosum, undocumented complication of a spinal cord stimulation

Rev. Soc. Esp. Dolor. 2019; 26(5): 309-312 / DOI: 10.20986/resed.2019.3725/2019

New strategies for postoperative pain control in tonsillectomy surgery. Is all that glitters gold?

Rev. Soc. Esp. Dolor. 2019; 26(5): 270-275 / DOI: 10.20986/resed.2019.3742/2019

The use of new technologies in patients with chronic pain. A reality that cannot be denied

Rev. Soc. Esp. Dolor. 2019; 26(5): 259-260 / DOI: 10.20986/resed.2019.3766/2019

Epidural injections: caudal, interlaminar or transforaminal. More than a shot

Rev. Soc. Esp. Dolor. 2019; 26(5): 255-258 / DOI: 10.20986/resed.2019.3764/2019

New ACP guidelines for non-radicular low back pain

Rev. Soc. Esp. Dolor. 2019; 26(4): 254-254 / DOI: 10.20986/resed.2017.3590/2017

Painful diabetic foot ulcer amputation avoided thanks to topical sevoflurane

Rev. Soc. Esp. Dolor. 2019; 26(4): 253-253 / DOI: 10.20986/resed.2018.3683/2018

NMDA antagonism in the treatment of cluster headache

Rev. Soc. Esp. Dolor. 2019; 26(4): 247-250 / DOI: 10.20986/resed.2019.3710/2018

Orofacial pain in the dental clinic

Rev. Soc. Esp. Dolor. 2019; 26(4): 233-242 / DOI: 10.20986/resed.2019.3724/2019

Characterization of pain in patients with breast cancer attending the Oncology Unit of the San José Hospital

Rev. Soc. Esp. Dolor. 2019; 26(4): 221-226 / DOI: 10.20986/resed.2019.3692/2018

Comparative analysis of vital signs in acutely hospitalized patients according to the pain intensity

Rev. Soc. Esp. Dolor. 2019; 26(4): 215-220 / DOI: 10.20986/resed.2019.3707/2018

The new international classification of diseases (ICD-11) and chronic pain. Pragmatical implications

Rev. Soc. Esp. Dolor. 2019; 26(4): 209-210 / DOI: 10.20986/resed.2019.3752/2019

Manual therapy, a double-edged weapon in the management of chronic pain

Rev. Soc. Esp. Dolor. 2019; 26(3): 206-207 / DOI: 10.20986/resed.2018.3675/2018

Opioid tapering may improve outcomes for chronic pain patients

Rev. Soc. Esp. Dolor. 2019; 26(3): 204-205 / DOI: 10.20986/resed.2017.3615/2017

Body pain, ethics and empathy: Utopia in the time of the mediate?

Rev. Soc. Esp. Dolor. 2019; 26(3): 203-203 / DOI: 10.20986/resed.2017.3599/2017

Erector spinae plane block for multiple unilateral ribs fractures.

Rev. Soc. Esp. Dolor. 2019; 26(3): 199-202 / DOI: 10.20986/resed.2019.3687/2018

Pain in Parkinson's disease. A look at a little known aspect of this pathology

Rev. Soc. Esp. Dolor. 2019; 26(3): 184-198 / DOI: 10.20986/resed.2019.3733/2019

Information and communication technologies applied among medical professionals who perform pain treatment

Rev. Soc. Esp. Dolor. 2019; 26(3): 175-183 / DOI: 10.20986/resed.2019.3709/2018

Optimization of postoperative pain management based on a new technological tool. Pain map

Rev. Soc. Esp. Dolor. 2019; 26(3): 154-165 / DOI: 10.20986/resed.2019.3696/2018

Sublingual fentanyl for the treatment of breakthrough cancer pain during allergic reactions to chemotherapy infusion

Rev. Soc. Esp. Dolor. 2019; 26(3): 148-153 / DOI: 10.20986/resed.2018.3689/2018

Recent advances in the use of light in pain research. Implications in physiology and pharmacology

Rev. Soc. Esp. Dolor. 2019; 26(3): 146-147 / DOI: 10.20986/resed.2019.3743/2019

Evidence and foresight of ultrasound-guided blocks for the painful shoulder

Rev. Soc. Esp. Dolor. 2019; 26(3): 144-145 / DOI: 10.20986/resed.2019.3741/2019

Top 10 bioethical issues in pain

Rev. Soc. Esp. Dolor. 2019; 26(2): 130-130 / DOI: 10.20986/resed.2018.3694/2018

Pulsed radiofrequency treatment in the neuropathy of the pudendal nerve: report of a case

Rev. Soc. Esp. Dolor. 2019; 26(2): 128-129 / DOI: 10.20986/resed.2016.3517/2016

Does pregabalin is a safe drug? Heart failure associated with pregabalin

Rev. Soc. Esp. Dolor. 2019; 26(2): 124-125 / DOI: 10.20986/resed.2017.3537/2016

Motor block after caudal epidural infiltration: a case report

Rev. Soc. Esp. Dolor. 2019; 26(2): 120-123 / DOI: 10.20986/resed.2018.3669/2018

Myofascial pain syndrome as a cause of postoperative acute pain in hip surgery

Rev. Soc. Esp. Dolor. 2019; 26(2): 117-119 / DOI: 10.20986/resed.2019.3655/2018

Fast opioid detoxification

Rev. Soc. Esp. Dolor. 2019; 26(2): 95-102 / DOI: 10.20986/resed.2019.3681/2018

Dry needling and changes in muscular activity in subjects with myphastial trigger points: case series

Rev. Soc. Esp. Dolor. 2019; 26(2): 89-94 / DOI: 10.20986/resed.2018.3677/2018

Effectiveness of hand crossing to produce analgesia in patients with chronic pain of the upper limb

Rev. Soc. Esp. Dolor. 2019; 26(2): 81-88 / DOI: 10.20986/resed.2019.3674/2018

Epidural steroids in lumbar radicular pain: particulate vs. non-particulate. This is the question

Rev. Soc. Esp. Dolor. 2019; 26(2): 70-71 / DOI: 10.20986/resed.2019.3735/2019

Opioids and addiction in chronic pain: is it a problem?, how to address it?

Rev. Soc. Esp. Dolor. 2019; 26(2): 65-67 / DOI: 10.20986/resed.2019.3736/2019

New indication of capsaicin 8 % patch: painful diabetic peripheral neuropathy

Rev. Soc. Esp. Dolor. 2019; 26(1): 60-61 / DOI: 10.20986/resed.2017.3556/2016

Oxytocin and chronic pain in humans

Rev. Soc. Esp. Dolor. 2019; 26(1): 52-58 / DOI: 10.20986/resed.2018.3664/2018

Influence of psychosocial factors in the experience of musculoskeletal pain: a literatura review

Rev. Soc. Esp. Dolor. 2019; 26(1): 44-51 / DOI: 10.20986/resed.2018.3679/2018

Project adapta: adequacy of treatment in breakthrough cancer pain

Rev. Soc. Esp. Dolor. 2019; 26(1): 31-43 / DOI: 10.20986/resed.2018.3661/2018

Psychosocial factors in chronic cancer pain: a Delphi study

Rev. Soc. Esp. Dolor. 2019; 26(1): 21-30 / DOI: 10.20986/resed.2018.3658/2018

Micro RNAs: A new way for the management of neuropathic pain?

Rev. Soc. Esp. Dolor. 2019; 26(1): 2-3 / DOI: 10.20986/resed.2019.3730/2019

Academic University training program of the Spanish Pain Society

Rev. Soc. Esp. Dolor. 2018; 25(6): 368-368

ACNES as a cause of chronic abdominal pain

Rev. Soc. Esp. Dolor. 2018; 25(6): 360-361 / DOI: 10.20986/resed.2017.3530/2016

Dysphonia as side-effect dose-dependent during treatment with duloxetine

Rev. Soc. Esp. Dolor. 2018; 25(6): 359-359 / DOI: 10.20986/resed.2017.3528/2016

Evidence-based recommendations for the management of neuropathic pain (review of the literature)

Rev. Soc. Esp. Dolor. 2018; 25(6): 349-358 / DOI: 10.20986/resed.2018.3673/2018

Changes in intraocular pressure in patients with trigeminal neuralgia subject to radio frequency of the Gasserian ganglion

Rev. Soc. Esp. Dolor. 2018; 25(6): 342-348 / DOI: 10.20986/resed.2018.3657/2018

Opinaudit study: clinical uses in breakthrough pain, is scientific evidence being followed up?

Rev. Soc. Esp. Dolor. 2018; 25(6): 325-334 / DOI: 10.20986/resed.2018.3634/2017

Use of major opioids for control of pain in hospitalized patients

Rev. Soc. Esp. Dolor. 2018; 25(6): 318-324 / DOI: 10.20986/resed.2018.3629/2017

Proctalgia and pudendal nerve entrapment: an association to know

Rev. Soc. Esp. Dolor. 2018; 25(6): 311-317 / DOI: 10.20986/resed.2018.3623/2017

Consensus for the definition of post-mastectomy pain syndrome

Rev. Soc. Esp. Dolor. 2018; 25(5): 305-306 / DOI: 10.20986/resed.2016.3510/2016

Radiofrequency thermal and splanchnics nerves block

Rev. Soc. Esp. Dolor. 2018; 25(5): 303-304 / DOI: 10.20986/resed.2016.3509/2016

Implications of bioethics in the treatment of chronic pain: the change of paradigms

Rev. Soc. Esp. Dolor. 2018; 25(5): 291-300 / DOI: 10.20986/resed.2018.3666/2018

Farmacologic adyuvants with saving effect of opioids in the perioperative period

Rev. Soc. Esp. Dolor. 2018; 25(5): 278-290 / DOI: 10.20986/resed.2018.3663/2018

Experience in two hospitals about the observation of pain responses in hospitalized preterm infants

Rev. Soc. Esp. Dolor. 2018; 25(5): 271-277 / DOI: 10.20986/resed.2018.3633/2017

Platelet-rich plasma in treating peripheral neuropathic pain. Preliminary report

Rev. Soc. Esp. Dolor. 2018; 25(5): 263-270 / DOI: 10.20986/resed.2017.3625/2017

Pain in the elderly and in patients with cognitive deficit. A DELPHI study

Rev. Soc. Esp. Dolor. 2018; 25(5): 251-262 / DOI: 10.20986/resed.2017.3621/2017

Chrono study: prevalence of breakthrough pain among patients with non-cancer chronic pain in Andalusia, Spain

Rev Soc Esp Dolor 2018; 25(4): 214-221 / DOI: 10.20986/resed.2017.3626/2017

Expenditure, prescription and consumption of analgesic drugs before and during the economic crisis

Rev Soc Esp Dolor 2018; 25(3): 155-162 / DOI: 10.20986/resed.2017.3609/2017

Sex and pain: sexual satisfaction and sexual function in a sample of patients with chronic, non-pelvic pain

Rev Soc Esp Dolor 2018; 25(3): 145-154 / DOI: 10.20986/resed.2018.3600/2017

Bibliometric analysis of the Journal of the Spanish Pain Society: 2007-2016

Rev Soc Esp Dolor 2018; 25(3):170-177 / DOI: 10.20986/resed.2018.3627/2017

Painometer v2®: a mobile application certified for monitoring patients with pain

Rev Soc Esp Dolor 2018; 25(2):112-120 / DOI: 10.20986/resed.2017.3555/2016

Analgesic efficacy of topical sevoflurane on wounds

Rev Soc Esp Dolor 2018; 25(2): 106-111 / DOI: 10.20986/resed.2017.3617/2017

Potential uses of Mirtazapine in palliative care beyond its antidepressant effect

Rev Soc Esp Dolor 2018; 25(1): 37-44 / DOI: 10.20986/resed.2017.3575/2017

Epidural analgesia vs. surgical wound analgesia to control acute post-operative pain in open colon surgery

Rev Soc Esp Dolor 2017; 24(5): 234-240 / DOI: 10.20986/resed.2017.3559/2016

Chronic pain: relationship with prefrontal symptoms and perceived stress

Rev Soc Esp Dolor 2017; 24(4): 179-187 / DOI: 10.20986/resed.2017.3540/2016

The effectiveness of electrical spinal-cord stimulation in type i complex regional pain syndrome. A literature review

Rev Soc Esp Dolor 2017; 24(4): 169-178 / DOI: 10.20986/resed.2016.3501/2016

Paxiflas®: new FDT combination of tramadol/paracetamol for treating moderate to severe pain

Rev Soc Esp Dolor 2017; 24(2):59-67 / DOI: 10.20986/resed.2017.3565/2017

Prevalence of breakthrough pain associated with chronic low back pain in Andalusia (COLUMBUS study)

Rev Soc Esp Dolor 2017; 24(3):116-124 / DOI: 10.20986/resed.2017.3548/2016

Factors associated with pain intensity in Mexican patients hospitalized in postoperative period

Rev Soc Esp Dolor 2017; 24(1): 4-10 / DOI: 10.20986/resed.2016.3442/2016

Instrucciones para citar

Fernández M, Albaladejo M, Álava S, Pérez O. Calcific tendinitis of the shoulder: risk factors and effectiveness of iontophoresis with acetic acid 5 % plus ultrasound: prospective quasi-experimental study at 5 years with 138 cases . Rev Soc Esp Dolor 2020; 27(6): 340-348 / DOI: 1020986/resed20203842/2020


Descargar a un gestores de citas

Descargue la cita de este artículo haciendo clic en uno de los siguientes gestores de citas:

Métrica

Este artículo ha sido visitado 73377 veces.
Este artículo ha sido descargado 37 veces.

Estadísticas de Dimensions


Estadísticas de Plum Analytics

Ficha Técnica

Recibido: 31/08/2020

Aceptado: 02/12/2020

Prepublicado: 02/12/2020

Publicado: 27/01/2021

Tiempo de revisión del artículo: 89 días

Tiempo de prepublicación: 93 días

Tiempo de edición del artículo: 149 días


Compartir

Este artículo aun no tiene valoraciones.
Reader rating:
Rate this article:
© 2025 Revista de la Sociedad Española del Dolor
ISSN: 1134-8046   e-ISSN: 2254-6189

      Indexada en: