DOI: 10.20986/resed.2020.3842/2020
ORIGINAL
TENDINITIS CALCIFICANTE DE HOMBRO: FACTORES DE RIESGO Y EFECTIVIDAD DE LA IONTOFORESIS CON ÁCIDO ACÉTICO 5 % MÁS ULTRASONIDO: ESTUDIO CUASIEXPERIMENTAL PROSPECTIVO A 5 AÑOS CON 138 CASOS
CALCIFIC TENDINITIS OF THE SHOULDER: RISK FACTORS AND EFFECTIVENESS OF IONTOPHORESIS WITH ACETIC ACID 5 % PLUS ULTRASOUND: PROSPECTIVE QUASI-EXPERIMENTAL STUDY AT 5 YEARS WITH 138 CASES
M. E. Fernández Cuadros1
M. J. Albaladejo Florín1
S. Álava Rabasa1
O. S. Pérez Moro1
1Servicio de Medicina Física y Rehabilitación. Hospital Universitario Santa Cristina. Madrid, España
ABSTRACT
Objective: To characterize clinically calcifying tendonitis (CT) and to conduct a prospective quasi-experimental before-and-after study in order to demonstrate the effectiveness of 5 % acetic acid iontophoresis and ultrasound in the treatment of CT.
Material and methods: Prospective, observational, quasi-experimental before-after intervention study to 138 patients who attended to Rehabilitation Department, Santísima Trinidad's General Foundation Hospital, Salamanca, from June-2014 to December-2018.
Outcome Measures: 1) pain: measured by Visual Analogical Scale (VAS); 2) calcification size: in millimetres (mm); 3) functional limitation of shoulder movement (% of patients), all measured at the beginning/end of treatment.
Intervention: iontophoresis with 5 % acetic acid at 4,7mA x 10 minutes and ultrasound 1W/cm2x 5 minutes over calcification.
Results: Mean age 54.6 years (n = 138). Female (73.1 %; n = 101); female to male ratio 3:1. Supraspinatus tendon (94.6 %; n = 124), subscapularis (5.4 %; n=14); left shoulder (55.1 %; n = 76), right shoulder (44.9 %; n = 62). Bilateral 1.4 % (n = 2). Right handed 96.3 % (n = 133); Personal history: smoking (19.5 %; n = 27), diabetes (7.2 %; n = 10); disease time averaged 6.08 months; acute-subacute pain (less than 3 months) 47.1; (n = 65), chronic pain (greater than 3 months) 52.9 % (n = 73). Radiological type: formative 75.3 % (n = 104); resorptive 24.7 % (n = 34). Average number of sessions: 20.5. Treatment complications 2.8 % (n = 4): intolerance/erythema/burn. Occupation: administrative 39.8 % (n = 55), manual jobs 60.2 % (n = 83).
Average initial pain 7.3 points (VAS scale), significantly decreased (p = 0.0000) post treatment to 2.7. Initial average size of calcifications 10.7 mm and significantly decreased (p = 0.0000) post treatment to 3.8 mm. Change of calcification: success/cure rate 55.7 % (n = 77), improvement rate 20.2 % (n = 28); failure rate 23.9 % (n = 33). Functional limitation decreased from 10.8 % of patients to 2.1 %.
Conclusions: CT is common in middle-aged working women. It affects supraspinatus tendon. It is associated with smoking and diabetes. Occupational risk factors include awkward positions and lighting weights. Iontophoresis with 5 % acetic acid and ultrasound is a safe, simple and inexpensive technique, capable to reduce pain and calcification, and recover functional limitation, with a recommended degree of scientific evidence (2B).
Key words: Iontophoresis, calcific tendinitis, pain, shoulder, ultrasound
RESUMEN
Objetivo: Caracterizar clínicamente la tendinitis calcificante (TC) y demostrar la efectividad de la iontoforesis del ácido acético al 5 % y el ultrasonido en el tratamiento de la TC.
Material y métodos: Estudio prospectivo, observacional, cuasiexperimental, tipo antes y después de la intervención, a 138 pacientes que asistieron al Departamento de Rehabilitación, del Hospital de la Fundación General Santísima Trinidad, Salamanca, de junio de 2014 a diciembre del 2018.
Medidas de resultado: 1) dolor: medido por la escala analógica visual (EVA); 2) tamaño de la calcificación: en milímetros (mm), ambos medidos al inicio/final del tratamiento; 3) limitación funcional (en porcentaje de pacientes) pre/post intervención.
Intervención: iontoforesis con ácido acético al 5 % a 4,7 mA x 10 minutos y ultrasonido 1W/cm2/1Hz/5 minutos sobre calcificación.
Resultados: Edad media: 54,6 años (n = 138); mujer (73,1 %; n = 101); proporción mujer/hombre 3: 1; tendón supraespinoso (94,6 %; n = 124); subescapular (5,4 %; n = 14); hombro izquierdo (55,1 %; n = 76), hombro derecho (44,9 %; n = 62); bilateral 1,4 % (n = 2); diestros 96,3 % (n = 133); antecedentes personales: tabaquismo (19,5 %; n = 27), diabetes (7,2 %; n = 10). El tiempo de enfermedad promedio fue de 6,08 meses. Dolor agudo-subagudo (menos de 3 meses) 47,1 %; (n = 65), dolor crónico (más de 3 meses) 52,9 % (n = 73). Tipo radiológico: formativo 75,3 % (n = 104), resortivo 24,7 % (n = 34). Número promedio de sesiones: 20. Complicaciones del tratamiento 2,8 % (n = 4): intolerancia/eritema/quemadura. Ocupación: administrativo 39,8 % (n = 55), trabajos manuales 60,2 % (n = 83). El dolor inicial EVA de 7,3 puntos disminuyó significativamente (p = 0,0000) después del tratamiento a 2,7. El tamaño promedio inicial de las calcificaciones fue de 10,7 mm y disminuyó significativamente (p = 0,0000) después del tratamiento a 3,8 mm. Cambio de calcificación: tasa de éxito/curación 55,7 % (n = 77), tasa de mejora 20,2 % (n = 28); tasa de fracaso del 23,9 % (n = 33). La limitación funcional disminuyó de un 10,8 % a un 2,1 %.
Conclusiones: La TC es común en mujeres trabajadoras de mediana edad. Afecta el tendón supraespinoso. Se asocia con el tabaquismo y la diabetes. Factores de riesgo ocupacional son las posiciones mantenidas y manipulación de cargas.
La iontoforesis con ácido acético al 5 % más ultrasonido es una técnica segura, simple y económica, capaz de reducir el dolor y la calcificación, y mejorar la limitación funcional, con un grado de evidencia científica recomendado (2B).
Palabras clave: Iontoforesis, tendinitis calcificante, dolor, hombro, ultrasonido
Correspondencia: Marcos Edgar Fernández Cuadros
marcosefc@hotmail.com
Recibido: 31-08-2020
Aceptado: 27-12-2020
INTRODUCCIÓN
La tendinitis calcificante (TC) es una patología muy frecuente en la consulta de rehabilitación, y causa habitual de incapacidad funcional y dolor de hombro (1). Su origen es el depósito de carbonato o de fosfato cálcico sobre un tendón previamente sano (2,3). La patogenia es desconocida, pero se piensa que la fibrosis y la necrosis del tendón provocan degeneración por el depósito de cristales (4,5). Sin embargo, otros autores creen que no se debe a un proceso degenerativo, sino a un proceso mediado por células (5,6,7).
Se han descrito tres estadios con correlación clínica/histológica/radiológica que pueden superponerse: precalcificación, calcificación (con fase formativa y resortiva) y poscalcificación (con restitución de la arquitectura normal del tendón) (1,2,6).
El cuadro clínico es variable, existen pacientes asintomáticos con hallazgo radiológico casual, pacientes con dolor crónico y pacientes con crisis dolorosas agudas, a menudo en fase resortiva (8). El diagnóstico es clínico (anamnesis más exploración física) y radiológico (radiografía y/o ecografía) (1,8,9). El tratamiento es inicialmente conservador y depende del estado evolutivo (10). Algunos autores sostienen que puede haber resolución espontánea del dolor y de la calcificación, reduciendo en el 9,3 % de los pacientes al año, en el 33 % a los 3 años y en un 27 % a los 10 años. Esto implica que existe en los pacientes un tiempo de sufrimiento muy prolongado que afecta a su calidad de vida, aunque se reduce con tratamiento adecuado (11). El tratamiento conservador incluye AINE, fisioterapia, electroterapia (microonda, onda corta, TENS, ultrasonidos, iontoforesis, interferenciales y magnetoterapia) (8). El tratamiento avanzado incluye ondas de choque, lavado aspiración y cirugía artroscópica de hombro (12).
Aunque no existe consenso en cuanto al tratamiento rehabilitador, en un reciente estudio experimental Fernández-Cuadros y cols. han demostrado la efectividad de diversas técnicas de electroterapia al disminuir el dolor, aunque no la calcificación en la TC (8).
La iontoforesis con ácido acético es un tratamiento clásico, barato y seguro, y que hasta hace unas décadas era el único capaz de actuar sobre la calcificación. Sin embargo, cuenta con pocos ensayos clínicos que avalen su efectividad (1,3,13,14,15,16).
Las ondas de choque y la artroscopia de hombro son opciones terapéuticas avanzadas, igual de efectivas que la iontoforesis, aunque mucho más caras, dolorosas y no están exentas de riesgos ni de complicaciones (1).
El objetivo de este trabajo ha sido caracterizar clínicamente la TC y realizar un estudio experimental que aporte un buen nivel de evidencia que avale la toma de decisiones al demostrar la efectividad de la iontoforesis con ácido acético al 5 % más ultrasonidos en el tratamiento de la TC del hombro
MATERIAL Y MÉTODOS
Para conseguir el objetivo se realizó un estudio cuasiexperimental tipo antes-después sin grupo control.
Pacientes
Se incluyó a 138 pacientes (101 mujeres, 37 hombres) diagnosticados de TC de hombro que acudieron al Servicio Clínico de Rehabilitación de la Fundación Hospital General Santísima Trinidad de Salamanca, entre junio del 2014 a diciembre del 2018 (54 meses).
Criterios de inclusión
Criterios de exclusión
Evaluación
En la primera consulta se obtiene los datos sociodemográficos (edad, sexo, ocupación, lateralidad, dominancia, ocupación), antecedentes personales (enfermedades, marcapasos, estimulador eléctrico), y la tipificación radiológica de la calcificación (formativa o resortiva). Se evaluó el balance articular del hombro en sus cuatro movimientos (abducción, antepulsión, rotaciones interna y externa), caracterizándolo como limitado o completo; además, se aplicó pruebas funcionales de hombro. Estas evaluaciones se repitieron al término del tratamiento.
Variables de resultado
Intervención
El tratamiento consistió en la aplicación de iontoforesis con ácido acético al 5 %, 2 cc que se empapaban sobre una gasa y se colocaban sobre el catión previamente humedecido (Figura 1), y se colocaba sobre la cara anterior del troquiter afectado. El anión, también humedecido, se colocaba a una distancia de 10 cm del catión, en el borde posterior del hombro (sobre la fosa supraespinosa), para permitir el paso de flujo de corriente. Ambos electrodos recubiertos de tela humedecida se sujetaban con un velcro alrededor del hombro, permitiendo un contacto completo sobre el hombro y evitar así el riesgo de quemadura (Figura 2). Se aplicó una corriente galvánica a intensidad de 4,7 mA por 10 minutos. Si el paciente no toleraba esta intensidad se reducía a 2 mA y se aplicaba por 20 minutos (Figura 1). Posteriormente se aplicaba ultrasonido continuo a una intensidad de 1 w/cm2/1 MHz/5 minutos, sobre el troquiter para favorecer la absorción del fármaco y disminuir el dolor (3).

Fig. 1. El ácido acético al 5 % (polaridad negativa) se vierte en una cantidad de 2 cc sobre una gasa de algodón sobre el catión (electrodo negativo). Para la iontoforesis, se aplica una corriente galvánica de 4,7 mA por 10 minutos.

Fig. 2. El catión (electrodo negativo) se aplica en la cara anterior del hombro (imagen anterior) mientras que el anión (electrodo positivo) se aplica a 10 cm de distancia, en la región posterior del hombro, sobre la fosa supraespinosa. Ambos electrodos se humedecen previamente y se ajustan con un velcro.
Seguimiento
Se realizaron revisiones periódicas (cada 10 días) para valorar el dolor y el cambio radiológico del tamaño y/o desaparición de la calcificación. El mínimo cambio clínico significativo para el dolor medido por EVA (Escala Visual Analógica) corresponde a un punto; se considera una mejoría significativa si el cambio es mayor de 3 puntos (17). Las mediciones radiológicas/ecográficas de la calcificación se realizaban en mm, valorando la calcificación en su eje más largo. Si había más de una calcificación, la medida total correspondía a la suma de las calcificaciones presentes medidas por separado. La efectividad del tratamiento con iontoforesis considerando la variable resultado “tamaño de la calcificación” se valoraba de la siguiente manera: 1) curación/éxito (si la calcificación desparecía o disminuía más del 75 %); 2) mejoría (si la calcificación disminuía entre un 25-75 %); 3) fracaso (si la calcificación disminuía menos del 25 % o no disminuía). La mejoría clínica incluía la disminución del dolor (medido por EVA), la desaparición de las maniobras dolorosas y la recuperación de la movilidad funcional (limitado o no limitado).
Para la recogida y procesamiento estadístico de las variables se utilizó el SPSS® 20.0. Para las variables descriptivas cualitativas se utilizaron promedios, mientras que para variables cuantitativas utilizamos frecuencias y porcentajes. Para contrastar las variables cuantitativas, utilizamos la prueba T de Student, mientras que para contrastar las variables cualitativas se usó la prueba de Chi cuadrado. El nivel de significancia usado fue del 99 % (p < 0,01).
RESULTADOS
La edad de los pacientes de la muestra ha sido 54,6 años (n =1 38). El sexo más frecuente ha sido el femenino (73,1 %; n = 101), con una relación mujer/hombre de 3/1 (Tabla I). Entre los antecedentes asociados a la TC, destacaba el tabaquismo (19,5 %; n = 27) y la diabetes (7,2 %; n = 10) (Tabla I).
Tabla I. Evaluación de las principales variables estudiadas (n = 138)

El tendón más afectado ha sido el del supraespinoso (94,6 %; n = 124), seguido del tendón del subescapular (5,4 %; n = 14) (Tabla I). En cuanto a la lateralidad, el hombro más frecuentemente afectado ha sido el izquierdo (55,1 %; n = 76), seguido del derecho (44,9 %; n = 62). Solo dos pacientes presentaron TC bilateral (1,4 %; n = 2) (Tabla I). Con respecto a la dominancia, la mayoría de los pacientes eran diestros (96,3 %; n = 133).
El tiempo de enfermedad en este estudio fue en promedio de 6,08 meses. El dolor agudo-subagudo (menor de 3 meses) era menos frecuente (47,1 %; n = 65) que el dolor crónico (mayor de 3 meses) (52,9 %; n = 73) (Tabla I).
El tipo radiológico más frecuente fue el formativo (75,3 %; n = 104), seguido del resortivo (24,7 %; n = 34). El número promedio de sesiones aplicadas fue de 20,5. Un 2,8 % de los pacientes (n = 4) abandonaron el tratamiento debido a intolerancia, eritema y/o quemadura, por lo que completaron el tratamiento con ultrasonido u onda corta según tolerancia (para el manejo del dolor). Con respecto a la ocupación, un 39,8 % (n = 55) eran administrativos, mientras que el 60,2 % (n = 83) realizaban trabajos manuales (Tabla I).
Con respecto a la movilidad, el 10,8 % (n = 15) de los pacientes presentaron limitación funcional en el hombro afectado (Tabla I).
El dolor inicial promedio era de 7,3 puntos en la escala EVA, y disminuyó significativamente (p = 0,0000) postratamiento a 2,7 puntos (Figura 3). El tamaño inicial promedio de las calcificaciones era de 10,7 mm y disminuyó significativamente (p = 0,0000) postratamiento a 3,8 mm (Figura 3).

Fig. 3. Efectividad de la iontoforesis sobre el dolor (EVA 0-10), el tamaño de la calcificación (mm) y la limitación funcional (%) en los pacientes con tendinitis calcificante del hombro.
El cambio de calcificación es considerado una variable de resultado, la cual consideraba la desaparición (disminución de más del 75 %), disminución (reducción entre el 25-75 %) o no (reducción de menos del 25 %) de la calcificación. Esto nos permite evaluar al tratamiento como éxito/curación, mejoría o fracaso, respectivamente. Esto supuso una tasa de éxito/curación del 55,7 % (n = 77), mejoría del 20,2 % (n = 28) y un fracaso del 23,9 % (n = 33) (Figura 3).
Tras el tratamiento, de 15 pacientes con limitación funcional (10,8 %), solo 3 (2,1 %) permanecieron con limitación, por lo que requirieron terapia manual (20 sesiones en promedio) para su recuperación completa (Figura 3).
DISCUSIÓN
El objetivo de este estudio ha sido aportar evidencia clínica demostrable que avale el uso de la iontoforesis con ácido acético más ultrasonido en la TC, dada la escasez de estudios al respecto; a pesar del uso extendido de esa técnica en los Servicios de Rehabilitación, de su efectividad y de su escasez de efectos adversos.
De hecho, el uso de la iontoforesis con ácido acético en el tratamiento de la tendinitis calcificante de hombro es desde hace décadas la modalidad terapéutica más frecuentemente aplicada en los servicios de rehabilitación. Sin embargo, existen pocos estudios que avalen su uso (3,16); incluso, hay estudios contradictorios (14,15). Este es el primer estudio que avala el uso de la iontoforesis con ácido acético más ultrasonido con evidencia científica demostrable y con una serie de casos (n = 138) superior a las de estudios precedentes (11, 18 y 34 pacientes respectivamente) (3,14,15) y en un estudio prospectivo a 5 años.
La TC es una enfermedad frecuente, dolorosa e incapacitante que produce gran impacto socioeconómico (18), gran demanda y utilización de recursos (19) y absentismo laboral (8).
El dolor es la principal causa de discapacidad debido a la pérdida de movilidad. En este estudio el 10,8 % de los pacientes (n = 15) presentaron limitación a la movilidad. Esto produce gran impacto en la calidad de vida. Algunos autores sostienen que estos dolores permanecen en el 50 % de los casos hasta un año después de la primera consulta (19), mientras que otros afirman que la TC puede evolucionar espontáneamente hacia la curación entre 3 y 10 años (11), lo cual repercute negativamente en su calidad de vida afectando a sus aspectos personales, familiares y laborales (8).
La TC es frecuente en pacientes trabajadores, de edad media entre los 30 y 50 años, como lo sostienen la mayoría de autores (8,16,18). La edad media en nuestro estudio fue de 54,6 años. Es similar a lo reportado por Chico-Álvarez (52,5 años) (1), Fernández-Cuadros (53,96 años) (8), Esparza-Ferrera (54 años) (20) y Martínez-Rodríguez (53,1 años) (21); pero difiere con o publicado por Rioja-Toro (48 años) (3) y por Palma y Kruper (45,2 años) (22).
La TC es más frecuente en mujeres, como lo demuestran los diversos estudios (2,8,18,20,21), incluido este trabajo. La relación mujer/hombre ha sido de 3/1. Sin embargo, Jacobelli sostiene que la TC es igual de frecuente en ambos sexos (8), mientras que Hernández-Díaz (16) y Hsu (23) describen una mayor predominancia en varones.
La patología crónica del manguito rotador y de la TC está asociada a trabajos que ejecutan sus labores en posturas forzadas, levantando pesos y realizando movimientos repetitivos. Fernández-Cuadros reportó que la ocupación más frecuente en TC era ama de casa, y por primera vez reportó asociación entre TC y riesgo laboral (8). Esto coincide con nuestros resultados, donde el 60,2 % de los pacientes son trabajadores manuales (cargaban peso) y el 39,8 % son trabajadores administrativos (posturas mantenidas). Sin embargo, un estudio reciente observó que el 34,7 % de su serie eran trabajadores manuales (levantaban pesos) y el 65,3 % eran administrativos (posturas mantenidas) (1).
La mayoría de los trabajos ponen de manifiesto que la TC afecta al hombro derecho (1,3,8,21,24), aunque hasta un 25 a 30 % puede ser bilateral (9,18,24). En este estudio hubo discreta mayor afectación en el hombro izquierdo (55,1 %; n =7 6), más que en el derecho (44,9 %, n = 62). También se ha reportado afectación bilateral en el 1,4 % (n = 2), aunque la mayoría de los pacientes (96,3 %, n = 133) eran diestros.
La TC afecta más frecuentemente al tendón supraespinoso, luego al infraespinoso y al subescapular (1,8,20,24,25). En nuestra serie afectó principalmente al supraespinoso (94,9 %, n = 124), y en menor proporción al subescapular (5,1 %, n = 14). Estudios similares publicados refieren al supraespinoso en el 92 % y subescapular 8 % (8) y otros autores, el supraespinoso 80 %, infraespinoso 15 % y subescapular 5 % (25).
El diagnóstico radiológico se realiza por radiografía o ecografía. La resonancia magnética solo está indicada en casos de sospecha de asociación con patología de partes blandas (8). Existen tres estadios (clínico/histológico/radiológico) identificables. Uthoff considera las etapas evolutivas en: 1) precalcificación: metaplasia de tenocitos y transformación a condrocitos; 2) calcificación: a) formativa (depósito de vesículas en matriz), b) resortiva (resorción espontánea por macrófagos/células multinucleadas por fagocitosis); y 3) poscalcificación: remodelación del colágeno y reparación del tendón (1). Las diversas clasificaciones radiológicas coinciden en que el tipo I corresponde a depósitos localizados, de contornos bien definidos, consistencia densa y textura homogénea; mientras que el tipo II corresponde a depósitos diseminados, contornos mal definidos consistencia turbia y textura heterogénea (1). Esta caracterización radiológica es importante, porque se cree que el tipo II (resortivo) tiene mejor pronóstico que el tipo I (formativo) (8).
El tratamiento de la TC en la actualidad es controvertido. Recientemente, Fernández-Cuadros y cols. han demostrado la efectividad de las diferentes técnicas de rehabilitación (cinesiterapia, onda corta, ultrasonidos, TENS, microondas, interferenciales) en disminuir el dolor sin afectar a la calcificación (8). Hasta hace unas décadas, el único tratamiento empleado en el tratamiento de la calcificación era la iontoforesis con ácido acético. Sin embargo, solo existen tres artículos clásicos que valoran su efectividad; uno favorablemente (3) y dos desfavorablemente (14,15). Un reciente estudio de tesis doctoral realizado por la Dra. Chico-Álvarez también avala favorablemente el uso de la iontoforesis en la TC (1).
La iontoforesis es una técnica no invasiva que aumenta la penetración de transdérmica de sustancias (fármacos) a través de las capas de la piel (epidermis, dermis e hipodermis) de manera controlada y con la ayuda de la aplicación de corriente eléctrica continua, basado en los principios fisicoquímicos de atracción y repulsión de cargas (26). Sus aplicaciones más comunes son: 1) tendinitis calcificante y la miositis osificante (ácido acético) (27); 2) control de espasmos musculares (cloruro de calcio y sulfato de magnesio); 3) inflamación (dexametasona); 4) inflamación de tejidos blandos (lidocaína); 5) dolor articular agudo en artritis reumatoide (óxido de zinc) (26). Esta técnica es barata debido al uso de medicamentos tópicos económicos y porque los equipos de electroterapia configurados para la aplicación de iontoforesis han disminuido en tamaño y se han hecho más accesibles debido a los bajos costos de producción (28).
La aplicación de ultrasonidos a la piel aumenta su permeabilidad y facilita la difusión de diferentes sustancias hacia y dentro de la piel. Este transporte se llama sonoféresis (29). La sonoféresis a baja frecuencia trabaja sinérgicamente con la iontoforesis, como lo demostró Le y cols. El Dr. Le usó ultrasonidos 10 minutos previos a la aplicación de la iontoforesis (30).
En 1955, Psaki y Carrol introdujeron la iontoforesis con ácido acético como tratamiento efectivo en la TC del hombro (14,15,31). Kahn considera que los precipitados de carbonato de calcio insolubles podrían transformarse en sales solubles de acetato de calcio, lo cual favorecería la reabsorción de la calcificación (31): Ca CO3 + 2H(CaH302)2 = Ca(C2H3O2)2 + H20 + CO2.
Además, el uso del ultrasonido por sus efectos mecánicos y térmicos podría ayudar a disgregar y reabsorber la calcificación al aumentar la vascularización local (3).
El protocolo de nuestro estudio consistió en la aplicación de iontoforesis con 2 cc de ácido acético 5 %, 4,7 mAx 10 minutos, seguido de US continuo 1 w/1 Hz/cm2 x 5 minutos. Este protocolo difiere del de Rioja-Toro (3), quien aplicó iontoforesis con 3 cc de ácido acético 5 % a 4,7 mA por 20 minutos más ultrasonido 1,5 W/cm2. Perrón utilizó iontoforesis con ácido acético 5 % (no especifica cantidad) a 5 mA x 20 minutos seguido de ultrasonidos 0,8 W/cm2 x 5 minutos (14). Leduc realizó iontoforesis con 2 cc de ácido acético al 5 % a 5 mA x 15-20 minutos sin ultrasonidos (15). Chico-Álvarez aplicó iontoforesis con ácido acético al 5 % (no especifica cantidad) a 4,7 mA por 20 minutos sin ultrasonidos (1).
El número promedio de sesiones en nuestra serie fue de 20. El criterio para continuar o suspender el tratamiento fue la evolución radiológica y clínica (Figuras 4 y 5). Las intervenciones se realizaron hasta un máximo de 40 sesiones. Perrón trató a sus pacientes por 9 sesiones (3 sesiones semanales por 3 semanas) (14). Leduc trató con 10 sesiones (3 por semana las dos primeras semanas; y luego una semanal por 4 semanas) (15). Rioja-Toro trató a sus pacientes por 40 sesiones (5 veces por semana) y los evaluó a las 20 y a las 40 sesiones (3). Chico-Álvarez trató a sus pacientes entre 15 y 30 sesiones dependiendo de la evolución radiológica (5 veces por semana) (1).

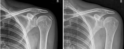
Fig. 4. Paciente mujer de 47 años con tendinitis calcificante de supraespinoso derecho, de tipo formativa, quien tras 30 sesiones de iontoforesis disminuyó el dolor medido por EVA de 6/10 a 3/10 y la calcificación de 38 mm a 8 mm (valoraciones al inicio, a las 10, a las 20 y a las 30 sesiones, respectivamente).
El estudio que se ha realizado es cuasiexperimental tipo antes-después, e incluyó a 138 pacientes. Perrón (14) realizó un estudio experimental randomizado (n = 11 grupo experimental; n = 10 grupo control), lo mismo que Leduc (15) (n = 17 grupo experimental; n = 10 grupo control). Rioja-Toro (3) realizó un estudio experimental tipo antes-después a 34 pacientes (n = 34). Chico-Álvarez (1) realizó un estudio experimental randomizado (n = 25 grupo experimental 1; n = 25 grupo experimental 2; n = 25 grupo experimental 3).

Fig. 5. Paciente mujer de 44 años, con tendinitis calcificante de supraespinoso izquierdo, de tipo resortivo, quien tras 20 sesiones de iontoforesis disminuyó el dolor medido por EVA de 10/10 a 4/10, y la calcificación de 22 mm a 0 mm (desaparición completa).
Nuestro estudio presentó el mayor número de pacientes con respecto a los estudios publicados hasta la fecha. La importancia radica en la dificultad de colectar prospectivamente tal número de pacientes. A Perrón (14) le llevó 4 años (1990-1994) recopilar 21 pacientes; a Leduc (15), 3 años (1998-2001) para 36 pacientes, de los que solo pudo utilizar 27. Rioja-Toro (3) reclutó 34 pacientes en 2 años (1998-2000); y a Chico-Álvarez (1) le tomó un año reclutar 25 paciente para cada grupo control (2013). Nosotros reclutamos 138 pacientes en un estudio prospectivo de 5 años (julio 2014 a diciembre 2018).
Con el protocolo de este estudio hemos conseguido una disminución significativa del dolor de 7,3 a 2,7 puntos en la escala EVA dolor. Este hallazgo es similar al de Chico-Álvarez (1), quien disminuyó el dolor de 5,7 a 2,7. Perrón (14) y Leduc (15) consiguieron mejoras del dolor, aunque no significativas. Rioja-Toro (3) reportó desaparición del dolor en el 54 % y mejoría en el 25 % de su serie, esto es una cura-mejoría del 79,6 %. Hernández-Díaz (16) observó que tras 10 sesiones de iontoforesis con ácido acético al 2 % una mejoría del dolor moderado-severo (95,6 %) al inicio, a un leve-ningún dolor (95,7 %) al término (16). Todos los estudios (incluido el nuestro), demuestran que la iontoforesis con ácido acético disminuye el dolor en la TC de hombro.
Nuestro protocolo de tratamiento (iontoforesis con ácido acético 5 % más ultrasonidos) es capaz de disminuir significativamente el tamaño de la calcificación en promedio de 10,7 mm (inicio) a 3,8 mm (término). Hemos encontrado una tasa de éxito (desaparición calcificación 75-100 %) del 55,7 % (n = 77), una tasa de mejoría (disminución de calcificación entre 25-75 %) del 20,2 % (n = 28), y una tasa de fracaso (disminución menor al 25 %) del 23,9 % (n = 33). Esto concuerda con Rioja-Toro, quien reporta una desaparición de la calcificación del 13,2 % y una disminución del 46,4 %; esto es una modificación del 59,6 % de los depósitos de calcio (3). Hernández-Díaz reportó una tasa de éxito del 43,5 %, una tasa de mejoría del 52,2 % y un fracaso del 4,3 % (16). Chico-Álvarez observó una disminución radiológica de la calcificación de 9,1 mm (inicio) a 5,7 mm (al término del tratamiento), y a 3,4 mm a los 6 meses de seguimiento. En nuestra serie, la disminución rápida de la calcificación probablemente se deba a que el ultrasonido favorece la absorción del ácido acético y la disolución de la misma. Perrón y Leduc obtuvieron una mejoría radiológica de los depósitos de calcio tras el tratamiento con iontoforesis, aunque sin diferencia con respecto al control. Esta diferencia se deba probablemente al menor número de sesiones realizadas (9 y 10, respectivamente).
En nuestra serie, tras el tratamiento aplicado, de un 10,8 % que presentaron limitación funcional (n = 15), solo un 2,1 % permanecieron con la rigidez de hombro (n = 3), por lo que requirieron terapia manual posteriormente. Aunque no fue objetivo del presente estudio, debemos mencionar que tras 20 sesiones de terapia manual (en promedio), todos los pacientes recuperaron su movilidad (n = 3). Con esta consideración, recientemente hemos propuesto en un artículo de revisión, un algoritmo de tratamiento para la TC de hombro, en el cual proponemos que los pacientes con limitación funcional, deben realizar terapia manual (cinesiterapia) (32). Por otra parte, los pacientes con dolor pueden mejorar estos síntomas con diferentes técnicas rehabilitadoras (electroterapia, termoterapia, etc.). Mientras que, para la resolución definitiva de la calcificación, la iontoforesis con ácido acético constituye una modalidad rehabilitadora no invasiva de primera línea (32). Tratamientos de segunda línea incluyen a las ondas de choque. En caso de fracaso a las terapias previas, las medidas más invasivas incluyen al lavado aspiración ecoguiado y a la cirugía artroscópica (32) (Figura 6).

Fig. 6. Algoritmo de tratamiento para la tendinitis calcificante de hombro basada en objetivos terapéuticos (con autorización de Fernández-Cuadros y cols.) (32).
Como aportación de este estudio, reflejar que es difícil de realizar estudios prospectivos capaces de recopilar muestras de tamaño como la muestra que se ha estudiado en este trabajo. Instamos a los investigadores a reproducir estudios como el nuestro a fin aumentar la consistencia y la evidencia de los resultados observados en esta investigación clínica.
Como efectos adversos, un 2,8 % (n = 4) presentaron intolerancia, eritema o quemadura, por lo que se suspendió la iontoforesis. Sin embargo, estos pacientes completaron sus sesiones solo con US, por sus propiedades analgésicas, disminuyendo el dolor tras el tratamiento, aunque no la calcificación.
CONCLUSIONES
La TC es más frecuente en mujeres trabajadoras de edad media. Se afecta al tendón supraespinoso más frecuentemente. Se asocia con el tabaquismo, diabetes y los trabajos en que manipulen cargas o realicen maniobras repetitivas.
La iontoforesis con ácido acético al 5 % más ultrasonido es una técnica segura, sencilla, barata, capaz de disminuir el dolor y la calcificación, y recuperar la movilidad en la TC de hombro.
Este estudio muestra un nivel de evidencia 2B y grado de recomendación B que permite postular a la iontoforesis con ácido acético más ultrasonido como una técnica efectiva, con un grado de videncia científica recomendado.
BIBLIOGRAFÍA