doi.org/10.20986/resed.2022.4014/2022
ORIGINAL
INYECCIÓN INTRARTICULAR ÚNICA ECOGUIADA DE ÁCIDO HIALURÓNICO EN LA COXARTROSIS SINTOMÁTICA: ESTUDIO RETROSPECTIVO DE LA EFICACIA DE DOS PRESENTACIONES
SINGLE ECO-GUIDED INTRA-ARTICULAR INJECTION OF HYALURONIC ACID IN SYMPTOMATIC COXARTHROSIS: RETROSPECTIVE STUDY OF THE EFFICACY OF TWO PRESENTATIONS
A. M. García-Bravo1
C. Pérez-Aguiar1
M. Díaz-Gutiérrez1
M. Y. Rivero1
C. Mateo-Moratinos1
L. R. Bravo-Moreno1
Í. Hernández-Hernández1
1Servicio de Medicina Física y Rehabilitación. Hospital Universitario Nuestra Señora de Candelaria. Santa Cruz de Tenerife, España
RESUMEN
Introducción: La viscosuplementación ecoguiada con ácido hialurónico en la coxartrosis sintomática se ha extendido como tratamiento seguro con eficacia demostrada, aunque con falta de consenso en su uso como práctica habitual. Pocos estudios han comparado la eficacia de dos productos de inyección única.
Objetivo: Evaluar la eficacia en pacientes infiltrados con dos ácidos hialurónicos de inyección única comparando Adant One® (A) a seis meses con Hyalone® (H) anual.
Material y método: Estudio observacional retrospectivo sobre cohorte de pacientes con coxartrosis sintomática, tratados mediante viscosuplementación intrarticular ecoguiada de cadera con dos tipos de inyección única de ácido hialurónico. Su eficacia fue evaluada de acuerdo con las escalas WOMAC y EVA a los 6 y 12 meses.
Resultados: Fueron tratados 144 pacientes con una dosis única de A y 84 con H. A los 6 meses aquellos tratados con A mostraron mejoras en relación con disminución del dolor en la EVA (p < 0,001) y en el WOMAC dolor (p = 0,003), así como en WOMAC global (p = 0,027). No hubo cambios en WOMAC rigidez y función. A los 12 meses los tratados con H mostraron mejorías en los parámetros EVA (p < 0,001) y WOMAC global (p = 0,010) y en todas sus dimensiones de manera significativa.
Conclusiones: Una inyección única de H anual fue más efectiva para mejorar el dolor y la funcionalidad de la cadera con artrosis a 1 año comparado con A semestral. Es posible establecer protocolos anuales de viscosuplementación para la artrosis de cadera con ácido hialurónico usando H.
Palabras clave: Ácido hialurónico, coxartrosis, viscosuplementación, infiltración, inyección intrarticular, guía ecográfica
ABSTRACT
Introduction: Ultrasound-guided viscosupplementation with hyaluronic acid in symptomatic hip osteoarthritis is widely used as a safe treatment with proven efficacy, although there is a lack of consensus on its use as routine practice. Few studies have compared the efficacy of two single injection products.
Objetive: To evaluate the efficacy in infiltrated patients with two single injection hyaluronic acids comparing Adant One® (A) at six months with annual Hyalone® (H).
Material and method: Restrospective observational study on a cohort of patients with symptomatic hip osteoarthritis, treated by ultrasound-guided intra-articular viscossuplementation with two types of single injection of hyaluronic acid. Its efficacy was evaluated according to the WOMAC and VAS scales at 6 and 12 months.
Results: 144 patients were treated with a single dose of A and 84 with H. At 6 months, those treated with A showed improvements in relation to pain reduction in the VAS (p < 0.001) and in the WOMAC pain (p = 0.003), as well as in global WOMAC (p = 0.027). There were no changes in WOMAC stiffness and function. At 12 months, those treated with H showed significant improvements in the VAS (p < 0.001) and global WOMAC (p = 0.010) parameters and in all their dimensions.
Conclusions: A single injection of annual H was more effective in improving pain and function of the hip with osteoarthritis at 1 year compared to A at 6 months. It is possible to establish annual viscossuplementation protocols for hip osteoarthritis with hyaluronic acid using H.
Keywords: Hyaluronic acid, coxarthrosis, hip osteoarthritis, viscosupplementation, infiltration, intra-articular injection, ultrasound guide
Recibido: 27-08-2022
Aceptado: 20-12-2022
Correspondencia: Agustín Miguel García Bravo
agarbra@gobiernodecanarias.org
INTRODUCCIÓN
La artrosis es la causa más común de dolor coxofemoral en adultos, especialmente en los sujetos de más edad, aumentando su incidencia con el envejecimiento (1). Presenta una prevalencia que oscila entre el 1,1 % en los varones y el 3,6 % de las mujeres, afectando de manera muy significativa a sus actividades diarias y a la calidad de vida, ya que causa dolor articular y rigidez (2). De esta forma se convierte en una de las principales causas de discapacidad en todo el mundo. El manejo óptimo de esta enfermedad requiere una combinación de medidas no farmacológicas y modalidades farmacológicas, en la búsqueda de retrasar o evitar el tratamiento quirúrgico, no exento de serias complicaciones.
Aunque multitud de estudios han demostrado que la administración intrarticular de ácido hialurónico (AH) puede lograr beneficios terapéuticos en pacientes afectos de coxartrosis, hay una falta de consenso en relación con si la inyección de AH en la cadera debería ser una práctica común en el manejo de la coxartrosis (1). De hecho, el American College of Rheumatology llega a posicionarse en contra de su indicación en su guía de recomendaciones de 2019 para el manejo de la artrosis de mano, cadera y rodilla basándose en el riesgo de sesgo de los estudios que las avalaban hasta ese momento (3). No obstante, a pesar de esta falta de consenso, el papel de la viscosuplementación en la artrosis coxofemoral va a cobrando un valor cada vez más relevante en las indicaciones establecidas por diferentes agencias. Así, recomendaciones de la Osteoarthritis Research Society International (OARSI) para el manejo de la coxartrosis sugieren la terapia intrarticular con esteroides y AH sumadas a la terapia habitual (2,4). De la misma manera, el European Viscosupplementation Consensus Group (EUROVISCO) publica recientemente entre sus recomendaciones, el uso de la viscosuplementación con AH en pacientes con artrosis sintomática de cadera media-moderada que no hayan mejorado suficientemente con intervenciones no farmacológicas o analgesia/antinflamatorios no esteroideos (5).
En los últimos años se ha producido un progresivo aumento del uso de AH intrarticular como tratamiento para la coxartrosis, que tiene como objetivo restaurar las propiedades reológicas del líquido sinovial y, además, controlar la inflamación y estimular la producción de AH endógeno (6,7). Las fórmulas de AH difieren en su origen y métodos de producción, sus propiedades físico-químicas, su vida media en el espacio articular, así como su protocolo de administración y su coste. Para la viscosuplementación de la cadera se usan diferentes tipos de AH, pero cada vez se da más prioridad a los que tienen un mayor peso molecular (2).
La viscosuplementación intrarticular con AH constituye en la actualidad un procedimiento diario y muy frecuente en la actividad cotidiana de las consultas dedicadas a la artrosis, consolidándose como un cambio en los paradigmas que protocolizan nuestras indicaciones terapéuticas. La actividad asistencial llevada a cabo por nuestro equipo se realiza en un hospital universitario perteneciente al Sistema Nacional de Salud. Los centros hospitalarios de esta consejería realizan la adquisición de los productos sanitarios mediante concursos que se basan en aspectos económicos (coste-beneficio) y en aspectos de eficacia médica. En este sentido, en nuestro hospital se han adquirido varias formulaciones de AH para infiltración intrarticular con diferentes posologías recomendadas. En el año 2016 se disponía a nivel hospitalario del Adant One® (A), un producto sanitario para las infiltraciones intrarticulares de AH que se administraba semestralmente (según recomendación del fabricante). Con la intención de espaciar las viscosuplementaciones más allá de los seis meses, se seleccionó otro producto sanitario de viscosuplementación de otra casa comercial, Hyalone® (H) que reporta un efecto benéfico en la artrosis de cadera sintomática de hasta 1 año con el que se estableció también un protocolo de infiltración anual.
El objetivo principal de este trabajo ha sido evaluar retrospectivamente los resultados de eficacia clínica obtenidos en los pacientes afectos de coxartrosis sintomática infiltrados de manera ecoguiada con A a seis meses comparándolos con la infiltración única anual de H.
MATERIAL Y MÉTODO
Pacientes
Fueron objeto del estudio aquellos pacientes referidos a nuestro servicio entre enero de 2016 y diciembre de 2020, con diagnóstico de artrosis sintomática de cadera, tratados en el Servicio de Medicina Física y Rehabilitación de nuestro centro hospitalario. Los pacientes fueron admitidos desde las consultas externas del servicio, bien en el propio centro o en los centros de atención especializada del área sanitaria correspondiente. Los criterios de inclusión y exclusión están definidos en la Tabla I.
Tabla I. Criterios de inclusión y exclusión empleados para la selección de los pacientes del estudio.

Diseño del estudio
Se trata de un estudio retrospectivo observacional abierto diseñado para evaluar en la práctica clínica diaria la eficacia clínica de las infiltraciones intrarticulares de los AH de los que ha dispuesto nuestro centro hospitalario entre enero de 2016 y diciembre de 2020 a dos tiempos de seguimiento: 6 meses y 1 año. Hemos implementado en nuestro servicio de forma rutinaria la evaluación sistemática subjetiva de dolor (EVA: escala visual analógica), así como la escala WOMAC (Western Ontario McMaster Universities Osteoarthritis Index) con sus diferentes dimensiones (dolor, rigidez y funcionalidad) para todos los pacientes tratados con AH, proporcionándoles los cuestionarios en la visita previa antes de recibir el tratamiento y en las posteriores de seguimiento (8).
Técnica de infiltración
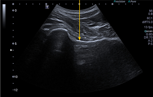
La viscosuplementación intrarticular fue estandarizada en todos los pacientes e independiente del AH empleado. En dicho procedimiento, realizado siempre por los mismos facultativos, se practicaba un abordaje ecoguiado por vía anterior a nivel infrainguinal. Mediante un equipo de ecografía Canon Xario 100G® y con la sonda cónvex de 5 MHz emplazada perpendicular al pliegue de la ingle, y desplazándola lateralmente a los vasos femorales, se identificaba un plano de seguridad que incluyera margen superior de la cabeza y cuello femoral, borde acetabular y recorrido de la cápsula articular hasta la zona cervical del fémur (Figura 1). Mediante el empleo del ecógrafo en su modo doppler podíamos identificar la ausencia de estructuras vasculares en ese plano de seguridad además de medir la profundidad del recorrido de la aguja. En este plano se identificaba el punto medio perpendicular al objetivo de la infiltración en la zona cervical, dentro de la cápsula articular (Figura 2). En ese punto se disponía una aguja espinal de 88 mm y 22 G, en dirección perpendicular al plano de la camilla, desplazándola hasta contactar con el cuello femoral. A continuación se retiraba unos milímetros y se procedía a una aspiración amplia para volver a asegurar la ausencia de estructuras vasculares y eventuales inyecciones intravasculares. Posteriormente se inyectaba el contenido de cada formulación de AH, y se retiraba la aguja colocando un apósito. Todo ello realizado con las adecuadas normas de esterilidad y asepsia. A cada uno de los pacientes se les recomendaba un reposo relativo de 24 horas tras la técnica.

Fig. 1. Imagen de guía ecográfica de la infiltración intrarticular de la cadera, identificándose la cápsula articular en la transición cefálico-cervical del fémur, objetivo para la disposición de la aguja e introducción del producto infiltrado.

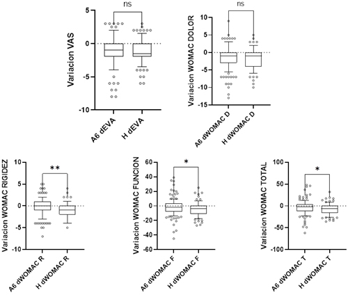
Fig. 2. Cambios de las medias absolutas de las puntuaciones del WOMAC y EVA tras el tratamiento con hialuronato a los seis meses con A y al año con H. Variación absoluta desde los datos basales. A6M: seis meses tras la infiltración con A; H12M: 1 año tras el tratamiento con H. Los diagramas de cajas y bigotes representan la media, los cuartiles superior e inferior y los percentiles 10-90 %, respectivamente. El test de Mann-Whitney fue usado para comparar los grupos con un valor alfa establecido en 0,05 como significativo. Ns: no significativo.
A todos los pacientes se les solicitó por escrito el consentimiento informado sobre la técnica de infiltración y, además, el consentimiento informado sobre su participación en el presente estudio. Este estudio fue aprobado por el CEIC de nuestro centro hospitalario con el código CHUNSC 2019_32.
Productos
El AH del que se dispuso inicialmente y hasta junio de 2018 (A) era un producto sanitario compuesto por una solución viscoelástica estéril al 1 % de 4,9 ml con 49 mg de hialuronato sódico, con un peso molecular de 900-1200 kDa (Adant One®, Meiji Pharma, Spain). Obtenido mediante procesos de fermentación bacteriana y posterior purificación, en su ficha técnica presenta indicación en articulaciones sinoviales, con una posología de dosis única y posible recuerdo a los 6 meses en función de la situación clínica del paciente. Con posterioridad a esa fecha, y hasta el final del estudio, fue sustituido por otro producto sanitario (H) obtenido igualmente por fermentación bacteriana compuesto por una solución viscoelástica estéril al 1,5 % con 60 mg de hialuronato sódico en 4 ml y con un peso molecular de 1500-2000 kDa (Hyalone®-Fidia Farmaceutici S.p.A.). En su ficha técnica se recoge igualmente la indicación en artrosis de cadera y en su posología se establece una inyección semestral o anual en función de la evolución clínica del paciente. En el caso de A la infiltración fue semestral y anual con H.
Análisis estadístico
Las variables categóricas se describieron mediante recuentos absolutos mientras que las variables continuas se describieron usando la media, la desviación estándar y el intervalo de confianza (95 %). La simetría de datos se analizó utilizando la prueba de normalidad de Shapiro-Wilk. Los cambios intragrupos desde la línea de base se analizaron utilizando el test de Wilcoxon. Para las comparaciones intergrupos, se empleó la prueba de Mann-Whitney. Todas las pruebas estadísticas de los efectos de tratamiento fueron de 2 colas y se consideraron estadísticamente significativas cuando los valores de p < 0,05. Todos los análisis estadísticos se realizaron utilizando el Graphpad Prism Versión 7.00 para Windows, software de Graphpad, La Jolla, California, USA.
RESULTADOS
Durante el periodo de estudio (2016-2020) se identificaron en nuestros registros un total de 352 pacientes infiltrados con AH por artrosis de cadera que cumplían los criterios de inclusión. De dicho registro se excluyeron un total de 124 pacientes que no cumplieron con los intervalos de tiempos establecidos entre la inyección y la posterior evaluación, o con datos de seguimiento incompletos. De esta manera se conformaron dos grupos: a) A6M: 144 sujetos que recibieron una infiltración intrarticular ecoguiada en la cadera con A y que fueron evaluados a los 6 ± 2 meses y; b) H12M: con 84 pacientes tratados mediante viscosuplementación ecoguiada con H y que fueron evaluados a los 12 ± 2 meses.
No hubo distinciones significativas entre los dos grupos con respecto a la demografía o a los valores basales de los cuestionarios de referencia (Tabla II), con la salvedad de la EVA que mostraba una diferencia de 0,8 puntos con una p = 0,015. No obstante, dado que de manera estandarizada se considera que en la medición del dolor con la escala EVA, debe producirse un cambio de al menos dos puntos para considerarse significativo, esta diferencia tiene un valor relativo. Los resultados intragrupo en relación con la evolución de los pacientes desde el inicio del tratamiento se muestran en la Tabla III. Se observa que el grupo A6M, que recibió una infiltración con A y volvió a la consulta 6 meses después, mostró mejoras significativas en relación con la disminución del dolor en la cadera medida tanto con la EVA (p < 0,001) como con el WOMAC dolor (p = 0,003), así como en el resultado del índice WOMAC global (p = 0,027). Sin embargo, no se produjeron cambios estadísticamente relevantes en el apartado de la rigidez y de la función medidos con el WOMAC. En lo que se refiere al grupo H12M, evaluado al año de la infiltración mostró mejora significativa en todos los parámetros registrados. Tanto la EVA (p < 0,001) como el WOMAC global (p = 0,010) y sus diferentes dimensiones registraron mejorías significativas. Es relevante el resultado del valor WOMAC rigidez que a los 12 meses mostró una mejora significativa importante (p < 0,001) y en menor medida el WOMAC función (p = 0,018).
Tabla II. Características basales de los pacientes incluidos en este estudio.

6M: 6 meses de seguimiento tras infiltración única con A. 12M: 12 meses de seguimiento tras infiltración única con H. EVA: escala analógica visual. WOMAC: Western Ontario and McMaster Universities Ostearthritis Index. Datos proporcionados como media ± DS (desviación estándar), o valores absolutos. El valor p fue calculado con un valor alfa establecido en 0,05 como significativo. I: izquierda. D: derecha. B. bilateral.
Tabla III: Pacientes tratados con A a los 6 meses o H a los 12 meses. Significación de los cambios
de las medias intragrupos.

EVA: escala analógica visual. WOMAC: Western Ontario and McMaster Universities Ostearthritis Index. Datos proporcionados como media + DS (desviación estándar). IC: Intervalo de confianza. Ns: no significativo. Fue usado el test Wilcoxon para evaluar los resultados con un valor alfa establecido en 0,05 como significativo.
En la Figura 3 se muestra la comparativa de los cambios obtenidos en cada grupo después del tratamiento con AH. En relación con el dolor medido utilizando la escala EVA y con el WOMAC dolor se observa que la reducción se mantiene en ambos grupos, pero sin diferencias estadísticamente significativas (p > 0,05). Por el contrario, los cambios en los índices de WOMAC función, WOMAC rigidez y WOMAC global fueron superiores en el grupo H12M comparado con el grupo A6M (p = 0,040; p = 0,003, p = 0,043, respectivamente).

Fig. 3. Cambios de las medias absolutas de las puntuaciones del WOMAC y EVA tras el tratamiento con hialuronato a los seis meses con A y al año con H. Variación absoluta desde los datos basales. A6M: seis meses tras la infiltración con A; H12M: 1 año tras el tratamiento con H. Los diagramas de cajas y bigotes representan la media, los cuartiles superior e inferior y los percentiles 10-90 % respectivamente. El test de Mann-Whitney fue usado para comparar los grupos con un valor alfa establecido en 0,05 como significativo. Ns: no significativo.
No fue registrado ningún efecto secundario ni evento adverso durante la realización de este estudio.
DISCUSIÓN
La infiltración intrarticular con AH en la artrosis de cadera es un procedimiento rutinario en nuestro servicio. Se encuentra estructurado dentro del protocolo de abordaje de la coxartrosis, conjuntamente con otras técnicas que pueden incluir medidas de higiene postural y de economía articular, actividad física controlada, disminución de peso, tratamientos farmacológicos o radiofrecuencia. El empleo de una presentación de AH u otra se basa fundamentalmente en la política farmacológica de nuestro hospital. De acuerdo con la práctica clínica habitual y en función de los tiempos y recomendaciones de uso establecidas para cada producto, con el hialuronato A los pacientes eran citados, revisados e infiltrados cada seis meses, mientras que con el H, el intervalo se ha espaciado a doce meses. Esto podría suponer una disminución del gasto por paciente al ser inyectados a intervalos mayores, así como una reducción de la lista de espera, al prolongar las citas de revisiones en los mismos. Con los resultados obtenidos en este trabajo, podemos constatar la existencia de una reducción del dolor a los 12 meses, medida mediante la EVA, en los pacientes infiltrados con ambas presentaciones de AH. Esta mejoría se objetivó igualmente con el WOMAC dolor para los dos hialuronatos. Sin embargo, se registraron diferencias significativas en cuanto a la mejora en parámetros funcionales medidos con el WOMAC función, y sobre todo en el apartado rigidez de dicho índice, a favor del grupo tratado con H frente al grupo tratado con A que habrían recibido dos infiltraciones en ese mismo periodo de tiempo.
Los resultados obtenidos en este estudio, en lo referente al control sintomatológico de la coxartrosis, tras la infiltración con AH, coinciden de manera general con la mayoría de las publicaciones realizadas al respecto. Ya en 2005 Conrozier y Vignon indicaban en una extensa revisión que los datos publicados sugerían que la viscosuplementación con AH podía ser efectiva en el tratamiento de la coxartrosis (9). Más de 15 años después, la literatura sigue ofreciendo multitud de trabajos que reúnen a miles de pacientes infiltrados con AH en las caderas en relación con artrosis sintomática. La mayoría de estudios informan sobre buenos resultados en términos de control de dolor de la cadera y mejora de la funcionalidad del paciente. Así, y entre los estudios más recientes, Acuña y cols. (1) señalan en su revisión que el AH puede mejorar de manera efectiva ciertas medidas evolutivas y reducir el dolor entre los pacientes que sufren coxartrosis. De la misma manera Mauro y cols. (10) intentan de manera retrospectiva evaluar la evolución clínica y funcional en los pacientes con coxartrosis leve-moderada tratados con entre 1 y 3 inyecciones intrarticulares de AH, con un seguimiento de hasta 7 meses después de la última infiltración. Todos los pacientes infiltrados con AH mejoraron en la EVA y en el WOMAC. En sus conclusiones determinan que tres inyecciones intrarticulares determinan una mejor evolución en términos de reducción del dolor comparado con 1 o 2 infiltraciones. Las infiltraciones intrarticulares con AH en la coxartrosis leve-moderada han demostrado ser efectivas en la reducción del dolor y la mejora del nivel funcional. Un conjunto de tres infiltraciones provee del mejor resultado para el control del dolor.
Liao y cols. (11), en su metanálisis y revisión sistemática, coinciden con los trabajos anteriores en que la infiltración intrarticular con AH muestra resultados muy positivos a medio plazo en los pacientes con viscosuplementación durante el tiempo de seguimiento comparado con la situación basal y sin informar sobre efectos adversos.
En un estudio publicado por Pogliacomi y cols. (7) afirman que la inyección intrarticular de AH ecoguiada podría ser una posibilidad en el tratamiento de la artrosis sintomática de cadera. Los sujetos con un grado moderado de coxartrosis (Kellgren-Lawrence estadio 2) representan el grupo que podría reportar un máximo beneficio con la viscosuplementación.
En el caso del Lucia y cols. (2), en su trabajo observacional retrospectivo sobre los resultados de dos tipos de ácido hialurónico (alto y medio peso molecular) comparado con pacientes sin viscosuplementación, concluyen que esta ofrece una alternativa en el manejo del dolor en comparación con los aine y analgésicos orales, favoreciendo la reducción del consumo de medicación para el dolor. Y, además, informan que los efectos de efectividad analgésica, recuperación funcional y reducción de la rigidez articular se extienden por encima de los 12 y 24 meses, sugiriendo que repetidas administraciones tienen un efecto aditivo.
Todos los trabajos mencionados anteriormente tienen en común la conclusión de que es necesario disponer de ensayos clínicos controlados y randomizados para poder determinar de manera sólida a la viscosuplementación de la cadera con AH como una alternativa de práctica estandarizada en la coxartrosis. No obstante, es el mismo Conrorizer el que encabeza la reciente publicación del EUROVISCO, donde señala que los pacientes con coxartrosis sintomática leve o moderada (con estrechamiento articular grado 0-2 de la OARSI, Kellgren-Lawrence I-III) que no hayan mejorado suficientemente mediante intervenciones no farmacológicas y analgésicos/antinflamatorios no esteroideos, cumplirían con los criterios de indicación apropiada para el uso de la viscosuplementación con AH con una fuerte recomendación (8,5 de un total de 9, que sería la recomendación para la rodilla) (5). De la misma manera, recomendaciones de la OARSI para el manejo de la coxartrosis sugieren la terapia intrarticular con esteroides y AH sumadas a la terapia habitual (2,4). Coinciden Pogliacomi y cols. (7) al señalar igualmente a aquellos pacientes con una coxartrosis estadio 2 de Kellgren-Lawrence como aquellos a los que podría reportar un máximo beneficio la viscosuplementación ecoguiada de la cadera. Por lo tanto, el EUROVISCO y la OARSI comienzan a abrir un espacio reglado para que el AH sea una alternativa terapéutica consolidada en el tratamiento de ciertos grupos de pacientes con artrosis de cadera (4,5). En nuestro estudio encontramos respuestas favorables aplicables a todos los estadios evolutivos de la coxartrosis.
En el estudio que hemos realizado se obtuvieron mejores resultados con el AH de mayor peso molecular y de manera especial en el control de la rigidez a los 12 meses en los pacientes tratados con H. En el estudio realizado por De Rezende y cols. comparando AH con lavado articular y con triamcinolona se concluye que el AH logra mejoría de la movilidad (con menos rigidez) a los 12 meses, aunque no compara distintos hialuronatos (6). En el trabajo de Schiavi y cols. (12) su objetivo fue verificar la eficacia y seguridad de la viscosuplementación ecoguiada con AH de alto peso molecular en la artrosis de cadera. Se evaluaron un total de 183 pacientes con un Kellgren-Lawrence 1-2-3, recogiéndose EVA y Harris Hip Score, con un seguimiento mínimo de 6 meses. Como conclusiones se confirma que la infiltración intrarticular de cadera ecoguiada con AH de alto peso molecular podría ser una posibilidad en el tratamiento de la coxartrosis, especialmente en pacientes con un Kellgren-Lawrence grado 2. El trabajo de Lucía y cols. (2) desarrolla un estudio observacional retrospectivo sobre los resultados de dos tipos de ácido hialurónico (alto y medio peso molecular) comparado con pacientes sin viscosuplementación, y concluyen que esta ofrece una alternativa en el manejo del dolor en comparación con los aine y analgésicos orales, favoreciendo la reducción del consumo de medicación para el dolor, aunque no encuentran diferencias reseñables entre ambos tipos de AH. Además, informan que los efectos de efectividad analgésica, recuperación funcional y reducción de la rigidez articular se extienden por encima de los 12 y 24 meses, sugiriendo que repetidas administraciones tienen un efecto aditivo. Si las diferencias en cuanto al peso molecular se asocian con distintos efectos terapéuticos o durabilidad, permanece todavía sin ser aclarado.
Finalmente, la recomendación del EUROVISCO en relación con el uso de la ecografía, ya recogida en varias publicaciones previas, incrementa sin lugar a dudas la seguridad a la hora de llevar a cabo la técnica, siendo un complemento irrenunciable que hace de la viscosuplementación una alternativa terapéutica segura (5). De la misma manera, en las recomendaciones publicadas en 2021 por la EULAR, para las terapias intrarticulares se recoge el uso del AH como una de las alternativas y se insiste en la necesidad de disponer de guía ecográfica para la realización de las infiltraciones y que no es una contraindicación personas con trastornos de la coagulación, o que estén tomando medicación antitrombótica, igualmente puede realizarse al menos tres meses antes de una artroplastia de cadera (13). En nuestro estudio no se registró ningún evento adverso, coincidiendo esta circunstancia con lo publicado por la mayoría de los autores.
Constituye una limitación de este trabajo su diseño retrospectivo y el no disponer de un grupo placebo con el que comparar ambos productos. Queda para futuros estudios la mejora de estas limitaciones.
CONCLUSIONES
La viscosuplementación ecoguiada con ácido hialurónico intrarticular es una técnica eficaz y segura para el tratamiento de artrosis sintomática de cadera. Las infiltraciones intrarticulares de H muestran ser más eficaces para mejorar el dolor y la funcionalidad de la cadera a 1 año comparado con A, lo que permite protocolizar de forma rutinaria una viscosuplementación para la coxartrosis sintomática con intervalos de 12 meses y permitir el acceso a más pacientes a está técnica terapéutica.
El uso de la guía ecográfica simplifica y asegura la realización de la técnica de infiltración intrarticular de la cadera, facilitando la implementación de esta opción terapéutica en las consultas de artrosis.
BIBLIOGRAFÍA