Año 2020 / Volumen 27 / Número 6

Original

Tendinitis calcificante de hombro: factores de riesgo y efectividad de la iontoforesis con ácido acético 5 % más ultrasonido: estudio cuasiexperimental prospectivo a 5 años con 138 casos
Calcific tendinitis of the shoulder: risk factors and effectiveness of iontophoresis with acetic acid 5 % plus ultrasound: prospective quasi-experimental study at 5 years with 138 cases

Rev. Soc. Esp. Dolor. 2020; 27(6): 340-348 / DOI: 10.20986/resed.2020.3842/2020

Marcos Edgar Fernández, María Jesús Albaladejo, Sandra Álava, Olga Susana Pérez


RESUMEN

Objetivo: Caracterizar clínicamente la tendinitis calcificante (TC) y demostrar la efectividad de la iontoforesis del ácido acético al 5 % y el ultrasonido en el tratamiento de la TC.
Material y métodos: Estudio prospectivo, observacional, cuasiexperimental, tipo antes y después de la intervención, a 138 pacientes que asistieron al Departamento de Rehabilitación, del Hospital de la Fundación General Santísima Trinidad, Salamanca, de junio de 2014 a diciembre del 2018.
Medidas de resultado: 1) dolor: medido por la escala analógica visual (EVA); 2) tamaño de la calcificación: en milímetros (mm), ambos medidos al inicio/final del tratamiento; 3) limitación funcional (en porcentaje de pacientes) pre/post intervención.
Intervención: iontoforesis con ácido acético al 5 % a 4,7 mA x 10 minutos y ultrasonido 1W/cm2/1Hz/5 minutos sobre calcificación.
Resultados: Edad media: 54,6 años (n = 138); mujer (73,1 %; n = 101); proporción mujer/hombre 3: 1; tendón supraespinoso (94,6 %; n = 124); subescapular (5,4 %; n = 14); hombro izquierdo (55,1 %; n = 76), hombro derecho (44,9 %; n = 62); bilateral 1,4 % (n = 2); diestros 96,3 % (n = 133); antecedentes personales: tabaquismo (19,5 %; n = 27), diabetes (7,2 %; n = 10). El tiempo de enfermedad promedio fue de 6,08 meses. Dolor agudo-subagudo (menos de 3 meses) 47,1 %; (n = 65), dolor crónico (más de 3 meses) 52,9 % (n = 73). Tipo radiológico: formativo 75,3 % (n = 104), resortivo 24,7 % (n = 34). Número promedio de sesiones: 20. Complicaciones del tratamiento 2,8 % (n = 4): intolerancia/eritema/quemadura. Ocupación: administrativo 39,8 % (n = 55), trabajos manuales 60,2 % (n = 83). El dolor inicial EVA de 7,3 puntos disminuyó significativamente (p = 0,0000) después del tratamiento a 2,7. El tamaño promedio inicial de las calcificaciones fue de 10,7 mm y disminuyó significativamente (p = 0,0000) después del tratamiento a 3,8 mm. Cambio de calcificación: tasa de éxito/curación 55,7 % (n = 77), tasa de mejora 20,2 % (n = 28); tasa de fracaso del 23,9 % (n = 33). La limitación funcional disminuyó de un 10,8 % a un 2,1 %.
Conclusiones: La TC es común en mujeres trabajadoras de mediana edad. Afecta el tendón supraespinoso. Se asocia con el tabaquismo y la diabetes. Factores de riesgo ocupacional son las posiciones mantenidas y manipulación de cargas.
La iontoforesis con ácido acético al 5 % más ultrasonido es una técnica segura, simple y económica, capaz de reducir el dolor y la calcificación, y mejorar la limitación funcional, con un grado de evidencia científica recomendado (2B).



ABSTRACT

Objective: To characterize clinically calcifying tendonitis (CT) and to conduct a prospective quasi-experimental before-and-after study in order to demonstrate the effectiveness of 5 % acetic acid iontophoresis and ultrasound in the treatment of CT.
Material and methods: Prospective, observational, quasi-experimental before-after intervention study to 138 patients who attended to Rehabilitation Department, Santísima Trinidad's General Foundation Hospital, Salamanca, from June-2014 to December-2018.
Outcome Measures: 1) pain: measured by Visual Analogical Scale (VAS); 2) calcification size: in millimetres (mm); 3) functional limitation of shoulder movement (% of patients), all measured at the beginning/end of treatment.
Intervention: iontophoresis with 5 % acetic acid at 4,7mA x 10 minutes and ultrasound 1W/cm2x 5 minutes over calcification.
Results: Mean age 54.6 years (n = 138). Female (73.1 %; n = 101); female to male ratio 3:1. Supraspinatus tendon (94.6 %; n = 124), subscapularis (5.4 %; n=14); left shoulder (55.1 %; n = 76), right shoulder (44.9 %; n = 62). Bilateral 1.4 % (n = 2). Right handed 96.3 % (n = 133); Personal history: smoking (19.5 %; n = 27), diabetes (7.2 %; n = 10); disease time averaged 6.08 months; acute-subacute pain (less than 3 months) 47.1; (n = 65), chronic pain (greater than 3 months) 52.9 % (n = 73). Radiological type: formative 75.3 % (n = 104); resorptive 24.7 % (n = 34). Average number of sessions: 20.5. Treatment complications 2.8 % (n = 4): intolerance/erythema/burn. Occupation: administrative 39.8 % (n = 55), manual jobs 60.2 % (n = 83).
Average initial pain 7.3 points (VAS scale), significantly decreased (p = 0.0000) post treatment to 2.7. Initial average size of calcifications 10.7 mm and significantly decreased (p = 0.0000) post treatment to 3.8 mm. Change of calcification: success/cure rate 55.7 % (n = 77), improvement rate 20.2 % (n = 28); failure rate 23.9 % (n = 33). Functional limitation decreased from 10.8 % of patients to 2.1 %.
Conclusions: CT is common in middle-aged working women. It affects supraspinatus tendon. It is associated with smoking and diabetes. Occupational risk factors include awkward positions and lighting weights. Iontophoresis with 5 % acetic acid and ultrasound is a safe, simple and inexpensive technique, capable to reduce pain and calcification, and recover functional limitation, with a recommended degree of scientific evidence (2B).





Artículo Completo

Nuevo comentario

Código de seguridad:
CAPTCHA code image
Speak the codeChange the code
 

Comentarios

No hay comentarios para este artículo.

Bibliografía

1. Chico-Álvarez E. Estudio prospectivo comparando los tres resultados obtenidos con tres tratamientos de electroterapia en las tendinopatías calcificadas del supraespinoso [Tesis Doctoral]. Universidad de Valladolid; 2015.
2. Barrera-Cárdenas JL, Campa-Rodríguez AY, García-Prendes V. Resultados del tratamiento artroscópico de las tendinitis calcificantes del manguito de los rotadores del hombro. Rev Esp Cir Ortop Traumatol. 2010;54(2):100-5. DOI: 10.1016/j.recot.2009.02.004.
3. Rioja-Toro J, Romo-Monje M, Cantalapiedra-Fuentes E, Gonzalez-Rebollo AY, Blázquez-Sanchez E. Tratamiento de la tendinitis calcificante del hombromediante iontoforesis con ácido acéticco y ultrasonidos. Rehabilitación (Madr). 2001;35(3):166-70.
4. McLaughlin HL. Lesions of the musculotendinous cuff of the shoulder: III. Observations on the pathology, course and treatment of calcific deposits. Annals of surgery. 1946;124(2):354-62.
5. García FJJ, Movilla CG, López AC. Efectividad del tratamiento mediante ondas de choque extracorpóreas en tendinitis calcificadas del hombro. Rev Esp Reumatol 2004;31(3):116-21.
6. Uhthoff HK, Dervin GF, Loehr JF. Tendinitis calcificante. The shoulder, 3rd ed. Rockwood C Jr, Matsen FA III, Wirt MA, Lippitt SB, Tomo II. Madrid: Marban; 2006. p. 1033-57.
7. Uhthoff HK. Calcifying tendinitis, an active cell-mediated calcification. Virchows Arch A Pathol Anat Histol. 1975;366(1):51-8. DOI: 10.1007/BF00438677.
8. Fernández-Cuadros ME, Pérez-Moro OS, Nieto-Blasco J, Rivera-García V, Olazar-Pardeiro A. Calcifying Tendinitis of the Shoulder: Risk Factors and Effectiveness of Physical Therapy. Occup Med Health Aff 2015;3(6):2. DOI: 10.4172/2329-6879.1000220.
9. Llorente JG, Aguirregoikoa EG, Vivar MG, Albizuri JA. Protocolo diagnóstico del hombro doloroso crónico. Medicine-Programa de Formación Médica Continuada Acreditado. 2009;10(33):2222-5.
10. Re Jr LP, Karzel RP. Management of rotator cuff calcifications.The Orthopedic clinics of North America. 1993;24(1):125-32.
11. Cacchio A, De Blasis E, Desiati P, Spacca G, Santilli V, De Paulis F. Effectiveness of treatment of calcific tendinitis of the shoulder by disodium EDTA. Arthritis Rheum. 2009;61(1):84-91. DOI: 10.1002/art.24370.
12. Ogon P, Suedkamp NP, Jaeger M, Izadpanah K, Koestler W, Maier D. Prognostic factors in nonoperative therapy for chronic symptomatic calcific tendinitis of the shoulder. Arthritis & Rheumatism. 2009;60(10):2978-84. DOI: 10.1002/art.24845.
13. Beutl O, Clementschitsch A. Iontophoresis in therapy of humeroscapular periarthritis and epicondylitis of the humerus. Wiener medizinische Wochenschrift (1946). 1952;102(2):36.
14. Perron M, Malouin F. Acetic acid lontophoresis and ultrasound for the treatment of calcifying tendinitis of the shoulder: A randomized control trial. Arch Phys Med Rehabil. 1997;78(4):379-84. DOI: 10.1016/s0003-9993(97)90229-x.
15. Leduc BE, Caya J, Tremblay S, Bureau NJ, Dumont M. Treatment of calcifying tendinitis of the shoulder by acetic acid iontophoresis: a double-blind randomized controlled trial. Arch Phys Med Rehabil. 2003;84(10):1523-7. DOI: 10.1016/s0003-9993(03)00284-3.
16. Hernández Díaz A, Méndez G, Orellana Molina A, Martín Gil JL, Berty Tejeda J. Láser de baja potencia en el tratamiento de las calcificaciones de hombro. Revista de la Sociedad Española del Dolor. 2009;16(4):230-8.
17. Tashjian RZ, Deloach J, Porucznik CA, Powell AP. Minimal clinically important differences (MCID) and patient acceptable symptomatic state (PASS) for visual analog scales (VAS) measuring pain in patients treated for rotator cuff disease. J Shoulder Elbow Surg. 2009;18(6):927-32. DOI: 10.1016/j.jse.2009.03.021.
18. Jiménez-García D, López-Dolado E, López-Zarzuela MC. Tratamiento de la tendinopatía calcificante de hombro: ¿iontoforesis con ácido acético u onda corta? Rehabilitación. 2008;42(5):239-45. DOI: 10.1016/S0048-7120(08)74598-5.
19. Vicente-Herrero MT, García LC, González AL, de la Torre MRI. El hombro y sus patologías en medicina del trabajo. SEMERGEN. 2009;35(4):197-202. DOI: 10.1016/S1138-3593(09)70931-1.
20. Ferrera CE, Ricard F. Estudio comparativo de pruebas ortopédicas para la valoración y confirmación diagnóstica de tendinopatía del músculo supraespinoso. Osteopatía científica. 2009;4(3):86-92. DOI: 10.1016/S1886-9297(09)73434-4.
21. Arrebola AP, Martínez-Rodríguez ME. Tratamiento de tendinitis y bursitis calcificadas subacromiodeltoideas con ondas de choque. Rehabilitación. 2005;39(1):2-7. DOI: 10.1016/S0048-7120(05)74297-3.
22. DePalma AF, Kruper JS. Long-term study of shoulder joints afflicted with and treatment for calcific tendonitis. Clin Orthop. 1961;20:61-72.
23. Hsu HC, Wu JJ, Jim YF, Chang CY, Lo WH, Yang DJ. Calcific tendinitis and rotator cuff tearing: a clinical and radiographic study. J Shoulder Elbow Surg. 1994;3(3):159-64. DOI: 10.1016/S1058-2746(09)80095-5.
24. Martín AJ, Yubero FJS, Carmona MZ, Cid FJN, Asensi FJC, Hidalgo SP. Tratamiento de la tendinitis calcificante de hombro mediante artroscopia. Trauma. 2012;23(1):32-8.
25. Adamietz B, Schulz-Wendtland R, Alibek S, Uder M, Sauer R, Ott O, et al. Calcifying Tendonitis of the Shoulder Joint. Strahlenther Onkol. 2010;186(1):18-23. DOI: 10.1007/s00066-009-2025-5.
26. Krueger E, Claudino Junior JL, Scheeren EM, Neves EB, Mulinari E, Nohama, P. Iontophoresis: principles and applications. Fisioterapia em Movimento. 2014;27(3):469-81. DOI: 10.1590/0103-5150.027.003.AR02.
27. Dehghan M, Mouzam M. Advances in iontophoresis for drug delivery. Int J Health Res. 2008;1(3):115-27. DOI: 10.4314/ijhr.v1i3.55353.
28. Gratieri T, Gelfuso GM, Lopez RFV. Princípios básicos e aplicação da iontoforese na penetração cutânea de fármacos. Quim Nova. 2008;31(6):1490-8. DOI: 10.1590/S0100-40422008000600040.
29. Pahade A, Jadhav VM, Kadam VJ. Sonophoresis: an overview. Int J Pharm Sci Res. 2010;3(2):24-32.
30. Le L, Kost J, Mitragotri S. Combined effect of low-frequency ultrasound and iontophoresis: applications for transdermal heparin delivery. Pharmaceutical research. 2000;17(9):1151-4.
31. Kahn J. Acetic acid iontophoresis for calcium deposits. Physical therapy. 1977;57(6):658-9. DOI: 10.1093/ptj/57.6.658.
32. Fernández-Cuadros ME, Albaladejo-Florin MA, Álava-Rabasa S, Pérez-Mor OS. Algorithm of management based on treatment goals for calcifying tendonitis of the shoulder: rigidity, pain and size of calcification. MOJ Orthop Rheumatol. 2020;12(2):26-9. DOI: 10.15406/mojor.2020.12.00511.

Tablas y Figuras

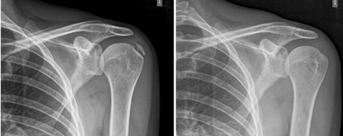
Figura 1

Figura 2

Tabla I

Figura 3

Figura 4

Figura 5

Figura 6

Artículos relacionados

Manejo del dolor en pancreatitis autoinmune en una paciente con lupus eritematoso sistémico: reporte de caso

Rev. Soc. Esp. Dolor. 2024; 31(3): 176-179 / DOI: 10.20986/resed.2025.4167/2024

Radiofrecuencia de nervio tibial posterior para fascitis plantar bilateral: reporte de caso

Rev. Soc. Esp. Dolor. 2024; 31(3): 165-168 / DOI: 10.20986/resed.2025.4117/2023

El papel de la radioterapia a dosis bajas en el manejo del dolor artrósico: revisión bibliográfica narrativa

Rev. Soc. Esp. Dolor. 2024; 31(3): 157-164 / DOI: 10.20986/resed.2025.4105/2023

Eficacia clínica de la inyección de plasma rico en plaquetas en la artrosis de rodilla

Rev. Soc. Esp. Dolor. 2024; 31(3): 141-149 / DOI: 10.20986/resed.2025.4112/2023

El dolor de los pacientes: una prioridad para cuidar

Rev. Soc. Esp. Dolor. 2024; 31(2): 75-84 / DOI: 10.20986/resed.2025.4047/2022

Factores predisponentes para el dolor crónico postquirúrgico. Revisión narrativa

Rev. Soc. Esp. Dolor. 2024; 31(1): 32-39 / DOI: 10.20986/resed.2024.4131/2024

Riesgo psicosocial en personas con dolor lumbar crónico inespecífico. Un estudio transversal analítico

Rev. Soc. Esp. Dolor. 2024; 31(1): 16-22 / DOI: 10.20986/resed.2024.3996/2022

Los exosomas son una nueva estrategia terapéutica para la mejoría del dolor lumbar. Revisión de la literatura

Rev. Soc. Esp. Dolor. 2023; 30(4): 243-249 / DOI: 10.20986/resed.2023.4075/2023

Necesidades asistenciales de la terapia de infusión intratecal en pacientes con dolor oncológico

Rev. Soc. Esp. Dolor. 2023; 30(4): 227-242 / DOI: 10.20986/resed.2024.4099/2023

Estimulación eléctrica continua para el tratamiento de la neuralgia del trigémino. Revisión sistemática

Rev. Soc. Esp. Dolor. 2023; 30(4): 217-226 / DOI: 10.20986/resed.2023.4043/2022

Problemas y reacciones adversas relacionados con dipirona en Colombia

Rev. Soc. Esp. Dolor. 2023; 30(4): 210-216 / DOI: 10.20986/resed.2023.4025/2022

Presentación y bienvenida de los nuevos Editor Jefe y Editor Adjunto de la Revista de la Sociedad Española del Dolor

Rev. Soc. Esp. Dolor. 2023; 30(4): 209-209 / DOI: 10.20986/resed.2024.4170/2024

Resúmenes de comunicaciones

Rev. Soc. Esp. Dolor. 2024; 31(13): 2-164

Editorial de la presidenta de la Sociedad Española del Dolor

Rev. Soc. Esp. Dolor. 2024; 31(13): 1-1

Editorial de la presidenta de la Sociedad Española del Dolor

Rev. Soc. Esp. Dolor. 2023; 30(14): 1-1

Resúmenes de comunicaciones

Rev. Soc. Esp. Dolor. 2023; 30(13): 3-169

Editorial de la presidenta de la Sociedad Española del Dolor

Rev. Soc. Esp. Dolor. 2023; 30(13): 1-1

Un caso de neuralgia amiotrófica tras vacunación frente a COVID-19

Rev. Soc. Esp. Dolor. 2023; 30(3): 187-190 / DOI: 10.20986/resed.2023.4021/2022

Un “road trip” al dolor neuropático inducido por la quimioterapia

Rev. Soc. Esp. Dolor. 2023; 30(3): 155-156 / DOI: 10.20986/resed.2023.4110/2023

Farmacogenética y respuesta analgésica: hacia una medicina personalizada con análisis de las diferencias por sexo

Rev. Soc. Esp. Dolor. 2023; 30(2): 115-124 / DOI: 10.20986/resed.2023.4042/2022

Bloqueo del plexo hipogástrico superior para manejo de dolor pélvico crónico no oncológico: efectividad y seguridad

Rev. Soc. Esp. Dolor. 2023; 30(2): 109-114 / DOI: 10.20986/resed.2023.4038/2022

No es solo dolor lumbar: manifestación atípica del aneurisma de aorta

Rev. Soc. Esp. Dolor. 2023; 30(1): 60-62 / DOI: 10.20986/resed.2022.3983/2022

Radiofrecuencia pulsada del nervio supraescapular en el tratamiento del hombro doloroso

Rev. Soc. Esp. Dolor. 2023; 30(1): 36-48 / DOI: 10.20986/resed.2023.4046/2022

Efectividad del bloqueo de nervios cluneales para tratamiento de dolor lumbar crónico

Rev. Soc. Esp. Dolor. 2023; 30(1): 30-35 / DOI: 10.20986/resed.2023.4023/2022

Datos de remisión y manejo de una población oncológica a una unidad de dolor. ¿Qué podemos mejorar?

Rev. Soc. Esp. Dolor. 2023; 30(1): 7-14 / DOI: 10.20986/resed.2023.4010/2022

¿Se puede prevenir la conducta suicida en los pacientes con dolor crónico?

Rev. Soc. Esp. Dolor. 2023; 30(1): 5-6 / DOI: 10.20986/resed.2023.4080/2023

Estimulación no invasiva del nervio vago en el dolor trigeminal y el sistema trigémino-vagal

Rev. Soc. Esp. Dolor. 2023; 30(1): 3-4 / DOI: 10.20986/resed.2023.4057/2023

Tratamiento de cicatrices dolorosas con parche de lidocaína al 5 %: reporte de casos clínicos

Rev. Soc. Esp. Dolor. 2022; 29(3): 187-191 / DOI: 10.20986/resed.2022.3997/2022

Eficacia de la fisioterapia sobre la ansiedad y depresión en pacientes con dolor crónico: una revisión sistemática

Rev. Soc. Esp. Dolor. 2022; 29(3): 157-168 / DOI: 10.20986/resed.2022.3994/2022

¿Podremos, a través de la piel, modificar la evolución del dolor neuropático?

Rev. Soc. Esp. Dolor. 2022; 29(3): 129-131 / DOI: 10.20986/resed.2022.4052/2022

Dolor como respuesta condicionada

Rev. Soc. Esp. Dolor. 2022; 29(3): 127-128 / DOI: 10.20986/resed.2022.4051/2022

Traducción al español de artículos de la European Journal of Pain: un paso más hacia la formación en dolor

Rev. Soc. Esp. Dolor. 2022; 29(3): 125-126 / DOI: 10.20986/resed.2022.4050/2022

Dolor y rehabilitación en síndrome de Parsonage-Tuner por SARS-CoV-2: a propósito de un caso

Rev. Soc. Esp. Dolor. 2022; 29(2): 119-123 / DOI: 10.20986/resed.2022.3940/2021

Parálisis facial periférica posterior a bloqueo de glosofaríngeo: reporte de un caso

Rev. Soc. Esp. Dolor. 2022; 29(2): 114-118 / DOI: 10.20986/resed.2022.3963/2021

La naturaleza biopsicosocial del dolor crónico de suelo pélvico: una revisión narrativa

Rev. Soc. Esp. Dolor. 2022; 29(2): 97-113 / DOI: 10.20986/resed.2022.3981/2022

Síndrome de dolor miofascial en la musculatura del suelo pélvico femenino. Revisión narrativa de la literatura

Rev. Soc. Esp. Dolor. 2022; 29(2): 88-96 / DOI: 10.20986/resed.2022.3970/2022

Efectos de la hidroterapia sobre el dolor en osteoartritis y fibromialgia: una revisión narrativa

Rev. Soc. Esp. Dolor. 2022; 29(2): 78-87 / DOI: 10.20986/resed.2022.3955/2021

Estudio transversal sobre factores relacionados con el dolor crónico y su atención, según sexo

Rev. Soc. Esp. Dolor. 2022; 29(2): 61-70 / DOI: 10.20986/resed.2022.3968/2022

Actitud y conocimiento actual del especialista español en tratamiento del dolor respecto al cannabis medicinal

Rev. Soc. Esp. Dolor. 2022; 29(13): 52-57 / DOI: 10.20986/resed.2022.4032/2022

Aspectos prácticos de la elección del producto y la titulación con cannabis medicinal para el dolor crónico

Rev. Soc. Esp. Dolor. 2022; 29(13): 43-51 / DOI: 10.20986/resed.2022.4031/2022

Cannabis medicinal en el tratamiento del dolor crónico visceral

Rev. Soc. Esp. Dolor. 2022; 29(13): 32-42 / DOI: 10.20986/resed.2022.4030/2022

¿Es útil el cannabis medicinal para el tratamiento de la fibromialgia?

Rev. Soc. Esp. Dolor. 2022; 29(13): 27-31 / DOI: 10.20986/resed.2022.4029/2022

Cannabinoides en dolor neuropático: luces y sombras

Rev. Soc. Esp. Dolor. 2022; 29(13): 20-26 / DOI: 10.20986/resed.2022.4027/2022

Cannabis medicinal y cáncer: beneficios en dolor oncológico y otros síntomas relacionados

Rev. Soc. Esp. Dolor. 2022; 29(13): 14-19 / DOI: 10.20986/resed.2022.4026/2022

Evidencia científica actualizada del tratamiento con cannabis medicinal en pacientes con dolor crónico

Rev. Soc. Esp. Dolor. 2022; 29(13): 10-13 / DOI: 10.20986/resed.2022.4024/2022

Resultados preclínicos de cannabinoides y dolor (algunos)

Rev. Soc. Esp. Dolor. 2022; 29(13): 3-9 / DOI: 10.20986/resed.2022.4033/2022

Luces y sombras del tratamiento del dolor con cannabis medicinal

Rev. Soc. Esp. Dolor. 2022; 29(13): 1-2 / DOI: 10.20986/resed.2022.4036/2022

Manejo del dolor óseo con medicación opioide en una paciente con enfermedad de Camurati-Engelmann: reporte de un caso

Rev. Soc. Esp. Dolor. 2022; 29(1): 51-55 / DOI: 10.20986/resed.2021.3930/2021

Actualizaciones en el abordaje terapéutico en el síndrome de dolor regional complejo

Rev. Soc. Esp. Dolor. 2022; 29(1): 34-50 / DOI: 10.20986/resed.2022.3978/2022

Uso de parches de capsaicina al 8 % para el tratamiento del dolor neuropático lumbar

Rev. Soc. Esp. Dolor. 2022; 29(1): 28-33 / DOI: 10.20986/resed.2022.3995/2022

Aplicación de la técnica OFA en cirugía mayor. Experiencia en un hospital secundario

Rev. Soc. Esp. Dolor. 2022; 29(1): 8-14 / DOI: 10.20986/resed.2022.3991/2022

El dolor espontáneo es muy “simpático”

Rev. Soc. Esp. Dolor. 2022; 29(1): 4-5 / DOI: 10.20986/resed.2022.3999/2022

El síndrome de dolor regional complejo: los retos y oportunidades de una enfermedad en constante evolución

Rev. Soc. Esp. Dolor. 2022; 29(1): 1-3 / DOI: 10.20986/resed.2022.3998/2022

Bloqueo retrolaminar ecoguiado como analgesia para el manejo de neuralgia por herpes zóster: a propósito de un caso

Rev. Soc. Esp. Dolor. 2021; 28(6): 350-353 / DOI: 10.20986/resed.2022.3920/2021

Recomendaciones para la prescripción segura de opioides en pacientes con historia o riesgo de abuso

Rev. Soc. Esp. Dolor. 2021; 28(6): 343-349 / DOI: 10.20986/resed.2022.3935/2021

Uso de toxina botulínica en el dolor tras amputación

Rev. Soc. Esp. Dolor. 2021; 28(6): 332-342 / DOI: 10.20986/resed.2022.3943/2021

Las inyecciones epidurales lumbares de esteroides reducen el catastrofismo en el síndrome radicular lumbosacro

Rev. Soc. Esp. Dolor. 2021; 28(6): 325-331 / DOI: 10.20986/resed.2022.3947/2021

Transfusiones al final de la vida en pacientes con diagnóstico oncológico

Rev. Soc. Esp. Dolor. 2021; 28(6): 319-324 / DOI: 10.20986/resed.2022.3956/2021

Nuevos opioides con diferente mecanismo de acción intracelular; ¿una nueva ventana terapéutica se abre ante nosotros?

Rev. Soc. Esp. Dolor. 2021; 28(5): 292-297 / DOI: 10.20986/resed.2021.3891/2021

Tríada találgica. Una nueva entidad clínica a partir de una serie de casos

Rev. Soc. Esp. Dolor. 2021; 28(5): 276-281 / DOI: 10.20986/resed.2021.3941/2021

Dolor, emociones y locus coeruleus

Rev. Soc. Esp. Dolor. 2021; 28(5): 247-249 / DOI: 10.20986/resed.2021.3965/2021

El problema no resuelto del dolor postoperatorio: análisis crítico y propuestas de mejora

Rev. Soc. Esp. Dolor. 2021; 28(4): 232-238 / DOI: 10.20986/resed.2021.3917/2021

Radiofrecuencia pulsada del ganglio de la raíz dorsal para el dolor radicular lumbosacro: una revisión narrativa

Rev. Soc. Esp. Dolor. 2021; 28(4): 219-231 / DOI: 10.20986/resed.2021.3882/2021

Recomendaciones clínicas para la rehabilitación de personas con fibromialgia. Una revisión narrativa

Rev. Soc. Esp. Dolor. 2021; 28(4): 194-210 / DOI: 10.20986/resed.2021.3932/2021

Hipo persistente tras inyección epidural de betametasona: a propósito de un caso

Rev. Soc. Esp. Dolor. 2021; 28(2): 169-171 / DOI: 10.20986/resed.2021.3914/2021

Radiofrecuencia de los nervios geniculados para el tratamiento del dolor crónico en la osteoartrosis de rodilla

Rev. Soc. Esp. Dolor. 2021; 28(3): 154-168 / DOI: 10.20986/resed.2021.3900/2021

Perfil epidemiológico del dolor secundario a neuropatía periférica moderada diabética

Rev. Soc. Esp. Dolor. 2021; 28(2): 129-136 / DOI: 10.20986/resed.2021.3826/2020

¿Disminuye la eficacia o la seguridad de las vacunas frente a la COVID-19 en los pacientes con dolor crónico?

Rev. Soc. Esp. Dolor. 2021; 28(2): 115-116 / DOI: 10.20986/resed.2021.3933/2021

Dolor neuropático: un reto constante

Rev. Soc. Esp. Dolor. 2021; 28(2): 111-114 / DOI: 10.20986/resed.2021.3938/2021

Toxina botulínica en el tratamiento del síndrome de dolor miofascial

Rev. Soc. Esp. Dolor. 2021; 28(2): 100-110 / DOI: 10.20986/resed.2021.3902/2021

Evolución de la lumbalgia en el paciente oncológico tratado con manejo intervencionista del dolor

Rev. Soc. Esp. Dolor. 2021; 28(2): 76-81 / DOI: 10.20986/resed.2021.3901/2021

Efectividad analgésica del tapentadol en el dolor neuropático secundario al síndrome postlaminectomía

Rev. Soc. Esp. Dolor. 2021; 28(2): 71-75 / DOI: 10.20986/resed.2021.3822/2020

Utilidad o necesidad de la ketamina en el dolor postoperatorio

Rev. Soc. Esp. Dolor. 2021; 28(2): 63-66 / DOI: 10.20986/resed.2021.3921/2021

Parsonage-Turner posterior a vacunación antirrábica por mordedura de murciélago: comunicación de un caso

Rev. Soc. Esp. Dolor. 2021; 28(1): 57-61 / DOI: 10.20986/resed.2021.3832/2020

Bloqueo del plano del erector espinal bilateral para cirugía de pectus excavatum en paciente pediátrico

Rev. Soc. Esp. Dolor. 2021; 28(1): 53-56 / DOI: 10.20986/resed.2021.3846/2020

Mediadores inflamatorios: su relación con el dolor crónico y problemas asociados. Revisión bibliográfica

Rev. Soc. Esp. Dolor. 2021; 28(1): 37-46 / DOI: 10.20986/resed.2021.3841/2020

Manejo y percepción de la adherencia al tratamiento del dolor irruptivo oncológico por oncólogos españoles

Rev. Soc. Esp. Dolor. 2021; 28(1): 19-26 / DOI: 10.20986/resed.2021.3824/2020

Dolor asociado al proceso oncológico: viejos conceptos y nuevos horizontes

Rev. Soc. Esp. Dolor. 2021; 28(1): 1-4 / DOI: 10.20986/resed.2021.3905/2021

Tratamiento intervencionista del dolor por artrosis

Rev. Soc. Esp. Dolor. 2021; 28(13): 85-90 / DOI: 10.20986/resed.2021.3853/2020

Toxina botulínica y ozono intrarticular en la artrosis

Rev. Soc. Esp. Dolor. 2021; 28(13): 73-79 / DOI: 10.20986/resed.2021.3857/2020

Infiltraciones de esteroides y ácido hialurónico en la artrosis

Rev. Soc. Esp. Dolor. 2021; 28(13): 64-72 / DOI: 10.20986/resed.2021.3854/2020

Nuevas dianas terapéuticas en dolor por artrosis

Rev. Soc. Esp. Dolor. 2021; 28(13): 57-63 / DOI: 10.20986/resed.2021.3863/2020

Opioides en la artrosis

Rev. Soc. Esp. Dolor. 2021; 28(13): 49-56 / DOI: 10.20986/resed.2021.3855/2020

Sensibilización central en la artrosis

Rev. Soc. Esp. Dolor. 2021; 28(13): 31-37 / DOI: 10.20986/resed.2021.3876/2020

Modelos experimentales de evaluación del dolor en artrosis

Rev. Soc. Esp. Dolor. 2021; 28(13): 18-30 / DOI: 10.20986/resed.2021.3872/2020

Mecanismos etiopatogénicos de la artrosis

Rev. Soc. Esp. Dolor. 2021; 28(13): 11-17 / DOI: 10.20986/resed.2021.3851/2020

Epidemiología, repercusión clínica y objetivos terapéuticos en la artrosis

Rev. Soc. Esp. Dolor. 2021; 28(13): 4-10 / DOI: 10.20986/resed.2021.3874/2020

Artrosis y dolor: la complejidad e impacto de un síntoma

Rev. Soc. Esp. Dolor. 2021; 28(13): 1-3 / DOI: 10.20986/resed.2021.3886/2021

Adaptación de la unidad de dolor crónico del Complejo Hospitalario de Vigo al estado de alarma por la pandemia SARS-CoV-2

Rev. Soc. Esp. Dolor. 2020; 27(6): 392-393 / DOI: 10.20986/resed.2020.3827/2020

Efectividad y recomendación de la terapia manual sobre la artrosis de cadera. Revisión panorámica

Rev. Soc. Esp. Dolor. 2020; 27(6): 375-391 / DOI: 10.20986/resed.2021.3835/2020

Clínica de dolor transicional

Rev. Soc. Esp. Dolor. 2020; 27(6): 369-374 / DOI: 10.20986/resed.2020.3840/2020

Estudio del dolor en los tratamientos de rehabilitación

Rev. Soc. Esp. Dolor. 2020; 27(6): 361-368 / DOI: 10.20986/resed.2020.3809/2020

Impacto de la intervención psicológica grupal en los pacientes tributarios de radiofrecuencia convencional

Rev. Soc. Esp. Dolor. 2020; 27(6): 349-360 / DOI: 10.20986/resed.2020.3830/2020

Medicina física, rehabilitación y dolor

Rev. Soc. Esp. Dolor. 2020; 27(6): 333-335 / DOI: 10.20986/resed.2021.3888/2021

Seguimiento fisioterápico a lo largo de 14 meses a niño con síndrome de Sandifer

Rev. Soc. Esp. Dolor. 2020; 27(5): 329-331 / DOI: 10.20986/resed.2020.3816/2020

Escuela de pacientes con dolor crónico no oncológico y tratamiento opioide

Rev. Soc. Esp. Dolor. 2020; 27(5): 324-328 / DOI: 10.20986/resed.2020.3804/2020

Uso inadecuado de opioides en pacientes con dolor oncológico: revisión sistemática integradora de la literatura

Rev. Soc. Esp. Dolor. 2020; 27(5): 306-315 / DOI: 10.20986/resed.2020.3801/2020

Fallo terapéutico del bloqueo de ramo medial lumbar y su relación con la obesidad. Estudio de cohorte retrospectivo

Rev. Soc. Esp. Dolor. 2020; 27(5): 298-305 / DOI: 10.20986/resed.2020.3829/2020

Identificación de signos y síntomas para el diagnóstico del dolor discal: revisión de mapeo

Rev. Soc. Esp. Dolor. 2020; 27(5): 292-297 / DOI: 10.20986/resed.2020.3803/2020

Eficacia de las perfusiones de lidocaína en la fibromialgia

Rev. Soc. Esp. Dolor. 2020; 27(5): 287-291 / DOI: 10.20986/resed.2020.3796/2020

Regreso al futuro en el tratamiento del dolor agudo posoperatorio

Rev. Soc. Esp. Dolor. 2020; 27(5): 285-286 / DOI: 10.20986/resed.2020.3850/2020

Estimulación temporal de nervio periférico en el dolor oncológico: opciones de oportunidad

Rev. Soc. Esp. Dolor. 2020; 27(5): 283-284 / DOI: 10.20986/resed.2020.3849/2020

A vueltas con el dolor discogénico

Rev. Soc. Esp. Dolor. 2020; 27(5): 281-282 / DOI: 10.20986/resed.2020.3848/2020

Dolor: “Cajón de sastre”

Rev. Soc. Esp. Dolor. 2020; 27(4): 278-280 / DOI: 10.20986/resed.2016.3507/2016

Fisiopatología clínica en pacientes con enfermedad de células falciformes: la transición del dolor agudo al crónico

Rev. Soc. Esp. Dolor. 2020; 27(4): 257-268 / DOI: 10.20986/resed.2020.3814/2020

Determinantes de género en el abordaje del dolor crónico

Rev. Soc. Esp. Dolor. 2020; 27(4): 252-256 / DOI: 10.20986/resed.2020.3802/2020

Incidencia del síndrome posmastectomía. Análisis retrospectivo

Rev. Soc. Esp. Dolor. 2020; 27(4): 246-251 / DOI: 10.20986/resed.2020.3797/2020

Caracterización sociodemográfica y clínica de pacientes con dolor crónico de espalda, Cienfuegos 2019

Rev. Soc. Esp. Dolor. 2020; 27(4): 239-245 / DOI: 10.20986/resed.2020.3798/2020

Neuroestimulación medular. Análisis de las indicaciones diagnósticas

Rev. Soc. Esp. Dolor. 2020; 27(4): 234-238 / DOI: 10.20986/resed.2020.3777/2019

Versión actualizada de la definición de dolor de la IASP: un paso adelante o un paso atrás

Rev. Soc. Esp. Dolor. 2020; 27(4): 232-233 / DOI: 10.20986/resed.2020.3839/2020

Metamizol como inmunomodulador en el dolor neuropático

Rev. Soc. Esp. Dolor. 2020; 27(4): 230-231 / DOI: 10.20986/resed.2020.3838/2020

La pandemia que nos sorprendió y que ha alterado la atención de los pacientes con dolor

Rev. Soc. Esp. Dolor. 2020; 27(3): 148-149 / DOI: 10.20986/resed.2020.3820/2020

Las Unidades del Dolor en la era COVID-19

Rev. Soc. Esp. Dolor. 2020; 27(3): 143-145 / DOI: 10.20986/resed.2020.3823/2020

Bloqueo del plano del erector espinal como manejo de dolor neuropático en paciente pediátrico postquemado

Rev. Soc. Esp. Dolor. 2020; 27(2): 127-132 / DOI: 10.20986/resed.2020.3776/2019

Manejo del dolor irruptivo asociado a la cura de úlceras cutáneas

Rev. Soc. Esp. Dolor. 2020; 27(2): 113-126 / DOI: 10.20986/resed.2020.3755/2019

Problemas éticos en el manejo del dolor. Estudio cualitativo mediante entrevista de reflexión abierta

Rev. Soc. Esp. Dolor. 2020; 27(2): 89-96 / DOI: 10.20986/resed.2020.3729/2019

La conducta altruista: ¿una estrategia conductual para disminuir la percepción de dolor?

Rev. Soc. Esp. Dolor. 2020; 27(2): 76-77 / DOI: 10.20986/resed.2020.3806/2020

Coronavirus COVID-19 y dolor crónico: incertidumbres

Rev. Soc. Esp. Dolor. 2020; 27(2): 72-73 / DOI: 10.20986/resed.2020.3808/2020

El paradigma del ozono en el tratamiento del dolor

Rev. Soc. Esp. Dolor. 2020; 27(2): 69-71 / DOI: 10.20986/resed.2020.3807/2020

Radiofrecuencia convencional de nervios geniculados para en tratamiento de la artrosis de rodilla

Rev. Soc. Esp. Dolor. 2020; 27(1): 59-60 / DOI: 10.20986/resed.2016.3515/2016

Revisión del impacto del tratamiento con acupuntura en el manejo del dolor lumbar inespecífico

Rev. Soc. Esp. Dolor. 2020; 27(1): 53-58 / DOI: 10.20986/resed.2020.3762/2019

Eficacia de la asociación de lacosamida en neuralgia del trigémino

Rev. Soc. Esp. Dolor. 2020; 27(1): 50-52 / DOI: 10.20986/resed.2019.3738/2019

Eficacia de pregabalina, gabapentina y duloxetina en el dolor neuropático verificado por el análisis de la curva-p

Rev. Soc. Esp. Dolor. 2020; 27(1): 16-23 / DOI: 10.20986/resed.2020.3727/2019

Novedades en el tratamiento del dolor de espalda: ¿son el futuro las terapias celulares?

Rev. Soc. Esp. Dolor. 2020; 27(1): 3-4 / DOI: 10.20986/resed.2020.3792/2020

Consideraciones para el uso de la práctica basada en evidencia en el manejo de personas con dolor

Rev. Soc. Esp. Dolor. 2019; 26(6): 374-375 / DOI: 10.20986/resed.2019.3712/2018

Baclofeno intratecal para tratamiento de dolor y espasticidad en síndrome de persona rígida: reporte de un caso

Rev. Soc. Esp. Dolor. 2019; 26(6): 368-371 / DOI: 10.20986/resed.2019.3745/2019

Factores clave que afectan a la biodisponibilidad de los opioides sobre la médula espinal en el manejo del dolor agudo

Rev. Soc. Esp. Dolor. 2019; 26(6): 359-367 / DOI: 10.20986/resed.2019.3737/2019

Correlación entre el dolor y los índices radiológicos en pacientes mayores de 60 años con fractura de radio distal

Rev. Soc. Esp. Dolor. 2019; 26(6): 324-330 / DOI: 10.20986/resed.2019.3720/2018

Las conexinas en el dolor crónico. ¿Una nueva diana farmacológica?

Rev. Soc. Esp. Dolor. 2019; 26(6): 322-323 / DOI: 10.20986/resed.2019.3785/2019

Bloqueo del axis celiaco en dolor por cáncer: medicina de oportunidad

Rev. Soc. Esp. Dolor. 2019; 26(6): 317-319 / DOI: 10.20986/resed.2019.3787/2019

P-221 DOLOR NEUROPÁTICO A NIVEL V3 IZQUIERDO

Rev Soc Esp Dolor 2019; 26 (Supl. 1): 01-124

P-197 RESILIENCIA, CALIDAD DE VIDA Y DISCAPACIDAD EN DOLOR CRÓNICO

Rev Soc Esp Dolor 2019; 26 (Supl. 1): 01-124

P-176 ANALGESIA INTRATECAL EN EL DOLOR ONCOLÓGICO: DOLOR INCOERCIBLE

Rev Soc Esp Dolor 2019; 26 (Supl. 1): 01-124

P-162 TENS TIBIAL POSTERIOR EN EL TRATAMIENTO DEL DOLOR PÉLVICO

Rev Soc Esp Dolor 2019; 26 (Supl. 1): 01-124

P-130 SÍNDROME DE DOLOR REGIONAL COMPLEJO PLURIFOCAL RECIDIVANTE

Rev Soc Esp Dolor 2019; 26 (Supl. 1): 01-124

P-025 PREGABALINA EN EL DOLOR CRÓNICO EN REUMATOLOGÍA

Rev Soc Esp Dolor 2019; 26 (Supl. 1): 01-124

Pioderma gangrenoso, complicación infrecuente en la neuroestimulación medular

Rev. Soc. Esp. Dolor. 2019; 26(5): 309-312 / DOI: 10.20986/resed.2019.3725/2019

Nuevas estrategias en el control del dolor postoperatorio en la cirugía de amígdalas. ¿Es oro todo lo que reluce?

Rev. Soc. Esp. Dolor. 2019; 26(5): 270-275 / DOI: 10.20986/resed.2019.3742/2019

El uso de las nuevas tecnologías en los pacientes con dolor crónico. Una realidad que no se puede negar

Rev. Soc. Esp. Dolor. 2019; 26(5): 259-260 / DOI: 10.20986/resed.2019.3766/2019

Nuevas directrices del ACP para el dolor lumbar no radicular

Rev. Soc. Esp. Dolor. 2019; 26(4): 254-254 / DOI: 10.20986/resed.2017.3590/2017

Amputación por úlcera de pie diabético con dolor incoercible, evitada con sevoflurano tópico

Rev. Soc. Esp. Dolor. 2019; 26(4): 253-253 / DOI: 10.20986/resed.2018.3683/2018

Antagonismo NMDA en el tratamiento de la cefalea en racimos

Rev. Soc. Esp. Dolor. 2019; 26(4): 247-250 / DOI: 10.20986/resed.2019.3710/2018

Dolor orofacial en la clínica odontológica

Rev. Soc. Esp. Dolor. 2019; 26(4): 233-242 / DOI: 10.20986/resed.2019.3724/2019

Caracterización del dolor en las pacientes con cáncer de mama que sisten a la Unidad de Oncología del Hospital San José

Rev. Soc. Esp. Dolor. 2019; 26(4): 221-226 / DOI: 10.20986/resed.2019.3692/2018

Análisis comparativo de las constantes vitales en pacientes agudos hospitalizados en función de la intensidad de dolor

Rev. Soc. Esp. Dolor. 2019; 26(4): 215-220 / DOI: 10.20986/resed.2019.3707/2018

La nueva clasificación internacional de enfermedades (CIE-11) y el dolor crónico. Implicaciones prácticas

Rev. Soc. Esp. Dolor. 2019; 26(4): 209-210 / DOI: 10.20986/resed.2019.3752/2019

Tratamiento del dolor lumbar mediante neuroestimulación

Rev Soc Esp Dolor 2012; 19(5): 273-274

Trastornos del sueño en el paciente con dolor crónico

Rev Soc Esp Dolor 2012; 19(6): 332-334

Fundamentos actuales de la terapia acupuntural

Rev Soc Esp Dolor 2012; 19(6): 325-331

Tratamiento del dolor irruptivo

Rev Soc Esp Dolor 2012; 19(6): 318-324

Buprenorfina en el dolor postoperatorio

Rev Soc Esp Dolor 2012; 19(6): 279-280

Terapia manual, un arma de doble filo en el manejo del dolor crónico

Rev. Soc. Esp. Dolor. 2019; 26(3): 206-207 / DOI: 10.20986/resed.2018.3675/2018

La disminución de opioides puede mejorar los resultados de los pacientes con dolor crónico

Rev. Soc. Esp. Dolor. 2019; 26(3): 204-205 / DOI: 10.20986/resed.2017.3615/2017

Dolor corporal, ética y empatía: ¿utopía en la época de lo mediato?

Rev. Soc. Esp. Dolor. 2019; 26(3): 203-203 / DOI: 10.20986/resed.2017.3599/2017

Bloqueo del plano del erector espinal como analgesia en fracturas costales múltiples unilaterales

Rev. Soc. Esp. Dolor. 2019; 26(3): 199-202 / DOI: 10.20986/resed.2019.3687/2018

Dolor en la enfermedad de Parkinson. Una mirada a un aspecto poco conocido de esta patología

Rev. Soc. Esp. Dolor. 2019; 26(3): 184-198 / DOI: 10.20986/resed.2019.3733/2019

Optimización de la gestión del dolor postoperatorio basado en una nueva herramienta tecnológica. Mapa del dolor

Rev. Soc. Esp. Dolor. 2019; 26(3): 154-165 / DOI: 10.20986/resed.2019.3696/2018

Recientes avances en el uso de la luz en la investigación en dolor. Implicaciones en fisiología y farmacología

Rev. Soc. Esp. Dolor. 2019; 26(3): 146-147 / DOI: 10.20986/resed.2019.3743/2019

Evidencia y clarividencia de los bloqueos ecoguiados para el hombro doloroso

Rev. Soc. Esp. Dolor. 2019; 26(3): 144-145 / DOI: 10.20986/resed.2019.3741/2019

El alivio del dolor ¿es un derecho humano?

Rev Soc Esp Dolor 2012; 19(3): 147-156

Bloqueo de ganglio estrellado

Rev Soc Esp Dolor 2012; 19(2): 101-107

Curso de Actualización en Dolor de la SED 2013

Rev Soc Esp Dolor 2013; 20(6): 332-333

Ozonoterapia en medicina del dolor. Revisión

Rev Soc Esp Dolor 2013; 20(6): 291-300

Fentanilo en el dolor irruptivo oncológico

Rev Soc Esp Dolor 2012; 20(3): 137-141

Potencial terapéutico de los cannabinoides

Rev Soc Esp Dolor 2012; 20(3): 132-136

Fiabilidad técnica del bloqueo caudal guiado con ecografía

Rev Soc Esp Dolor 2014; 21(5): 323-327

Hiperalgesia asociada al tratamiento con opioides

Rev Soc Esp Dolor 2014; 21(5): 259-269

Manejo del dolor en la fibrodisplasia osificante progresiva

Rev Soc Esp Dolor 2014; 21(5): 254-258

Tú y yo, y mi dolor: cuestión de personalidades

Rev Soc Esp Dolor 2014; 21(5): 233-234

Dolor sacroiliaco

Rev Soc Esp Dolor 2014; 21(3): 121-122

El dolor orofacial

Rev Soc Esp Dolor 2014; 21(2): 69

Dolor abdominal por extrusión discal dorsal

Rev Soc Esp Dolor 2014; 21(1): 65-67

Curso de Actualización en Dolor de la SED 2014

Rev Soc Esp Dolor 2014; 21(1): 65-67

Valoración del dolor en el anciano

Rev Soc Esp Dolor 2015; 22(6): 271-274

El alivio del dolor: un derecho humano universal

Rev Soc Esp Dolor 2015; 22(5): 224-230

Crisis drepanocítica y tratamiento del dolor

Rev Soc Esp Dolor 2015; 22(4): 165-167

La gestión en la unidad del dolor

Rev Soc Esp Dolor 2015; 22(4): 143-144

Neuromodulación eléctrica y dolor raquídeo

Rev Soc Esp Dolor 2015; 22(3): 116-125

Síndrome confusional: échale la culpa a los opioides...

Rev Soc Esp Dolor 2015; 22(2): 62-68

Top 10 cuestiones bioéticas en dolor

Rev. Soc. Esp. Dolor. 2019; 26(2): 130-130 / DOI: 10.20986/resed.2018.3694/2018

Tratamiento con radiofrecuencia pulsada en neuralgia del nervio pudendo: a propósito de un caso

Rev. Soc. Esp. Dolor. 2019; 26(2): 128-129 / DOI: 10.20986/resed.2016.3517/2016

¿La pregabalina es un fármaco seguro? Insuficiencia cardiaca asociada a pregabalina

Rev. Soc. Esp. Dolor. 2019; 26(2): 124-125 / DOI: 10.20986/resed.2017.3537/2016

Bloqueo motor tras infiltración epidural caudal: a propósito de un caso

Rev. Soc. Esp. Dolor. 2019; 26(2): 120-123 / DOI: 10.20986/resed.2018.3669/2018

Síndrome de dolor miofascial como causa de dolor agudo postoperatorio en la cirugía de cadera

Rev. Soc. Esp. Dolor. 2019; 26(2): 117-119 / DOI: 10.20986/resed.2019.3655/2018

Deshabituación rápida de opioides

Rev. Soc. Esp. Dolor. 2019; 26(2): 95-102 / DOI: 10.20986/resed.2019.3681/2018

Punción seca y cambios en la actividad muscular en sujetos con puntos gatillo miofasciales: serie de casos

Rev. Soc. Esp. Dolor. 2019; 26(2): 89-94 / DOI: 10.20986/resed.2018.3677/2018

Eficacia del cruce de manos para producir analgesia en pacientes con dolor crónico de la extremidad superior

Rev. Soc. Esp. Dolor. 2019; 26(2): 81-88 / DOI: 10.20986/resed.2019.3674/2018

Esteroides epidurales en el dolor radicular lumbar: particulados vs. no particulados. Esta es la cuestión

Rev. Soc. Esp. Dolor. 2019; 26(2): 70-71 / DOI: 10.20986/resed.2019.3735/2019

Opioides y adicción en dolor crónico: ¿es un problema?, ¿cómo abordarlo?

Rev. Soc. Esp. Dolor. 2019; 26(2): 65-67 / DOI: 10.20986/resed.2019.3736/2019

Nueva indicación del parche de capsaicina 8 %: neuropatía diabética periférica dolorosa

Rev. Soc. Esp. Dolor. 2019; 26(1): 60-61 / DOI: 10.20986/resed.2017.3556/2016

Oxitocina y dolor crónico en humanos

Rev. Soc. Esp. Dolor. 2019; 26(1): 52-58 / DOI: 10.20986/resed.2018.3664/2018

Influencia de los factores psicosociales en la experiencia de dolor musculoesquelético: una revisión de la literatura

Rev. Soc. Esp. Dolor. 2019; 26(1): 44-51 / DOI: 10.20986/resed.2018.3679/2018

Proyecto ADAPTA: adecuación del tratamiento en dolor irruptivo oncológico

Rev. Soc. Esp. Dolor. 2019; 26(1): 31-43 / DOI: 10.20986/resed.2018.3661/2018

Factores psicosociales en el dolor crónico oncológico: un estudio Delphi

Rev. Soc. Esp. Dolor. 2019; 26(1): 21-30 / DOI: 10.20986/resed.2018.3658/2018

Micro ARN: ¿una nueva vía para el manejo del dolor neuropático?

Rev. Soc. Esp. Dolor. 2019; 26(1): 2-3 / DOI: 10.20986/resed.2019.3730/2019

Nueva imagen y organización editorial de la Revista de la Sociedad Española del Dolor

Rev. Soc. Esp. Dolor. 2019; 26(1): 1-1 / DOI: 10.20986/resed.2019.3728/2019

Plan Universitario de Formación de la Sociedad Española del Dolor

Rev. Soc. Esp. Dolor. 2018; 25(6): 368-368

ACNES como causa de dolor abdominal crónico

Rev. Soc. Esp. Dolor. 2018; 25(6): 360-361 / DOI: 10.20986/resed.2017.3530/2016

Disfonía como efecto secundario dosis dependiente del tratamiento con duloxetina

Rev. Soc. Esp. Dolor. 2018; 25(6): 359-359 / DOI: 10.20986/resed.2017.3528/2016

Recomendaciones basadas en la evidencia para el manejo del dolor neuropático (revisión de la literatura)

Rev. Soc. Esp. Dolor. 2018; 25(6): 349-358 / DOI: 10.20986/resed.2018.3673/2018

Cambios en la presión intraocular en pacientes con neuralgia trigeminal sometidos a radiofrecuencia del ganglio de Gasser

Rev. Soc. Esp. Dolor. 2018; 25(6): 342-348 / DOI: 10.20986/resed.2018.3657/2018

Estudio Opinaudit: usos clínicos en dolor irruptivo, ¿se sigue la evidencia científica?

Rev. Soc. Esp. Dolor. 2018; 25(6): 325-334 / DOI: 10.20986/resed.2018.3634/2017

Estudio de prescripción de opioides mayores para el control del dolor en pacientes hospitalizados

Rev. Soc. Esp. Dolor. 2018; 25(6): 318-324 / DOI: 10.20986/resed.2018.3629/2017

Proctalgia y atrapamiento del nervio pudendo: una asociación por descubrir

Rev. Soc. Esp. Dolor. 2018; 25(6): 311-317 / DOI: 10.20986/resed.2018.3623/2017

¿Tratamos bien el dolor irruptivo?

Rev. Soc. Esp. Dolor. 2018; 25(6): 309-310 / DOI: 10.20986/resed.2018.3716/2018

Consenso para la definición del síndrome de dolor post-mastectomía

Rev. Soc. Esp. Dolor. 2018; 25(5): 305-306 / DOI: 10.20986/resed.2016.3510/2016

Bloqueo más radiofrecuencia térmica de los nervios esplácnicos. A propósito de un caso

Rev. Soc. Esp. Dolor. 2018; 25(5): 303-304 / DOI: 10.20986/resed.2016.3509/2016

Implicaciones de la bioética en el tratamiento del dolor crónico: el cambio de paradigmas

Rev. Soc. Esp. Dolor. 2018; 25(5): 291-300 / DOI: 10.20986/resed.2018.3666/2018

Coadyuvantes farmacológicos con efecto ahorrador de opioides en el periodo perioperatorio

Rev. Soc. Esp. Dolor. 2018; 25(5): 278-290 / DOI: 10.20986/resed.2018.3663/2018

Experiencia en dos hospitales sobre la observación de respuestas de dolor en niños prematuros internados

Rev. Soc. Esp. Dolor. 2018; 25(5): 271-277 / DOI: 10.20986/resed.2018.3633/2017

Plasma rico en plaquetas en el tratamiento del dolor neuropático periférico. Estudio preliminar

Rev. Soc. Esp. Dolor. 2018; 25(5): 263-270 / DOI: 10.20986/resed.2017.3625/2017

El dolor en ancianos y en pacientes con déficits cognitivos. Un estudio DELPHI

Rev. Soc. Esp. Dolor. 2018; 25(5): 251-262 / DOI: 10.20986/resed.2017.3621/2017

Bienvenida del nuevo Editor jefe de la Revista de la Sociedad Española del Dolor

Rev. Soc. Esp. Dolor. 2018; 25(5): 249-250 / DOI: 10.20986/resed.2018.3708/2018

¿Influye la duración del dolor neuropático en la eficacia de pregabalina?

Rev Soc Esp Dolor 2018: 25(4): 246 / DOI: 10.20986/resed.2016.3504/2016

Nuevas aportaciones sobre la efectividad del parche de capsaicina 8 % en la práctica clínica: estudio ASCEND

Rev Soc Esp Dolor 2018: 25(4): 247 / DOI: 10.20986/resed.2017.3591/2017

Efectividad del parche de capsaicina 8 % en el dolor neuropático

Rev Soc Esp Dolor 2018; 25(4): 242-243 / DOI: 10.20986/resed.2017.3536/2016

Dolor y simulación: reto diagnóstico y terapéutico

Rev Soc Esp Dolor 2018; 25(4): 237-241 / DOI: 10.20986/resed.2017.3522/2016

Valoración del dolor. Revisión comparativa de escalas y cuestionarios

Rev Soc Esp Dolor 2018; 25(4): 228-236 / DOI: 10.20986/resed.2018.3632/2017

Estudio CRONO: prevalencia del dolor irruptivo en pacientes con dolor crónico no oncológico en Andalucía, España

Rev Soc Esp Dolor 2018; 25(4): 214-221 / DOI: 10.20986/resed.2017.3626/2017

Parche de capsaicina: un clásico frente al dolor neuropático

Rev Soc Esp Dolor 2018; 25(4): 195-196 / DOI: 10.20986/resed.2018.3697/2018

Prescripción dinámica de los analgésicos (PDA)

Rev Soc Esp Dolor 2018: 25(3): 195-196 / DOI: 10.20986/resed.2018.3684/2018

¿Comprender el dolor del otro?: una aproximación filosófica a la experiencia del dolor crónico

Rev Soc Esp Dolor 2018; 25(3): 178-185 / DOI: 10.20986/resed.2018.3665/2018

Análisis bibliométrico de la Revista de la Sociedad Española del Dolor: 2007-2016

Rev Soc Esp Dolor 2018; 25(3):170-177 / DOI: 10.20986/resed.2018.3627/2017

La epigenética en el tratamiento del dolor

Rev Soc Esp Dolor 2018; 25(3): 166-169 / DOI: 10.20986/resed.2017.3620/2017

Manejo de síndrome de dolor regional complejo: a propósito de un caso

Rev Soc Esp Dolor 2018; 25(3): 163-165 / DOI: 10.20986/resed.2018.3636/2017

La voz de los enfermos con dolor crónico

Rev Soc Esp Dolor 2018; 25(3): 137-140 / DOI: 10.20986/resed.2018.3691/2018

Ensayos clínicos sobre el bloqueo epidural para tratamiento PAG

Rev Soc Esp Dolor 2018; 25(2): 121-122 / DOI: 10.20986/resed.2017.3534/2016

Painometer v2®: una aplicación móvil certificada para monitorizar a los pacientes con dolor

Rev Soc Esp Dolor 2018; 25(2):112-120 / DOI: 10.20986/resed.2017.3555/2016

Eficacia analgésica del sevoflurano tópico en heridas

Rev Soc Esp Dolor 2018; 25(2): 106-111 / DOI: 10.20986/resed.2017.3617/2017

Venlafaxina en el tratamiento del dolor neuropático

Rev Soc Esp Dolor 2018; 25(2): 94-105 / DOI: 10.20986/resed.2017.3592/2017

Valoración del dolor en el ámbito de las emergencias extrahospitalarias en Cataluña

Rev Soc Esp Dolor 2018; 25(2): 66-69 / DOI: 10.20986/resed.2017.3585/2017

El tratamiento del dolor postoperatorio. ¿Un problema sin resolver?

Rev Soc Esp Dolor 2018; 25(2): 63-65 / DOI: 10.20986/resed.2018.3668/2018

Personalidad y fibromialgia

Rev Soc Esp Dolor 2018; 25(Supl. 1): 64-73 / DOI: 10.20986/resed.2017.3607/2016

Psychological approaches to chronic pain management: where are we coming from and where might we go?

Rev Soc Esp Dolor 2018; 25(Supl. 1): 57-63 / DOI: 10.20986/resed.2017.3606/2016

Psicología y dolor crónico infantil

Rev Soc Esp Dolor 2018; 25(Supl 1): 46-56 / DOI: 10.20986/resed.2017.3605/2016

Neuroimagen de la fibromialgia: una enfermedad del cerebro

Rev Soc Esp Dolor 2018; 25(Supl. 1): 36-45 / DOI: 10.20986/resed.2017.3604/2016

Relevancia de los aspectos psicológicos en el dolor crónico

Rev Soc Esp Dolor 2018; 25(Supl. 1): 1-3 / DOI: 10.20986/resed.2017.3612/2017

¿Sirve el taping patelar en pacientes con dolor crónico de rodilla?

Rev Soc Esp Dolor 2018; 25(1): 58-59 / DOI: 10.20986/resed.2017.3557/2016

Programa de educación en neurociencias y dolor para pacientes con dolor neuropático crónico: estudio piloto

Rev Soc Esp Dolor 2018; 25(1): 51-55 / DOI: 10.20986/resed.2017.3533/2016

Usos potenciales de la mirtazapina en cuidados paliativos más allá de su efecto antidepresivo

Rev Soc Esp Dolor 2018; 25(1): 37-44 / DOI: 10.20986/resed.2017.3575/2017

Epidural analgesia in laparoscopic radical prostatectomy

Rev Soc Esp Dolor 2018; 25(1): 13-20 / DOI: 10.20986/resed.2017.3583/2017

Analgesia epidural postoperatoria: ¿cuál es su papel en la práctica anestésica actual?

Rev Soc Esp Dolor 2018; 25(1): 1-3 / DOI: 10.20986/resed.2018.3654/2018

Manejo del dolor neuropático después de una lesión de la médula espinal: recomendaciones para el tratamiento

Rev Soc Esp Dolor 2017; 24(6): 359-360 / DOI: 10/20986/resed.2016.3497/2016

Radiofrecuencia pulsada para el tratamiento de la neuralgia occipital: análisis de predictores y resultados

Rev Soc Esp Dolor 2017; 24(6): 356-358 / DOI: 10.20986/resed.2016.3519/2016

Terapias intervencionistas para manejo de dolor en osteoartrosis de rodilla sintomática

Rev Soc Esp Dolor 2017; 24(6): 324-332 / DOI: 10.20986/resed.2016.3508/2016

Tratamiento con opioides en dolor crónico no oncológico: recomendaciones para una prescripción segura

Rev Soc Esp Dolor 2017; 24(6): 313-323 / DOI: 10.20986/resed.2017.3550/2016

Fentanilo de acción rápida como coadyuvante para el control de efectos adversos por inmunoterapia. Caso clínico

Rev Soc Esp Dolor 2017; 24(6): 309-312 / DOI: 10.20986/resed.2017.3589/2017

Nueva técnica de radiofrecuencia pulsada en el tratamiento del dolor pélvico crónico. Presentación de dos casos

Rev Soc Esp Dolor 2017; 24(6): 304-308 / DOI: 10.20986/resed.2017.3587/2017

Guía del Centro de Control y Prevención de Enfermedades (CDC) para la prescripción de opioides en dolor crónico

Rev Soc Esp Dolor 2017; 24(5): 281-282 / DOI: 10/20986/resed.2016.3456/2016

Bloqueo del plano transverso del abdomen ecoguiado: una técnica anestésico-analgésica en cirugía abdominal

Rev Soc Esp Dolor 2017; 24(5): 279-280 / DOI: 10/20986/resed.2016.3491/2016

¿Es efectivo el método pilates en el dolor lumbar?

Rev Soc Esp Dolor 2017; 24(5): 278 / DOI: 10/20986/resed.2016.3490/2016

Tratamiento de la coccigodinia mediante infiltración del ganglio de Walter

Rev Soc Esp Dolor 2017; 24(5):276-277 / DOI: 10.20986/resed.2016.3513/2016

¿Sirven los opioides de liberación inmediata para el dolor del miembro fantasma? Caso clínico

Rev Soc Esp Dolor 2017; 24(5): 269-272 / DOI: 10.20986/resed.2017.3579/2017

Avances en las técnicas intervencionistas para incrementar la seguridad

Rev Soc Esp Dolor 2017; 24(5): 264-268 / DOI: 10.20986/resed.2017.3561/2017

Patología osteomuscular y dolor crónico: rotación multidisciplinar para médicos de Atención Primaria

Rev Soc Esp Dolor 2017; 24(5): 256-263 / DOI: 10.20986/resed.2017.3562/2017

Formación en dolor crónico, una perspectiva diferente

Rev Soc Esp Dolor 2017; 24(5): 221-223 / DOI: 10.20986/resed.2017.3578/2017

Estimulación eléctrica medular en el paciente con neurofibromatosis tipo 1: reporte de un caso

Rev Soc Esp Dolor 2017; 24(4): 211-214 / DOI: 10.20986/resed.2016.3496/2016

Caracterización del dolor fibromiofascial, hipótesis etiológica, aplicación y efecto del tratamiento

Rev Soc Esp Dolor 2017; 24(4): 201-210 / DOI: 10.20986/resed.2017.3478/2016

Dolor crónico: relación con sintomatología prefrontal y estrés percibido

Rev Soc Esp Dolor 2017; 24(4): 179-187 / DOI: 10.20986/resed.2017.3540/2016

¿Es útil la acupuntura para tratar el dolor de la artrosis de rodilla? Los árboles que no dejan ver el bosque

Rev Soc Esp Dolor 2017; 24(4): 157-160 / DOI: 10.20986/resed.2017.3574/2017

Toxina botulínica y dolor neuropático: nuevas aportaciones

Rev Soc Esp Dolor 2017; 24(3): 155-157 / DOI: 10/20986/resed.2016.3443/2016

Experiencia clínica con desvenlafaxina en el tratamiento de pacientes con fibromialgia

Rev Soc Esp Dolor 2017; 24(3): 151-152 / DOI: 10/20986/resed.2016.3487/2016

Síndrome de Parsonage-Turner: a propósito de un caso

Rev Soc Esp Dolor 2017; 24(3):145-146 / DOI: 10.20986/resed.2017.3526/2016

La administración de ropivacaína durante el trabajo de parto: analgesia y bloqueo motor

Rev Soc Esp Dolor 2017; 24(3):143-144 / DOI: 10.20986/resed.2017.3525/2016

Caracterización fluoroscópica en rata de la dismotilidad colónica asociada a tratamiento con morfina

Rev Soc Esp Dolor 2017; 24(3):140-142 / DOI: 10.20986/resed.2017.3531/2016

Nuevos enfoques en el tratamiento del dolor agudo postoperatorio

Rev Soc Esp Dolor 2017; 24(3):132-139 / DOI: 10.20986/resed.2017.3542/2016

Dolor irruptivo en pacientes con dolor lumbar crónico

Rev Soc Esp Dolor 2017; 24(3): 113-115 / DOI: 10.20986/resed.2017.3580/2017

Prevalencia del dolor irruptivo asociado al dolor crónico por lumbalgia en Andalucía (estudio COLUMBUS)

Rev Soc Esp Dolor 2017; 24(3):116-124 / DOI: 10.20986/resed.2017.3548/2016

Papel de los opioides en el tratamiento de la fibromialgia

Rev Soc Esp Dolor 2017; 24(2): 107-109 / DOI: 10/20986/resed.2016.3484/2016

Prescripción de opioides de acción prolongada y mortalidad en pacientes con dolor crónico no oncológico

Rev Soc Esp Dolor 2017; 24(2): 104-105 / DOI: 10/20986/resed.2016.3482/2016

Revisión del qigong como terapia alternativa en el tratamiento de la fibromialgia

Rev Soc Esp Dolor 2017; 24(2): 96-103 / DOI: 10.20986/resed.2016.3480/2016

PRP epidural en el manejo de la enfermedad discal degenerativa y dolor axial. Estudio preliminar

Rev Soc Esp Dolor 2017; 24(2): 85-95 / DOI: 10.20986/resed.2016.3503/2016

¿Está justificada la combinación de analgésicos?

Rev Soc Esp Dolor 2017; 24(2): 57-58 / DOI: 10.20986/resed.2017.3566/2017

Reflexiones sobre el uso de opioides en dolor lumbar

Rev Soc Esp Dolor 2017; 24(1): 47-56 / DOI: 10/20986/resed.2016.3479/2016

Cannabis en el tratamiento del dolor: consideraciones clínicas y de investigación

Rev Soc Esp Dolor 2017; 24(1): 47-56 / DOI: 10/20986/resed.2016.3472/2016

Dolor: el tratamiento posible

Rev Soc Esp Dolor 2017; 24(1): 47-56 / DOI: 10/20986/resed.2016.3468/2016

Fibromialgia y niveles de vitamina D

Rev Soc Esp Dolor 2017; 24(1): 47-56 / DOI: 10/20986/resed.2016.3444/2016

Infliximab en el manejo del síndrome doloroso regional complejo

Rev Soc Esp Dolor 2017; 24(1): 39-46 / DOI: 10.20986/resed.2016.3449/2016

Actualización en el manejo del prurito inducido por opioides neuraxiales

Rev Soc Esp Dolor 2017; 24(1): 27-38 / DOI: 10.20986/resed.2016.3541/2016

La terapia asistida con perros en el tratamiento de las personas con dolor crónico: una revisión sistemática

Rev Soc Esp Dolor 2017; 24(1): 11-18 / DOI: 10.20986/resed.2016.3461/2016

Factores asociados con la intensidad del dolor en pacientes mexicanos hospitalizados en periodo postoperatorio

Rev Soc Esp Dolor 2017; 24(1): 4-10 / DOI: 10.20986/resed.2016.3442/2016

Dolor postoperatorio: ¿hacia dónde vamos?

Rev Soc Esp Dolor 2017; 24(1): 1-3 / DOI: 10.20986/resed.2017.3566/2017

El dolor duele

Rev Soc Esp Dolor 2016; 23(6): 330

A propósito del nuevo sistema de envío de manuscritos

Rev Soc Esp Dolor 2016; 23(6): 326-329

Lacosamida en el tratamiento del dolor neuropático

Rev Soc Esp Dolor 2016; 23(6): 316-325

Nuevo concepto de unidad funcional lumbo-sacrococcígea- pélvica. Bases teóricas y repercusión en el análisis clínico y terapéutico de los pacientes con dolor lumbar

Acevedo González JC y Pérez Rodríguez JCNuevo concepto de unidad funcional lumbo-sacro-coccígea-pélvica. Bases teóricas y repercusión en el análisis clínico y terapéutico de los pacientes con dolor lumbar. Rev Soc Esp Dolor 2016;23(5):260-268.

Utilidad de desvenlafaxina en dolor crónico

Alcántara Montero A y González Curado A. Utilidad de la desvenlafaxina en dolor crónico. Rev Soc Esp Dolor 2016;23(5):256-259.

Revisión sistemática de la literatura y evaluación metodológica de guías de manejo invasivo de dolor lumbar

Acevedo JC, Sardi JP y Gempeler A. Systematic review and appraisal of clinical practice guidelines on interventional management for low back pain. Rev Soc Esp Dolor 2016;23(5):243-255.

Resultados sobre la aplicación cráneo-facial del parche de capsaicina 8 % en una serie de 5 casos

Pariente Juste L, Serrano Afonso AA, Caro González MC, Domingo Rufes T, Casals Merchan M, Veciana de las Heras M, Montero Homs J, Mayoral Rojals V. Resultados sobre la aplicación cráneo-facial del parche de capsaicina 8 % en una serie de 5 casos. Rev Soc Esp Dolor 2016;23(5):238-243.

Percepción de los profesionales sanitarios en el abordaje del dolor en el servicio de urgencias

Rubiño Diaz JA, Lladó Salamanca S, Pérez Galmes CA, Socias Moya M. Percepción de los profesionales sanitarios en el abordaje del dolor en el servicio de urgencias. Rev Soc Esp Dolor 2016; 23(5): 229-237.

Prevalencia del dolor agudo postoperatorio en un servicio de cirugía gastro-intestinal y satisfacción del paciente

Méndez Prieto ML, Orejas Carbonell B, Peix Soriano N, Herrero Nogues S. Prevalencia del dolor agudo postoperatorio en un servicio de cirugía gastro-intestinal y satisfacción del paciente. Rev Soc Esp Dolor 2016; 23(5): 222-228.

La “gate control theory” cincuenta años después

Rev Soc Esp Dolor 2016; 23(5): 215-217

Ibuprofeno endovenoso. Seguridad y utilización en población con comorbilidad

Montero Matamala A y Matute Crespo M. Ibuprofeno endovenoso. Seguridad y utilización en población con comorbilidad. Rev Soc Esp Dolor 2016;23(Supl. I):44-51.

Ibuprofeno intravenoso. Experiencia clínica en Estados Unidos

Fiorda-Diaz J, Zuleta-Alarcón A, Martínez Ruiz A, Abad Gurumeta A, Torres Morera LM y Bergese SD. Ibuprofeno intravenoso. Experiencia clínica en Estados Unidos. Rev Soc Esp Dolor 2016;23(Supl. I):35-43.

Ibuprofeno intravenoso y combinaciones farmacológicas

Abad Gurumeta A, Bergese SD, Zuleta-Alarcón A, Fiorda- Díaz J, Martínez Ruiz A, Casans Francés R, Ripollés Melchor J y Calvo Vecino JM. Ibuprofeno intravenoso y combinaciones farmacológicas. Rev Soc Esp Dolor 2016;23(Supl. I):31-34.

Ibuprofeno intravenoso en Cirugía Mayor Ambulatoria

Tornero Tornero C y Fernández Rodríguez LE. Ibuprofeno intravenoso en Cirugía Mayor Ambulatoria. Rev Soc Esp Dolor 2016;23(Supl. I):27-30.

Ibuprofeno intravenoso en el tratamiento del dolor postoperatorio

Calderón E, Calderón ME, Estudillo J, Arroyo-Fernández F, Kantor L y Torres LM. Ibuprofeno intravenoso en el tratamiento del dolor postoperatorio. Rev Soc Esp Dolor 2016;23(Supl. I):21-26.

Aplicaciones del ibuprofeno intravenoso. Urgencias y áreas de cuidados críticos

Peralta C, García A, Herrera JT, Artaza L, Abad Gurumeta A, Bergese SD y Martínez Ruiz A. Aplicaciones del ibuprofeno intravenoso. Urgencias y áreas de cuidados críticos. Rev Soc Esp Dolor 2016;23(Supl. I):13-20.

Farmacología del ibuprofeno intravenoso

Poveda Andrés JL, García Robles AA y Pérez Huertas P. Farmacología del ibuprofeno intravenoso. Rev Soc Esp Dolor 2016;23(Supl. I):3-12.

Ibuprofeno intravenoso

Rev Soc Esp Dolor 2016; 23(Supl. I): 1-3

Vitamina D y dolor crónico

Rev Soc Esp Dolor 2016; 23(4): 211-214

Combinación de opioides

Rev Soc Esp Dolor 2016; 23(3): 159-163

Radiofrecuencia pulsada en el tratamiento de la epicondilitis

Rev Soc Esp Dolor 2016; 23(2): 115-119

Tratamiento del dolor en el anciano: opioides y adyuvantes

Rev Soc Esp Dolor 2016; 23(2): 93-104

Salud, dolor y trabajo

Rev Soc Esp Dolor 2016; 23(2): 53-55

El dolor irruptor, ¿sólo oncológico?

Rev. Soc. Esp. del Dolor, Vol. 23, N.0 1

Absceso epidural en el parto

Rev Soc Esp Dolor 2016; 23(1): 45-52

¿Hay sexo después del dolor lumbar crónico?

Rev Soc Esp Dolor 2016; 23(1): 45-52

Creencias y actitudes de los pediatras sobre el dolor

Rev Soc Esp Dolor 2016; 23(1): 16-22

Instrucciones para citar

Fernández M, Albaladejo M, Álava S, Pérez O. Tendinitis calcificante de hombro: factores de riesgo y efectividad de la iontoforesis con ácido acético 5 % más ultrasonido: estudio cuasiexperimental prospectivo a 5 años con 138 casos . Rev Soc Esp Dolor 2020; 27(6): 340-348 / DOI: 1020986/resed20203842/2020


Descargar a un gestores de citas

Descargue la cita de este artículo haciendo clic en uno de los siguientes gestores de citas:

Métrica

Este artículo ha sido visitado 74705 veces.
Este artículo ha sido descargado 167 veces.

Estadísticas de Dimensions


Estadísticas de Plum Analytics

Ficha Técnica

Recibido: 31/08/2020

Aceptado: 02/12/2020

Prepublicado: 02/12/2020

Publicado: 27/01/2021

Tiempo de revisión del artículo: 89 días

Tiempo de prepublicación: 93 días

Tiempo de edición del artículo: 149 días


Compartir

Este artículo aun no tiene valoraciones.
Valoración del lector:
Valora este artículo:
© 2025 Revista de la Sociedad Española del Dolor
ISSN: 1134-8046   e-ISSN: 2254-6189

      Indexada en: