Rev. Soc. Esp. Dolor. 2020; 27(6): 340-348 / DOI: 10.20986/resed.2020.3842/2020
                                    Marcos Edgar Fernández, María Jesús Albaladejo, Sandra Álava, Olga Susana Pérez
                                    
                                    
                                    RESUMEN
Objetivo: Caracterizar clínicamente la tendinitis calcificante (TC) y demostrar la efectividad de la iontoforesis del ácido acético al 5 % y el ultrasonido en el tratamiento de la TC.
Material y métodos: Estudio prospectivo, observacional, cuasiexperimental, tipo antes y después de la intervención, a 138 pacientes que asistieron al Departamento de Rehabilitación, del Hospital de la Fundación General Santísima Trinidad, Salamanca, de junio de 2014 a diciembre del 2018.
Medidas de resultado: 1) dolor: medido por la escala analógica visual (EVA); 2) tamaño de la calcificación: en milímetros (mm), ambos medidos al inicio/final del tratamiento; 3) limitación funcional (en porcentaje de pacientes) pre/post intervención.
Intervención: iontoforesis con ácido acético al 5 % a 4,7 mA x 10 minutos y ultrasonido 1W/cm2/1Hz/5 minutos sobre calcificación.
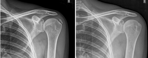
Resultados: Edad media: 54,6 años (n = 138); mujer (73,1 %; n = 101); proporción mujer/hombre 3: 1; tendón supraespinoso (94,6 %; n = 124); subescapular (5,4 %; n = 14); hombro izquierdo (55,1 %; n = 76), hombro derecho (44,9 %; n = 62); bilateral 1,4 % (n = 2); diestros 96,3 % (n = 133); antecedentes personales: tabaquismo (19,5 %; n = 27), diabetes (7,2 %; n = 10). El tiempo de enfermedad promedio fue de 6,08 meses. Dolor agudo-subagudo (menos de 3 meses) 47,1 %; (n = 65), dolor crónico (más de 3 meses) 52,9 % (n = 73). Tipo radiológico: formativo 75,3 % (n = 104), resortivo 24,7 % (n = 34). Número promedio de sesiones: 20. Complicaciones del tratamiento 2,8 % (n = 4): intolerancia/eritema/quemadura. Ocupación: administrativo 39,8 % (n = 55), trabajos manuales 60,2 % (n = 83). El dolor inicial EVA de 7,3 puntos disminuyó significativamente (p = 0,0000) después del tratamiento a 2,7. El tamaño promedio inicial de las calcificaciones fue de 10,7 mm y disminuyó significativamente (p = 0,0000) después del tratamiento a 3,8 mm. Cambio de calcificación: tasa de éxito/curación 55,7 % (n = 77), tasa de mejora 20,2 % (n = 28); tasa de fracaso del 23,9 % (n = 33). La limitación funcional disminuyó de un 10,8 % a un 2,1 %.
Conclusiones: La TC es común en mujeres trabajadoras de mediana edad. Afecta el tendón supraespinoso. Se asocia con el tabaquismo y la diabetes. Factores de riesgo ocupacional son las posiciones mantenidas y manipulación de cargas.
La iontoforesis con ácido acético al 5 % más ultrasonido es una técnica segura, simple y económica, capaz de reducir el dolor y la calcificación, y mejorar la limitación funcional, con un grado de evidencia científica recomendado (2B).
ABSTRACT
Objective: To characterize clinically calcifying tendonitis (CT) and to conduct a prospective quasi-experimental before-and-after study in order to demonstrate the effectiveness of 5 % acetic acid iontophoresis and ultrasound in the treatment of CT.
Material and methods: Prospective, observational, quasi-experimental before-after intervention study to 138 patients who attended to Rehabilitation Department, Santísima Trinidad's General Foundation Hospital, Salamanca, from June-2014 to December-2018.
Outcome Measures: 1) pain: measured by Visual Analogical Scale (VAS); 2) calcification size: in millimetres (mm); 3) functional limitation of shoulder movement (% of patients), all measured at the beginning/end of treatment.
Intervention: iontophoresis with 5 % acetic acid at 4,7mA x 10 minutes and ultrasound 1W/cm2x 5 minutes over calcification.
Results: Mean age 54.6 years (n = 138). Female (73.1 %; n = 101); female to male ratio 3:1. Supraspinatus tendon (94.6 %; n = 124), subscapularis (5.4 %; n=14); left shoulder (55.1 %; n = 76), right shoulder (44.9 %; n = 62). Bilateral 1.4 % (n = 2). Right handed 96.3 % (n = 133); Personal history: smoking (19.5 %; n = 27), diabetes (7.2 %; n = 10); disease time averaged 6.08 months; acute-subacute pain (less than 3 months) 47.1; (n = 65), chronic pain (greater than 3 months) 52.9 % (n = 73). Radiological type: formative 75.3 % (n = 104); resorptive 24.7 % (n = 34). Average number of sessions: 20.5. Treatment complications 2.8 % (n = 4): intolerance/erythema/burn. Occupation: administrative 39.8 % (n = 55), manual jobs 60.2 % (n = 83).
Average initial pain 7.3 points (VAS scale), significantly decreased (p = 0.0000) post treatment to 2.7. Initial average size of calcifications 10.7 mm and significantly decreased (p = 0.0000) post treatment to 3.8 mm. Change of calcification: success/cure rate 55.7 % (n = 77), improvement rate 20.2 % (n = 28); failure rate 23.9 % (n = 33). Functional limitation decreased from 10.8 % of patients to 2.1 %.
Conclusions: CT is common in middle-aged working women. It affects supraspinatus tendon. It is associated with smoking and diabetes. Occupational risk factors include awkward positions and lighting weights. Iontophoresis with 5 % acetic acid and ultrasound is a safe, simple and inexpensive technique, capable to reduce pain and calcification, and recover functional limitation, with a recommended degree of scientific evidence (2B).
                                    
                                    
                                    
                                    
	
                                        
                                        
                                            Nuevo comentario
                                            
                                            
                                            Comentarios
                                            
                                                No hay comentarios para este artículo.
                                                
                                                
                                                
                                            
                                         
                                    
 
                                 
                                
                                    Bibliografía
                                    
                                            
                                                1.	Chico-Álvarez E. Estudio prospectivo comparando los tres resultados obtenidos con tres tratamientos de electroterapia en las tendinopatías calcificadas del supraespinoso [Tesis Doctoral]. Universidad de Valladolid; 2015.
                                            
                                            
                                        
                                            
                                                2.	Barrera-Cárdenas JL, Campa-Rodríguez AY, García-Prendes V. Resultados del tratamiento artroscópico de las tendinitis calcificantes del manguito de los rotadores del hombro. Rev Esp Cir Ortop Traumatol. 2010;54(2):100-5. DOI: 10.1016/j.recot.2009.02.004.
                                            
                                                3.	Rioja-Toro J, Romo-Monje M, Cantalapiedra-Fuentes E, Gonzalez-Rebollo AY, Blázquez-Sanchez E. Tratamiento de la tendinitis calcificante del hombromediante iontoforesis con ácido acéticco y ultrasonidos. Rehabilitación (Madr). 2001;35(3):166-70.
                                            
                                                4.	McLaughlin HL. Lesions of the musculotendinous cuff of the shoulder: III. Observations on the pathology, course and treatment of calcific deposits. Annals of surgery. 1946;124(2):354-62.
                                            
                                                5.	García FJJ, Movilla CG, López AC. Efectividad del tratamiento mediante ondas de choque extracorpóreas en tendinitis calcificadas del hombro. Rev Esp Reumatol 2004;31(3):116-21.
                                            
                                            
                                        
                                            
                                                6.	Uhthoff HK, Dervin GF, Loehr JF. Tendinitis calcificante. The shoulder, 3rd ed. Rockwood C Jr, Matsen FA III, Wirt MA, Lippitt SB, Tomo II. Madrid: Marban; 2006. p. 1033-57.
                                            
                                            
                                        
                                            
                                                7.	Uhthoff HK. Calcifying tendinitis, an active cell-mediated calcification. Virchows Arch A Pathol Anat Histol. 1975;366(1):51-8. DOI: 10.1007/BF00438677.
                                            
                                                8.	Fernández-Cuadros ME, Pérez-Moro OS, Nieto-Blasco J, Rivera-García V, Olazar-Pardeiro A. Calcifying Tendinitis of the Shoulder: Risk Factors and Effectiveness of Physical Therapy. Occup Med Health Aff 2015;3(6):2. DOI: 10.4172/2329-6879.1000220.
                                            
                                                9.	Llorente JG, Aguirregoikoa EG, Vivar MG, Albizuri JA. Protocolo diagnóstico del hombro doloroso crónico. Medicine-Programa de Formación Médica Continuada Acreditado. 2009;10(33):2222-5.
                                            
                                                10.	Re Jr LP, Karzel RP. Management of rotator cuff calcifications.The Orthopedic clinics of North America. 1993;24(1):125-32.
                                            
                                            
                                        
                                            
                                                11.	Cacchio A, De Blasis E, Desiati P, Spacca G, Santilli V, De Paulis F. Effectiveness of treatment of calcific tendinitis of the shoulder by disodium EDTA. Arthritis Rheum. 2009;61(1):84-91. DOI: 10.1002/art.24370.
                                            
                                                12.	Ogon P, Suedkamp NP, Jaeger M, Izadpanah K, Koestler W, Maier D. Prognostic factors in nonoperative therapy for chronic symptomatic calcific tendinitis of the shoulder. Arthritis & Rheumatism. 2009;60(10):2978-84. DOI: 10.1002/art.24845.
                                            
                                                13.	Beutl O, Clementschitsch A. Iontophoresis in therapy of humeroscapular periarthritis and epicondylitis of the humerus. Wiener medizinische Wochenschrift (1946). 1952;102(2):36.
                                            
                                            
                                        
                                            
                                                14.	Perron M, Malouin F. Acetic acid lontophoresis and ultrasound for the treatment of calcifying tendinitis of the shoulder: A randomized control trial. Arch Phys Med Rehabil. 1997;78(4):379-84. DOI: 10.1016/s0003-9993(97)90229-x.
                                            
                                                15.	Leduc BE, Caya J, Tremblay S, Bureau NJ, Dumont M. Treatment of calcifying tendinitis of the shoulder by acetic acid iontophoresis: a double-blind randomized controlled trial. Arch Phys Med Rehabil. 2003;84(10):1523-7. DOI: 10.1016/s0003-9993(03)00284-3.
                                            
                                                16.	Hernández Díaz A, Méndez G, Orellana Molina A, Martín Gil JL, Berty Tejeda J. Láser de baja potencia en el tratamiento de las calcificaciones de hombro. Revista de la Sociedad Española del Dolor. 2009;16(4):230-8.
                                            
                                                17.	Tashjian RZ, Deloach J, Porucznik CA, Powell AP. Minimal clinically important differences (MCID) and patient acceptable symptomatic state (PASS) for visual analog scales (VAS) measuring pain in patients treated for rotator cuff disease. J Shoulder Elbow Surg. 2009;18(6):927-32. DOI: 10.1016/j.jse.2009.03.021.
                                            
                                                18.	Jiménez-García D, López-Dolado E, López-Zarzuela MC. Tratamiento de la tendinopatía calcificante de hombro: ¿iontoforesis con ácido acético u onda corta? Rehabilitación. 2008;42(5):239-45. DOI: 10.1016/S0048-7120(08)74598-5.
                                            
                                                19.	Vicente-Herrero MT, García LC, González AL, de la Torre MRI. El hombro y sus patologías en medicina del trabajo. SEMERGEN. 2009;35(4):197-202. DOI: 10.1016/S1138-3593(09)70931-1.
                                            
                                                20.	Ferrera CE, Ricard F. Estudio comparativo de pruebas ortopédicas para la valoración y confirmación diagnóstica de tendinopatía del músculo supraespinoso. Osteopatía científica. 2009;4(3):86-92. DOI: 10.1016/S1886-9297(09)73434-4.
                                            
                                                21.	Arrebola AP, Martínez-Rodríguez ME. Tratamiento de tendinitis y bursitis calcificadas subacromiodeltoideas con ondas de choque. Rehabilitación. 2005;39(1):2-7. DOI: 10.1016/S0048-7120(05)74297-3.
                                            
                                                22.	DePalma AF, Kruper JS. Long-term study of shoulder joints afflicted with and treatment for calcific tendonitis. Clin Orthop. 1961;20:61-72.
                                            
                                            
                                        
                                            
                                                23.	Hsu HC, Wu JJ, Jim YF, Chang CY, Lo WH, Yang DJ. Calcific tendinitis and rotator cuff tearing: a clinical and radiographic study. J Shoulder Elbow Surg. 1994;3(3):159-64. DOI: 10.1016/S1058-2746(09)80095-5.
                                            
                                                24.	Martín AJ, Yubero FJS, Carmona MZ, Cid FJN, Asensi FJC, Hidalgo SP. Tratamiento de la tendinitis calcificante de hombro mediante artroscopia. Trauma. 2012;23(1):32-8.
                                            
                                            
                                        
                                            
                                                25.	Adamietz B, Schulz-Wendtland R, Alibek S, Uder M, Sauer R, Ott O, et al. Calcifying Tendonitis of the Shoulder Joint. Strahlenther Onkol. 2010;186(1):18-23. DOI: 10.1007/s00066-009-2025-5.
                                            
                                                26.	Krueger E, Claudino Junior JL, Scheeren EM, Neves EB, Mulinari E, Nohama, P. Iontophoresis: principles and applications. Fisioterapia em Movimento. 2014;27(3):469-81. DOI: 10.1590/0103-5150.027.003.AR02.
                                            
                                                27.	Dehghan M, Mouzam M. Advances in iontophoresis for drug delivery. Int J Health Res. 2008;1(3):115-27. DOI: 10.4314/ijhr.v1i3.55353.
                                            
                                                28.	Gratieri T, Gelfuso GM, Lopez RFV. Princípios básicos e aplicação da iontoforese na penetração cutânea de fármacos. Quim Nova. 2008;31(6):1490-8. DOI: 10.1590/S0100-40422008000600040.
                                            
                                                29.	Pahade A, Jadhav VM, Kadam VJ. Sonophoresis: an overview. Int J Pharm Sci Res. 2010;3(2):24-32.
                                            
                                            
                                        
                                            
                                                30.	Le L, Kost J, Mitragotri S. Combined effect of low-frequency ultrasound and iontophoresis: applications for transdermal heparin delivery. Pharmaceutical research. 2000;17(9):1151-4.
                                            
                                                31.	Kahn J. Acetic acid iontophoresis for calcium deposits. Physical therapy. 1977;57(6):658-9. DOI: 10.1093/ptj/57.6.658.
                                            
                                                32.	Fernández-Cuadros ME, Albaladejo-Florin MA, Álava-Rabasa S, Pérez-Mor OS. Algorithm of management based on treatment goals for calcifying tendonitis of the shoulder: rigidity, pain and size of calcification. MOJ Orthop Rheumatol. 2020;12(2):26-9. DOI: 10.15406/mojor.2020.12.00511.
                                            
                                            
                                        
                                 
                                
                                    Artículos relacionados
                                    
                                            
                                            
                                        
                                            
                                            
                                        
                                            
                                            
                                        
                                            
                                            
                                        
                                            
                                            
                                        
                                            
                                            
                                        
                                            
                                            
                                        
                                            
                                            
                                        
                                            
                                            
                                        
                                            
                                            
                                        
                                            
                                            
                                        
                                            
                                            
                                        
                                            
                                            
                                        
                                            
                                            
                                        
                                            
                                            
                                        
                                            
                                            
                                        
                                            
                                            
                                        
                                            
                                            
                                        
                                            
                                            
                                        
                                            
                                            
                                        
                                            
                                            
                                        
                                            
                                            
                                        
                                            
                                            
                                        
                                            
                                            
                                        
                                            
                                            
                                        
                                            
                                            
                                        
                                            
                                            
                                        
                                            
                                            
                                        
                                            
                                            
                                        
                                            
                                            
                                        
                                            
                                            
                                        
                                            
                                            
                                        
                                            
                                            
                                        
                                            
                                            
                                        
                                            
                                            
                                        
                                            
                                            
                                        
                                            
                                            
                                        
                                            
                                            
                                        
                                            
                                            
                                        
                                            
                                            
                                        
                                            
                                            
                                        
                                            
                                            
                                        
                                            
                                            
                                        
                                            
                                            
                                        
                                            
                                            
                                        
                                            
                                            
                                        
                                            
                                            
                                        
                                            
                                            
                                        
                                            
                                            
                                        
                                            
                                            
                                        
                                            
                                            
                                        
                                            
                                            
                                        
                                            
                                            
                                        
                                            
                                            
                                        
                                            
                                            
                                        
                                            
                                            
                                        
                                            
                                            
                                        
                                            
                                            
                                        
                                            
                                            
                                        
                                            
                                            
                                        
                                            
                                            
                                        
                                            
                                            
                                        
                                            
                                            
                                        
                                            
                                            
                                        
                                            
                                            
                                        
                                            
                                            
                                        
                                            
                                            
                                        
                                            
                                            
                                        
                                            
                                            
                                        
                                            
                                            
                                        
                                            
                                            
                                        
                                            
                                            
                                        
                                            
                                            
                                        
                                            
                                            
                                        
                                            
                                            
                                        
                                            
                                            
                                        
                                            
                                            
                                        
                                            
                                            
                                        
                                            
                                            
                                        
                                            
                                            
                                        
                                            
                                            
                                        
                                            
                                            
                                        
                                            
                                            
                                        
                                            
                                            
                                        
                                            
                                            
                                        
                                            
                                            
                                        
                                            
                                            
                                        
                                            
                                            
                                        
                                            
                                            
                                        
                                            
                                            
                                        
                                            
                                            
                                        
                                            
                                            
                                        
                                            
                                            
                                        
                                            
                                            
                                        
                                            
                                            
                                        
                                            
                                            
                                        
                                            
                                            
                                        
                                            
                                            
                                        
                                            
                                            
                                        
                                            
                                            
                                        
                                            
                                            
                                        
                                            
                                            
                                        
                                            
                                            
                                        
                                            
                                            
                                        
                                            
                                            
                                        
                                            
                                            
                                        
                                            
                                            
                                        
                                            
                                            
                                        
                                            
                                            
                                        
                                            
                                            
                                        
                                            
                                            
                                        
                                            
                                            
                                        
                                            
                                            
                                        
                                            
                                            
                                        
                                            
                                            
                                        
                                            
                                            
                                        
                                            
                                            
                                        
                                            
                                            
                                        
                                            
                                            
                                        
                                            
                                            
                                        
                                            
                                            
                                        
                                            
                                            
                                        
                                            
                                            
                                        
                                            
                                            
                                        
                                            
                                            
                                        
                                            
                                            
                                        
                                            
                                            
                                        
                                            
                                            
                                        
                                            
                                            
                                        
                                            
                                            
                                        
                                            
                                            
                                        
                                            
                                            
                                        
                                            
                                            
                                        
                                            
                                            
                                        
                                            
                                            
                                        
                                            
                                            
                                        
                                            
                                            
                                        
                                            
                                            
                                        
                                            
                                            
                                        
                                            
                                            
                                        
                                            
                                            
                                        
                                            
                                            
                                        
                                            
                                            
                                        
                                            
                                            
                                        
                                            
                                            
                                        
                                            
                                            
                                        
                                            
                                            
                                        
                                            
                                            
                                        
                                            
                                            
                                        
                                            
                                            
                                        
                                            
                                            
                                        
                                            
                                            
                                        
                                            
                                            
                                        
                                            
                                            
                                        
                                            
                                            
                                        
                                            
                                            
                                        
                                            
                                            
                                        
                                            
                                            
                                        
                                            
                                            
                                        
                                            
                                            
                                        
                                            
                                            
                                        
                                            
                                            
                                        
                                            
                                            
                                        
                                            
                                            
                                        
                                            
                                            
                                        
                                            
                                            
                                        
                                            
                                            
                                        
                                            
                                            
                                        
                                            
                                            
                                        
                                            
                                            
                                        
                                            
                                            
                                        
                                            
                                            
                                        
                                            
                                            
                                        
                                            
                                            
                                        
                                            
                                            
                                        
                                            
                                            
                                        
                                            
                                            
                                        
                                            
                                            
                                        
                                            
                                            
                                        
                                            
                                            
                                        
                                            
                                            
                                        
                                            
                                            
                                        
                                            
                                            
                                        
                                            
                                            
                                        
                                            
                                            
                                        
                                            
                                            
                                        
                                            
                                            
                                        
                                            
                                            
                                        
                                            
                                            
                                        
                                            
                                            
                                        
                                            
                                            
                                        
                                            
                                            
                                        
                                            
                                            
                                        
                                            
                                            
                                        
                                            
                                            
                                        
                                            
                                            
                                        
                                            
                                            
                                        
                                            
                                            
                                        
                                            
                                            
                                        
                                            
                                            
                                        
                                            
                                            
                                        
                                            
                                            
                                        
                                            
                                            
                                        
                                            
                                            
                                        
                                            
                                            
                                        
                                            
                                            
                                        
                                            
                                            
                                        
                                            
                                            
                                        
                                            
                                            
                                        
                                            
                                            
                                        
                                            
                                            
                                        
                                            
                                            
                                        
                                            
                                            
                                        
                                            
                                            
                                        
                                            
                                            
                                        
                                            
                                            
                                        
                                            
                                            
                                        
                                            
                                            
                                        
                                            
                                            
                                        
                                            
                                            
                                        
                                            
                                            
                                        
                                            
                                            
                                        
                                            
                                            
                                        
                                            
                                            
                                        
                                            
                                            
                                        
                                            
                                            
                                        
                                            
                                            
                                        
                                            
                                            
                                        
                                            
                                            
                                        
                                            
                                            
                                        
                                            
                                            
                                        
                                            
                                            
                                        
                                            
                                            
                                        
                                            
                                            
                                        
                                            
                                            
                                        
                                            
                                            
                                        
                                            
                                            
                                        
                                            
                                            
                                        
                                            
                                            
                                        
                                            
                                            
                                        
                                            
                                            
                                        
                                            
                                            
                                        
                                            
                                            
                                        
                                            
                                            
                                        
                                            
                                            
                                        
                                            
                                            
                                        
                                            
                                            
                                        
                                            
                                            
                                        
                                            
                                            
                                        
                                            
                                            
                                        
                                            
                                            
                                        
                                            
                                            
                                        
                                            
                                            
                                        
                                            
                                            
                                        
                                            
                                            
                                        
                                            
                                            
                                        
                                            
                                            
                                        
                                            
                                            
                                        
                                            
                                            
                                        
                                            
                                            
                                        
                                            
                                            
                                        
                                            
                                            
                                        
                                            
                                            
                                        
                                            
                                            
                                        
                                            
                                            
                                        
                                            
                                            
                                        
                                            
                                            
                                        
                                            
                                            
                                        
                                            
                                            
                                        
                                            
                                            
                                        
                                            
                                            
                                        
                                            
                                            
                                        
                                            
                                            
                                        
                                            
                                            
                                        
                                            
                                            
                                        
                                            
                                            
                                        
                                            
                                            
                                        
                                            
                                            
                                        
                                            
                                            
                                        
                                            
                                            
                                        
                                            
                                            
                                        
                                            
                                            
                                        
                                            
                                            
                                        
                                            
                                            
                                        
                                            
                                            
                                        
                                            
                                            
                                        
                                            
                                            
                                        
                                            
                                            
                                        
                                            
                                            
                                        
                                            
                                            
                                        
                                            
                                            
                                        
                                            
                                            
                                        
                                            
                                            
                                        
                                            
                                            
                                        
                                            
                                            
                                        
                                            
                                            
                                        
                                            
                                            
                                        
                                            
                                            
                                        
                                            
                                            
                                        
                                            
                                            
                                        
                                            
                                            
                                        
                                            
                                            
                                        
                                            
                                            
                                        
                                            
                                            
                                        
                                            
                                            
                                        
                                            
                                            
                                        
                                            
                                            
                                        
                                            
                                            
                                        
                                            
                                            
                                        
                                            
                                            
                                        
                                            
                                            
                                        
                                            
                                            
                                        
                                            
                                            
                                        
                                            
                                            
                                        
                                            
                                            
                                        
                                            
                                            
                                        
                                            
                                            
                                        
                                            
                                            
                                        
                                            
                                            
                                        
                                            
                                            
                                        
                                            
                                            
                                        
                                            
                                            
                                        
                                            
                                            
                                        
                                            
                                            
                                        
                                            
                                            
                                        
                                            
                                            
                                        
                                            
                                            
                                        
                                            
                                            
                                        
                                            
                                            
                                        
                                            
                                            
                                        
                                            
                                            
                                        
                                            
                                            
                                        
                                            
                                            
                                        
                                            
                                            
                                        
                                            
                                            
                                        
                                            
                                            
                                        
                                            
                                            
                                        
                                            
                                            
                                        
                                            
                                            
                                        
                                            
                                            
                                        
                                            
                                            
                                        
                                            
                                            
                                        
                                            
                                            
                                        
                                            
                                            
                                        
                                            
                                            
                                        
                                            
                                            
                                        
                                            
                                            
                                        
                                            
                                            
                                        
                                            
                                            
                                        
                                            
                                            
                                        
                                            
                                            
                                        
                                            
                                            
                                        
                                            
                                            
                                        
                                            
                                            
                                        
                                            
                                            
                                        
                                            
                                            
                                        
                                            
                                            
                                        
                                            
                                            
                                        
                                            
                                            
                                        
                                            
                                            
                                        
                                            
                                            
                                        
                                            
                                            
                                        
                                            
                                            
                                        
                                            
                                            
                                        
                                            
                                            
                                        
                                            
                                            
                                        
                                            
                                            
                                        
                                            
                                            
                                        
                                            
                                            
                                        
                                            
                                            
                                        
                                            
                                            
                                        
                                            
                                            
                                        
                                            
                                            
                                        
                                            
                                            
                                        
                                            
                                            
                                        
                                            
                                            
                                        
                                            
                                            
                                        
                                            
                                            
                                        
                                            
                                            
                                        
                                            
                                            
                                        
                                            
                                            
                                        
                                            
                                            
                                        
                                            
                                            
                                        
                                            
                                            
                                        
                                            
                                            
                                        
                                            
                                            
                                        
                                            
                                            
                                        
                                            
                                            
                                        
                                            
                                            
                                        
                                            
                                            
                                        
                                            
                                            
                                        
                                            
                                            
                                        
                                            
                                            
                                        
                                            
                                            
                                        
                                            
                                            
                                        
                                            
                                            
                                        
                                            
                                            
                                        
                                            
                                            
                                        
                                            
                                            
                                        
                                            
                                            
                                        
                                            
                                            
                                        
                                            
                                            
                                        
                                            
                                            
                                        
                                            
                                            
                                        
                                            
                                            
                                        
                                            
                                            
                                        
                                            
                                            
                                        
                                            
                                            
                                        
                                            
                                            
                                        
                                            
                                            
                                        
                                            
                                            
                                        
                                            
                                            
                                        
                                            
                                            
                                        
                                            
                                            
                                        
                                            
                                            
                                        
                                            
                                            
                                        
                                            
                                            
                                        
                                            
                                            
                                        
                                            
                                            
                                        
                                            
                                            
                                        
                                            
                                            
                                        
                                            
                                            
                                        
                                            
                                            
                                        
                                            
                                            
                                        
                                            
                                            
                                        
                                            
                                            
                                        
                                            
                                            
                                        
                                            
                                            
                                        
                                            
                                            
                                        
                                            
                                            
                                        
                                            
                                            
                                        
                                            
                                            
                                        
                                            
                                            
                                        
                                            
                                            
                                        
                                            
                                            
                                        
                                            
                                            
                                        
                                            
                                            
                                        
                                            
                                            
                                        
                                            
                                            
                                        
                                            
                                            
                                        
                                            
                                            
                                        
                                            
                                            
                                        
                                            
                                            
                                        
                                            
                                            
                                        
                                            
                                            
                                        
                                            
                                            
                                        
                                            
                                            
                                        
                                            
                                            
                                        
                                            
                                            
                                        
                                            
                                            
                                        
                                            
                                            
                                        
                                            
                                            
                                        
                                            
                                            
                                        
                                            
                                            
                                        
                                            
                                            
                                        
                                            
                                            
                                        
                                            
                                            
                                        
                                            
                                            
                                        
                                            
                                            
                                        
                                            
                                            
                                        
                                            
                                            
                                        
                                            
                                            
                                        
                                            
                                            
                                        
                                            
                                            
                                        
                                            
                                            
                                        
                                            
                                            
                                        
                                            
                                            
                                        
                                            
                                            
                                        
                                            
                                            
                                        
                                            
                                            
                                        
                                            
                                            
                                        
                                            
                                            
                                        
                                            
                                            
                                        
                                            
                                            
                                        
                                            
                                            
                                        
                                            
                                            
                                        
                                            
                                            
                                        
                                            
                                            
                                        
                                            
                                            
                                        
                                            
                                            
                                        
                                            
                                            
                                        
                                            
                                            
                                        
                                            
                                            
                                        
                                            
                                            
                                        
                                            
                                            
                                        
                                            
                                            
                                        
                                            
                                            
                                        
                                            
                                            
                                        
                                            
                                            
                                        
                                            
                                            
                                        
                                            
                                            
                                        
                                            
                                            
                                        
                                            
                                            
                                        
                                            
                                            
                                        
                                            
                                            
                                        
                                            
                                            
                                        
                                            
                                            
                                        
                                            
                                            
                                        
                                            
                                            
                                        
                                            
                                            
                                        
                                            
                                            
                                        
                                            
                                            
                                        
                                            
                                            
                                        
                                            
                                            
                                        
                                            
                                            
                                        
                                            
                                            
                                        
                                            
                                            
                                        
                                            
                                            
                                        
                                            
                                            
                                        
                                            
                                            
                                        
                                            
                                            
                                        
                                            
                                            
                                        
                                            
                                            
                                        
                                            
                                            
                                        
                                            
                                            
                                        
                                            
                                            
                                        
                                            
                                            
                                        
                                            
                                            
                                        
                                            
                                            
                                        
                                            
                                            
                                        
                                            
                                            
                                        
                                            
                                            
                                        
                                            
                                            
                                        
                                            
                                            
                                        
                                            
                                            
                                        
                                            
                                            
                                        
                                            
                                            
                                        
                                            
                                            
                                        
                                            
                                            
                                        
                                            
                                            
                                        
                                            
                                            
                                        
                                            
                                            
                                        
                                            
                                            
                                        
                                            
                                            
                                        
                                            
                                            
                                        
                                            
                                            
                                        
                                            
                                            
                                        
                                            
                                            
                                        
                                            
                                            
                                        
                                            
                                            
                                        
                                            
                                            
                                        
                                            
                                            
                                        
                                            
                                            
                                        
                                            
                                            
                                        
                                            
                                            
                                        
                                            
                                            
                                        
                                            
                                            
                                        
                                            
                                            
                                        
                                            
                                            
                                        
                                            
                                            
                                        
                                            
                                            
                                        
                                            
                                            
                                        
                                            
                                            
                                        
                                            
                                            
                                        
                                            
                                            
                                        
                                            
                                            
                                        
                                            
                                            
                                        
                                            
                                            
                                        
                                            
                                            
                                        
                                            
                                            
                                        
                                            
                                            
                                        
                                            
                                            
                                        
                                            
                                            
                                        
                                            
                                            
                                        
                                            
                                            
                                        
                                            
                                            
                                        
                                            
                                            
                                        
                                            
                                            
                                        
                                            
                                            
                                        
                                            
                                            
                                        
                                            
                                            
                                        
                                            
                                            
                                        
                                            
                                            
                                        
                                            
                                            
                                        
                                            
                                            
                                        
                                            
                                            
                                        
                                            
                                            
                                        
                                            
                                            
                                        
                                            
                                            
                                        
                                            
                                            
                                        
                                            
                                            
                                        
                                            
                                            
                                        
                                            
                                            
                                        
                                            
                                            
                                        
                                            
                                            
                                        
                                            
                                            
                                        
                                            
                                            
                                        
                                            
                                            
                                        
                                            
                                            
                                        
                                            
                                            
                                        
                                            
                                            
                                        
                                            
                                            
                                        
                                            
                                            
                                        
                                            
                                            
                                        
                                            
                                            
                                        
                                            
                                            
                                        
                                            
                                            
                                        
                                            
                                            
                                        
                                            
                                            
                                        
                                            
                                            
                                        
                                            
                                            
                                        
                                            
                                            
                                        
                                            
                                            
                                        
                                            
                                                Ibuprofeno intravenoso y combinaciones farmacológicas
                                                Abad Gurumeta A, Bergese SD, Zuleta-Alarcón A, Fiorda- Díaz J, Martínez Ruiz A, Casans Francés R, Ripollés Melchor J y Calvo Vecino JM. Ibuprofeno intravenoso y combinaciones farmacológicas. Rev Soc Esp Dolor 2016;23(Supl. I):31-34.