Año 2021 / Volumen 28 / Número 6

Nota clínica

Neuropatía peronea secundaria a ganglión extraneural: revisión de literatura y propuesta de tratamiento. Caso no positivo
Peroneal neuropathy caused by an extraneural ganglion: literary review and treatment proposal. A non-positive case

Rev. Soc. Esp. Dolor. 2021; 28(6): 354-357 / DOI: 10.20986/resed.2022.3919/2021

Sergio Otero, María Eugenia Díaz, Jacobo Formigo, Rosa Martín, Juan No


RESUMEN

La discopatía lumbar con afectación de raíces lumbares L4 o L5 es una causa frecuente de consulta y, en casos severos, puede ser el origen de dolor neuropático en el miembro inferior y/o de un pie equino por compromiso de la musculatura dorsiflexora del pie. Sin embargo, la causa de esta clínica no siempre está en relación con la patología lumbar ni el sistema nervioso central, siendo vital su correcto diagnóstico diferencial.
Este artículo presenta el caso de un paciente de 69 años con una neuropatía compresiva peronea secundaria a un ganglión, inicialmente interpretada como una radiculopatía L5. Este incorrecto enfoque supuso la sobremedicación del paciente, un mal control algésico, la realización de una discectomía L4-L5 innecesaria y una pobre evolución neurológica.
Un enfoque diagnóstico correcto y un abordaje terapéutico precoz habrían supuesto una mayor mejoría clínica e incluso una recuperación neurológica completa del paciente. Por ello, este caso sirve para resaltar: a) el valor de la ecografía en neuropatías periféricas como herramienta diagnóstica y pronóstica y el de la ecografía en gangliones como arma diagnóstico-terapéutica; b) el uso de las pruebas diagnósticas como apoyo a una exploración física exhaustiva, y no como diagnóstico en sí mismas, y c) la importancia de la publicación de casos no positivos para optimizar recursos, evitar repetir errores, reducir el sesgo de publicación y facilitar el inicio de proyectos de investigación.



ABSTRACT

Lumbar disc disease with L4 or L5 lumbar root involvement is a common cause of medical attendance. In severe circumstances it can lead to neuropathic pain, weakness and foot drop. However, this clinical presentation is not always related with lumbar or central nervous system pathology, being the differential diagnosis of great importance.
It is reported a case of 69-year-old patient with a peroneal nerve entrapment caused by an extraneural ganglion, misdiagnosed as a L5 radiculopathy.
This incorrect approach entailed patient overmedication, poor pain control, an unnecessary L4-L5 discectomy, and a poor neurological outcome. In this case, an early diagnosis and therapeutic approach would have meant not only a greater clinical improvement and even a complete neurological recovery. Moreover, this case highlights: a) the value of ecography in peripheral neuropathies as a diagnostic and prognostic tool and ultrasounds in ganglions cyst as a diagnostic and therapeutic weapon; b) the use of diagnostic tests to support a thorough physical examination, not as a diagnosis themselves; and c) the importance of non-positive cases publication to optimize resources, avoid repeating mistakes, reduce publication bias and facilitate the start of research projects.





Artículo Completo

Nuevo comentario

Código de seguridad:
CAPTCHA code image
Speak the codeChange the code
 

Comentarios

No hay comentarios para este artículo.

Bibliografía

1. Sinha MK, Mishra P, Mishra TS, Barman A. Aspiration and steroid injection in ganglion cysts: An ultrasound guided evaluation of the response. J Clin Orthop Trauma. 2019;10(Suppl 1):S252-S257.
2. Poage C, Roth C, Scott B. Peroneal Nerve Palsy: Evaluation and Management. J Am Acad Orthop Surg. 2016;24(1):1-10.
3. Brestas P, Protopsaltis I, Drossos C. Role of sonography in the diagnosis and treatment of a ganglion cyst compressing the lateral branch of deep peroneal nerve. J Clin Ultrasound. 2017;45(2):108-111.
4. Aymen F, Jacem S, Youssef O, Issam A, Abderrazek A. Peroneal nerve palsy caused by a synovial cyst of the proximal tibiofibular joint: a report of two cases and review of the literature. Pan Afr Med J. 2019;34:115.
5. Angelides AC, Wallace PF. The dorsal ganglion of the wrist: its pathogenesis, gross and microscopic anatomy, and surgical treatment. J Hand Surg Am. 1976;1(3):228-35.
6. Dias J, Buch K. Palmar wrist ganglion: does intervention improve outcome? A prospective study of the natural history and patient-reported treatment outcomes. J Hand Surg Br. 2003;28(2):172-6.
7. Nikolopoulos D, Safos G, Sergides N, Safos P. Deep peroneal nerve palsy caused by an extraneural ganglion cyst: a rare case. Case Rep Orthop. 2015;2015:861697.
8. Greer-Bayramoglu RJ, Nimigan AS, Gan BS. Compression neuropathy of the peroneal nerve secondary to a ganglion cyst. Can J Plast Surg. 2008;16(3):181-3.
9. u BL, Weber KL, Khoury V. Ultrasound-Guided Therapy for Knee and Foot Ganglion Cysts. J Foot Ankle Surg. 2017;56(1):153-7.
10. Norbury JW, Nazarian LN. Ultrasound-guided treatment of peripheral entrapment mononeuropathies. Muscle Nerve. 2019;60(3):222-31.
11. Dias JJ, Dhukaram V, Kumar P. The natural history of untreated dorsal wrist ganglia and patient reported outcome 6 years after intervention. J Hand Surg Eur Vol. 2007;32(5):502-8.
12. Gude W, Morelli V. Ganglion cysts of the wrist: pathophysiology, clinical picture, and management. Curr Rev Musculoskelet Med. 2008;1(3-4):205-11.

Tablas y Figuras

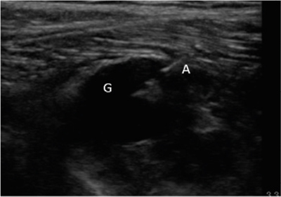
Figura 1

Figura 2

Instrucciones para citar

Otero S, Díaz M, Formigo J, Martín R, No J. Neuropatía peronea secundaria a ganglión extraneural: revisión de literatura y propuesta de tratamiento. Caso no positivo. Rev Soc Esp Dolor 2021; 28(6): 354-357 / DOI: 1020986/resed20223919/2021


Descargar a un gestores de citas

Descargue la cita de este artículo haciendo clic en uno de los siguientes gestores de citas:

Métrica

Este artículo ha sido visitado 31870 veces.
Este artículo ha sido descargado 35 veces.

Estadísticas de Dimensions


Estadísticas de Plum Analytics

Ficha Técnica

Recibido: 07/05/2021

Aceptado: 26/01/2022

Prepublicado: 31/01/2022

Publicado: 18/04/2022

Tiempo de revisión del artículo: 237 días

Tiempo de prepublicación: 269 días

Tiempo de edición del artículo: 346 días


Compartir

Este artículo aun no tiene valoraciones.
Valoración del lector:
Valora este artículo:
© 2025 Revista de la Sociedad Española del Dolor
ISSN: 1134-8046   e-ISSN: 2254-6189

      Indexada en: