Año 2023 / Volumen 30 / Número 1

Nota clínica

No es solo dolor lumbar: manifestación atípica del aneurisma de aorta
Not just low back pain: atypical manifestation of aortic aneurysm

Rev. Soc. Esp. Dolor. 2023; 30(1): 60-62 / DOI: 10.20986/resed.2022.3983/2022

Paula Juárez, Javier Sánchez, Guillermo Miguel


RESUMEN

La rotura de aneurisma de aorta supone el síntoma principal en hasta un 25 % de los casos de la patología de aneurisma de aorta, que constituye una entidad potencialmente mortal. También puede aparecer con menor prevalencia como lumbalgia, coxalgia e, incluso, gonalgia, no comentándolo como dolor vertebral o neuropático, sino como irritación a nivel de psoas ilíaco como primera sintomatología.
Se estima que solo en un 50 % de los casos aparece la triada clásica del aneurisma, por lo que es necesario tener un alto nivel de alerta para sospecharlo, ya que la hipovolemia puede estar contenida por un hematoma peritoneal.



ABSTRACT

Aortic aneurysm rupture is the main symptom in up to 25 % of cases of aortic aneurysm pathology, which is a life-threatening disease. It may appear less frequently as low back pain, coxalgia and even gonalgia, not as vertebral or neuropathic pain, but as irritation at the level of the iliac psoas as the first symptomatology.
It is estimated that only in 50 % of cases the classic aneurysm triad appears, being necessary to have a high level of alertness to suspect it, since hypovolemia may be contained by a peritoneal hematoma.





Artículo Completo

Nuevo comentario

Código de seguridad:
CAPTCHA code image
Speak the codeChange the code
 

Comentarios

No hay comentarios para este artículo.

Bibliografía

1. García Martos A, de Los Riscos Álvarez M, Fernández-Espartero C. Abdominal aneurysm: Anuncommon cause of low back pain. Reumatol Clin. 2018;14(5):307-8.
2. Hocaoglu S, Kaptanoglu E, Hocaoglu S. Low-back pain in geriatric patients: remember abdominal aortic aneurysm! J Clin Rheumatol. 2007;13(3):171-2.
3. Zúñiga Cedó E, Vico Besó L. Lumbalgia crónica y aneurisma de aorta abdominal. Semergen. 2013;39(7):e47-9.
4. Van Wyngaarden JJ, Ross MD, Hando BR. Abdominal aortic aneurysm in a patient with low back pain. J Orthop Sports Phys Ther. 2014;44(7):500-7.
5. Szilagyi DE. Clinical diagnosis of intact and ruptured abdominal aortic aneurysms. In: Bergan JJ YJ, eds, editor. Aneurysms: Diagnosis and treatment. New York: Grune& Stratton;1982. p. 205-16.
6. Al-Koteesh J, Masannat Y, James NV, Sharaf U. Chronic contained rupture of abdominal aortic aneurysm presenting with longstanding back pain. Scott Med J. 2005;50(3):122-3.
7. Arici V, Rossi M, Bozzani A, Moia A, Odero A. Massive vertebral destruction associated with chronic rupture of infrarenal aortic aneurysm: case report and systematic review of the literature in the English language. Spine. 2012;37(26):E1665-71.
8. González Gay M, Alonso Pérez M, Adeba Vallina E. Erosión vertebral en aneurismas de aorta abdominal como causa de dolor lumbar crónico. Serie de 5 casos. Rev Esp Cir Ortop Traumatol. 2012;56(6):478-81.
9. Tsuchie H, Miyakoshi N, Kasukawa Y, Nishi T, Abe H, Takeshima M, et al. High prevalence of abdominal aortic aneurysm in patients with chronic low back pain. Tohoku J Exp Med. 2013;230(2):83-6.
10. National Institute for Health and Clinical Excellence. Abdominal aortic aneurysm: diagnosis and management. ClinicalGuidelines; 2020. Disponible en: https://www.nice.org.uk/guidance/ng156/resources/abdominal-aortic-aneurysm-diagnosis-and-management-pdf-66141843642565. Acceso el 14/04/2021

Tablas y Figuras

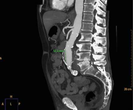
Figura 1

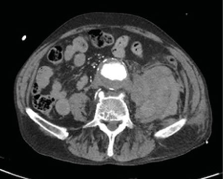
Figura 2

Artículos relacionados

Estudio transversal sobre factores relacionados con el dolor crónico y su atención, según sexo

Rev. Soc. Esp. Dolor. 2022; 29(2): 61-70 / DOI: 10.20986/resed.2022.3968/2022

Evolución de la lumbalgia en el paciente oncológico tratado con manejo intervencionista del dolor

Rev. Soc. Esp. Dolor. 2021; 28(2): 76-81 / DOI: 10.20986/resed.2021.3901/2021

Consideraciones para el examen clínico del síndrome de opérculo torácico neurogénico inespecífico

Rev. Soc. Esp. Dolor. 2020; 27(5): 316-323 / DOI: 10.20986/resed.2020.3834/2020

Dolor: “Cajón de sastre”

Rev. Soc. Esp. Dolor. 2020; 27(4): 278-280 / DOI: 10.20986/resed.2016.3507/2016

Revisión del impacto del tratamiento con acupuntura en el manejo del dolor lumbar inespecífico

Rev. Soc. Esp. Dolor. 2020; 27(1): 53-58 / DOI: 10.20986/resed.2020.3762/2019

¿Es efectivo el método pilates en el dolor lumbar?

Rev Soc Esp Dolor 2017; 24(5): 278 / DOI: 10/20986/resed.2016.3490/2016

Prevalencia del dolor irruptivo asociado al dolor crónico por lumbalgia en Andalucía (estudio COLUMBUS)

Rev Soc Esp Dolor 2017; 24(3):116-124 / DOI: 10.20986/resed.2017.3548/2016

Instrucciones para citar

Juárez P, Sánchez J, Miguel G. No es solo dolor lumbar: manifestación atípica del aneurisma de aorta. Rev Soc Esp Dolor 2023; 30(1): 60-62 / DOI: 1020986/resed20223983/2022


Descargar a un gestores de citas

Descargue la cita de este artículo haciendo clic en uno de los siguientes gestores de citas:

Métrica

Este artículo ha sido visitado 24091 veces.
Este artículo ha sido descargado 60 veces.

Estadísticas de Dimensions


Estadísticas de Plum Analytics

Ficha Técnica

Recibido: 12/04/2022

Aceptado: 13/12/2022

Prepublicado: 16/12/2022

Publicado: 23/05/2023

Tiempo de revisión del artículo: 201 días

Tiempo de prepublicación: 248 días

Tiempo de edición del artículo: 406 días


Compartir

Este artículo aun no tiene valoraciones.
Valoración del lector:
Valora este artículo:
© 2025 Revista de la Sociedad Española del Dolor
ISSN: 1134-8046   e-ISSN: 2254-6189

      Indexada en: