Año 2022 / Volumen 29 / Número 3

Original

Inyección intrarticular única ecoguiada de ácido hialurónico en la coxartrosis sintomática: estudio retrospectivo de la eficacia de dos presentaciones
Single eco-guided intra-articular injection of hyaluronic acid in symptomatic coxarthrosis: retrospective study of the efficacy of two presentations

Rev. Soc. Esp. Dolor. 2022; 29(3): 140-148 / DOI: 10.20986/resed.2022.4014/2022

Agustín Miguel García, Carmen María Pérez, María Díaz, Milagros Yulimar, Carmen Mateo, Laura Rosa Bravo, Íñigo Hernández


RESUMEN

Introducción: La viscosuplementación ecoguiada con ácido hialurónico en la coxartrosis sintomática se ha extendido como tratamiento seguro con eficacia demostrada, aunque con falta de consenso en su uso como práctica habitual. Pocos estudios han comparado la eficacia de dos productos de inyección única.
Objetivo: Evaluar la eficacia en pacientes infiltrados con dos ácidos hialurónicos de inyección única comparando Adant One® (A) a seis meses con Hyalone® (H) anual.
Material y método: Estudio observacional retrospectivo sobre cohorte de pacientes con coxartrosis sintomática, tratados mediante viscosuplementación intrarticular ecoguiada de cadera con dos tipos de inyección única de ácido hialurónico. Su eficacia fue evaluada de acuerdo con las escalas WOMAC y EVA a los 6 y 12 meses.
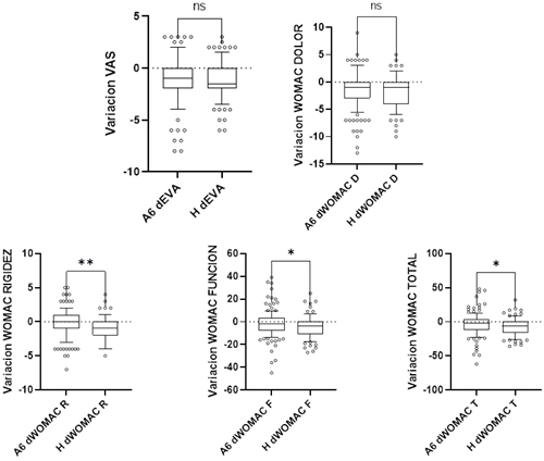
Resultados: Fueron tratados 144 pacientes con una dosis única de A y 84 con H. A los 6 meses aquellos tratados con A mostraron mejoras en relación con disminución del dolor en la EVA (p < 0,001) y en el WOMAC dolor (p = 0,003), así como en WOMAC global (p = 0,027). No hubo cambios en WOMAC rigidez y función. A los 12 meses los tratados con H mostraron mejorías en los parámetros EVA (p < 0,001) y WOMAC global (p = 0,010) y en todas sus dimensiones de manera significativa.
Conclusiones: Una inyección única de H anual fue más efectiva para mejorar el dolor y la funcionalidad de la cadera con artrosis a 1 año comparado con A semestral. Es posible establecer protocolos anuales de viscosuplementación para la artrosis de cadera con ácido hialurónico usando H.



ABSTRACT

Introduction: Ultrasound-guided viscosupplementation with hyaluronic acid in symptomatic hip osteoarthritis is widely used as a safe treatment with proven efficacy, although there is a lack of consensus on its use as routine practice. Few studies have compared the efficacy of two single injection products.
Objetive: To evaluate the efficacy in infiltrated patients with two single injection hyaluronic acids comparing Adant One® (A) at six months with annual Hyalone® (H).
Material and method: Restrospective observational study on a cohort of patients with symptomatic hip osteoarthritis, treated by ultrasound-guided intra-articular viscossuplementation with two types of single injection of hyaluronic acid. Its efficacy was evaluated according to the WOMAC and VAS scales at 6 and 12 months.
Results: 144 patients were treated with a single dose of A and 84 with H. At 6 months, those treated with A showed improvements in relation to pain reduction in the VAS (p < 0.001) and in the WOMAC pain (p = 0.003), as well as in global WOMAC (p = 0.027). There were no changes in WOMAC stiffness and function. At 12 months, those treated with H showed significant improvements in the VAS (p < 0.001) and global WOMAC (p = 0.010) parameters and in all their dimensions.
Conclusions: A single injection of annual H was more effective in improving pain and function of the hip with osteoarthritis at 1 year compared to A at 6 months. It is possible to establish annual viscossuplementation protocols for hip osteoarthritis with hyaluronic acid using H.





Artículo Completo

Nuevo comentario

Código de seguridad:
CAPTCHA code image
Speak the codeChange the code
 

Comentarios

No hay comentarios para este artículo.

Bibliografía

1. Acuña AJ, Samuel LT, Jeong SH, Emara AK, Kamath AF. Viscosupplementation for hip osteoarthritis: Does systematic review of patient-reported outcome measures support use? J Orthop. 2020;21:137-49.
2. De Lucía O, Pierannunzii LM, Pregnolato F, Verduci E, Crotti C, Valcamonica E, et al. Effectiveness and tolerability of repeated courses of viscosupplementation on symptomatic hip osteoarthritis: A retrospective observational cohort study of high molecular weight vs medim molecular weight hyaluronic acid vs no viscosupplementation. Front Pharmacol. 2019;10:1007.
3. Kolasinski SL, Neogi T, Hochberg MC, Oatis C, Guyatt G, Block J, et al. 2019 America College of Rheumatology/Arthritis Foundation Guideline for the management of osteoarthritis of the hand, hip and knee. Arthritis Care Res (Hoboken). 2020;72(2):149-62.
4. Zhang W, Nuki G, Moskowitz RW, Abramson S, Altman RD, Arden NK, et al. OARSI recommendations for the management of hip and knee osteoarthritis: part III: changes in evidence following systematic cumulative update of research published through January 2009. Osteoarthritis Cartilage. 2010;18(4):476-99.
5. Conrozier T, Monfort J, Chevalier X, Raman R, Richette P, Diraçoglù D, et al. EUROVISCO Recommendations for optimizing the clinical results of viscosupplementation in osteoarthritis. Cartilage. 2020;11(1):47-59.
6. De Rezende MU, Campos Gurgel HM, Pereira Ocampos G, De Campos GC, Frucchi R, Pailo AF, et al. Improvements in hip osteoarthritis with lavage, triamcinolona and Hyal G-F20. Acta Ortop Bras. 2020;28(6):280-6.
7. Pogliacomi F, Schiavi P, Paraskevopoulos A, Leigheb M, Pedrazzini A, Ceccarelli F, et al. When is indicated viscosupplementation in hip osteoarthritis? Acta Biomed. 2018;90(1-S):67-74.
8. McConnell S, Kolopack P, Davis AM. The Western Ontario and McMaster Universities Osteoarthritis Index (WOMAC): a review of its utility and measurement properties. Arthritis Rheum. 2001;45(5):453-61.
9. Conrozier T, Vignon E. Is there evidence to support the inclusion of viscosupplementation in the treatment paradigm for patients with hip osteoarthritis? Clin Exp Rheumatol. 2005;23(5):711-6.
10. Mauro GL, Scaturro D, Sanfilippo A, Benedetti MG. Intra-articular hyaluronic acid injections for hip osteoarthritis. J Biol Regul Homeost Agents. 2018;32(5):1303-9.
11. Liao YY, Lin T, Zhu HX, Shi MM, Yan SG. Intra-articular viscosupplementation for patients with hip osteoarthritis: A meta-analysis and systematic review. Med Sci Monit. 2019;25:6436-45.
12. Schiavi P, Calderazzi F, Pedrini MF, Tacci F, Vaienti E, Pobliacomi F. Efficacy and safety of viscosupplementation with hyaluronic acid for hip osteoarthritis: results from a cross-sectional study with a minimum follow-up of 4 years. Acta Biomed. 2020;91(14-S):e2020032.
13. Uson J, Rodriguez-García SC, Castellanos-Moreira R, O’Neil TW, Doherty M, Boesen M, et al. EULAR recommendations of intra-articular therapies. Ann Rheum Dis. 2021;80(10):1299-305.

Tablas y Figuras

Tabla I

Figura 1

Figura 2

Tabla II

Tabla III

Figura 3

Artículos relacionados

Eficacia clínica de la inyección de plasma rico en plaquetas en la artrosis de rodilla

Rev. Soc. Esp. Dolor. 2024; 31(3): 141-149 / DOI: 10.20986/resed.2025.4112/2023

Datos de remisión y manejo de una población oncológica a una unidad de dolor. ¿Qué podemos mejorar?

Rev. Soc. Esp. Dolor. 2023; 30(1): 7-14 / DOI: 10.20986/resed.2023.4010/2022

Parálisis facial periférica posterior a bloqueo de glosofaríngeo: reporte de un caso

Rev. Soc. Esp. Dolor. 2022; 29(2): 114-118 / DOI: 10.20986/resed.2022.3963/2021

Hipo persistente tras inyección epidural de betametasona: a propósito de un caso

Rev. Soc. Esp. Dolor. 2021; 28(2): 169-171 / DOI: 10.20986/resed.2021.3914/2021

Toxina botulínica en el tratamiento del síndrome de dolor miofascial

Rev. Soc. Esp. Dolor. 2021; 28(2): 100-110 / DOI: 10.20986/resed.2021.3902/2021

Plasma rico en plaquetas y células madre mesenquimales intrarticulares en artrosis

Rev. Soc. Esp. Dolor. 2021; 28(13): 80-84 / DOI: 10.20986/resed.2021.3858/2020

Toxina botulínica y ozono intrarticular en la artrosis

Rev. Soc. Esp. Dolor. 2021; 28(13): 73-79 / DOI: 10.20986/resed.2021.3857/2020

Infiltraciones de esteroides y ácido hialurónico en la artrosis

Rev. Soc. Esp. Dolor. 2021; 28(13): 64-72 / DOI: 10.20986/resed.2021.3854/2020

P-090 COMPLICACIÓN EN INFILTRACIÓN MÚSCULO PIRAMIDAL

Rev Soc Esp Dolor 2019; 26 (Supl. 1): 01-124

Fiabilidad técnica del bloqueo caudal guiado con ecografía

Rev Soc Esp Dolor 2014; 21(5): 323-327

Bloqueo motor tras infiltración epidural caudal: a propósito de un caso

Rev. Soc. Esp. Dolor. 2019; 26(2): 120-123 / DOI: 10.20986/resed.2018.3669/2018

Síndrome de dolor miofascial como causa de dolor agudo postoperatorio en la cirugía de cadera

Rev. Soc. Esp. Dolor. 2019; 26(2): 117-119 / DOI: 10.20986/resed.2019.3655/2018

Terapias intervencionistas para manejo de dolor en osteoartrosis de rodilla sintomática

Rev Soc Esp Dolor 2017; 24(6): 324-332 / DOI: 10.20986/resed.2016.3508/2016

Tratamiento de la coccigodinia mediante infiltración del ganglio de Walter

Rev Soc Esp Dolor 2017; 24(5):276-277 / DOI: 10.20986/resed.2016.3513/2016

Patología osteomuscular y dolor crónico: rotación multidisciplinar para médicos de Atención Primaria

Rev Soc Esp Dolor 2017; 24(5): 256-263 / DOI: 10.20986/resed.2017.3562/2017

Instrucciones para citar

García A, Pérez C, Díaz M, Yulimar M, Mateo C, Bravo L, et all. Inyección intrarticular única ecoguiada de ácido hialurónico en la coxartrosis sintomática: estudio retrospectivo de la eficacia de dos presentaciones. Rev Soc Esp Dolor 2022; 29(3): 140-148 / DOI: 1020986/resed20224014/2022


Descargar a un gestores de citas

Descargue la cita de este artículo haciendo clic en uno de los siguientes gestores de citas:

Métrica

Este artículo ha sido visitado 35007 veces.
Este artículo ha sido descargado 145 veces.

Estadísticas de Dimensions


Estadísticas de Plum Analytics

Ficha Técnica

Recibido: 27/08/2022

Aceptado: 20/12/2022

Prepublicado: 21/12/2022

Publicado: 26/01/2023

Tiempo de revisión del artículo: 85 días

Tiempo de prepublicación: 116 días

Tiempo de edición del artículo: 152 días


Compartir

Este artículo aun no tiene valoraciones.
Valoración del lector:
Valora este artículo:
© 2025 Revista de la Sociedad Española del Dolor
ISSN: 1134-8046   e-ISSN: 2254-6189

      Indexada en: