Año 2023 / Volumen 30 / Número 1

Original

Efectividad del bloqueo de nervios cluneales para tratamiento de dolor lumbar crónico
Effectiveness of cluneal nerve block for the treatment of chronic low back pain

Rev. Soc. Esp. Dolor. 2023; 30(1): 30-35 / DOI: 10.20986/resed.2023.4023/2022

Maira Alejandra Vanegas, Johan Manuel Prieto, Rafael Enrico, Christian Vladimir Guauque, Julieth Vivian Sarmiento


RESUMEN

Introducción: El dolor lumbar representa una problemática de salud pública ante la discapacidad que genera, sea motora o sensitiva de etiología multifactorial, en la cual el atrapamiento de los nervios cluneales cumple un papel importante, encontrando como una alternativa al dolor por esta patología el manejo intervencionista. El objetivo principal del estudio fue establecer la efectividad del bloqueo de nervios cluneales en dolor lumbar crónico en pacientes mayores de 18 años de dos hospitales de Bogotá.
Métodos: Estudio de tipo observacional, retrospectivo, realizado en pacientes diagnosticados con dolor lumbar crónico y signos y síntomas de atrapamiento de nervios cluneales o clunealgía llevados a bloqueo de nervios cluneales en quienes que se evaluó la intensidad del dolor y duración del efecto analgésico en cuatro momentos.
Resultados: Se identificaron 45 pacientes; de estos, 11 no presentaban datos de seguimiento. El 93 % (n = 35) de los pacientes presentaron una EVA (escala visual análoga del dolor) mayor a 7 previo al procedimiento, el 28 % (n = 11) presentaron postbloqueo inmediato mejoría del dolor con una EVA menor a 6, en el primer control el 57 % (n = 22) conservaron la mejoría alcanzada, y el 10 % (n = 4) retornó a su estado basal de dolor. En el segundo, el 10 % (n = 4) de los pacientes no presentaron cambios en la intensidad, y el 78,9 % (n = 30) conservaba mejoría en la intensidad del dolor.
Conclusiones: El bloqueo de los nervios cluneales es una alternativa vanguardista de manejo transitorio del dolor lumbar crónico que permitirá seleccionar con mayor objetividad los pacientes candidatos a intervencionismo guiado por fluoroscopia. Se propone la realización de estudios mediante estudios tipo III como los ensayos aleatorizados con grupos donde se administre placebo versus mezclas analgésicas en pacientes con clunealgia.



ABSTRACT

Introduction: Low back pain represents a public health problem due to the disability it generates, whether motor or sensory, of multifactorial etiology, in which cluneal nerve entrapment plays an important role, finding an alternative to pain from this pathology. interventional management. The main objective of the study was to establish the efficacy of cluneal nerve block in chronic low back pain in patients older than 18 years from two hospitals in Bogotá.
Methods: Observational, retrospective study, carried out in patients diagnosed with chronic low back pain and signs and symptoms of cluneal nerve entrapment or clunealgia leading to cluneal nerve block in whom pain intensity and duration of the analgesic effect were evaluated in four moments.
Results: 45 patients were identified; of these, 11 did not present follow-up data. 93 % (n = 35) of the patients presented a VAS (visual analogue pain scale) greater than 7 prior to the procedure, 28 % (n = 11) presented immediate post-block pain improvement with a VAS less than 6, 57 % at the first control (n = 22) maintained the improvement achieved, and 10 % (n = 4) returned to their baseline state of pain. In the second, 10 % (n = 4) of the patients did not show changes in intensity, and 78.9 % (n = 30) maintained improvement in pain intensity.
Conclusions: Cluneal nerve blocks are an avant-garde alternative for the temporary management of chronic low back pain that will make it possible to more objectively select patients who are candidates for fluoroscopy-guided intervention. Studies are proposed using type III studies such as randomized trials with groups where placebo is administered versus analgesic mixtures in patients with clunealgia.





Artículo Completo

Nuevo comentario

Código de seguridad:
CAPTCHA code image
Speak the codeChange the code
 

Comentarios

No hay comentarios para este artículo.

Bibliografía

1. Chen S, Chen M, Wu X, Lin S, Tao C, Cao H, Shao Z, Xiao G. Global, regional and national burden of low back pain 1990-2019: A systematic analysis of the Global Burden of Disease study 2019. J Orthop Translat. 2021;32:49-58.
2. Hoy D, Brooks P, Blyth F, Buchbinder R. The Epidemiology of low back pain. Best Pract Res Clin Rheumatol. 2010;24(6):769-81. DOI: 10.1016/j.berh.2010.10.002.
3. Barrera A, Guerrero V, López V, Mejia Y, Parrilla J, Pérez A, et al. Diagnóstico, Tratamiento y Prevención de Lumbalgia Prevención de Lumbalgia Aguda y Crónica en el prime Aguda y Crónica en el primer nivel de atención. México: Instituto Mexicano del Seguro Social; 2009.
4. Morimoto D, Isu T, Kim K, Imai T, Yamazaki K, Matsumoto R, et al. Surgical treatment of superior cluneal nerve entrapment neuropathy. J Neurosurg Spine. 2013;19(1):71-5.
5. Karl HW, Helm S, Trescot AM. Superior and Middle Cluneal Nerve Entrapment: A Cause of Low Back and Radicular Pain. Pain Physician. 2022;25(4):E503-E521.
6. Schmid AB, Hailey L, Tampin B. Entrapment Neuropathies: Challenging Common Beliefs With Novel Evidence. The Journal of orthopaedic and sports physical therapy. 2018;48(2):58-62.
7. Sittitavornwong S, David F, Rakesh S, Nathan W, Tubbs R. Anatomic considerations for posterior iliac crest bone procurement. J Oral Maxillofac Surg. 2013;71(10):1777-88.
8. Tubbs R, Levin M, Loukas M, Potts E, Cohen A. Anatomy and landmarks for the superior and middle cluneal nerves: application to posterior iliac crest harvest and entrapment syndromes. J Neurosurg Spine. 2010;13(3):356-9.
9. Konno T, Aota Y, Kuniya H, Saito T, Qu N, Hayashi S, et al. Anatomical etiology of "pseudo-sciatica" from superior cluneal nerve entrapment: a laboratory investigation. J Pain Res. 2017;10:2539-2545.
10. Chang KV, Hsu SH, Wu WT, Özçakar L. Ultrasonographic Technique for Imaging and Injecting the Superior Cluneal Nerve. Am J Phys Med Rehabil. 2017;96(6):e117-e118.
11. Kuniya H, Aota Y, Kawai T, Kaneko K, Konno T, Saito T. Prospective study of superior cluneal nerve disorder as a potential cause of low back pain and leg symptoms. J Orthop Surg Res. 2014;9:139.
12. Isu T, Kim K, Morimoto D, Iwamoto N. Superior and Middle Cluneal Nerve Entrapment as a Cause of Low Back Pain. Neurospine. 2018;15(1):25-32.
13. Bodner G, Platzgummer H, Meng S, Brugger PC, Gruber GM, Lieba-Samal D. Successful Identification and Assessment of the Superior Cluneal Nerves with High-Resolution Sonography. Pain Physician. 2016;19(3):197-202.
14. González A, Jiménez A, Rojas E, Velasco L, Chávez M, Coronado S. Correlación entre las escalas unidimensionales utilizadas en la medición de dolor postoperatorio. Rev Mex Anest. 2018;41(1):7-14.
15. Arce S, García E, Parra E. Costos por Dolor Lumbar en una EPS en Cali, Colombia. Rev Colomb Salud Ocup. 2013;3(2):22-5.
16. Kuniya H, Aota Y, Saito T, Kamiya Y, Funakoshi K, Terayama H, et al. Anatomical study of superior cluneal nerve entrapment. J Neurosurg Spine. 2013;19(1):76-80.
17. Chiba Y, Isu T, Kim K, Iwamoto N, Morimoto D, Yamazaki K, et al. Association between intermittent low-back pain and superior cluneal nerve entrapment neuropathy. J Neurosurg Spine. 2016;24(2):263-7.

Tablas y Figuras

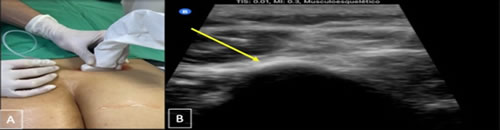
Figura 1

Tabla I

Tabla II

Figura 2

Tabla III

Figura 3

Tabla IV

Artículos relacionados

Uso de parches de capsaicina al 8 % para el tratamiento del dolor neuropático lumbar

Rev. Soc. Esp. Dolor. 2022; 29(1): 28-33 / DOI: 10.20986/resed.2022.3995/2022

Instrucciones para citar

Vanegas M, Prieto J, Enrico R, Guauque C, Sarmiento J. Efectividad del bloqueo de nervios cluneales para tratamiento de dolor lumbar crónico. Rev Soc Esp Dolor 2023; 30(1): 30-35 / DOI: 1020986/resed20234023/2022


Descargar a un gestores de citas

Descargue la cita de este artículo haciendo clic en uno de los siguientes gestores de citas:

Métrica

Este artículo ha sido visitado 27600 veces.
Este artículo ha sido descargado 306 veces.

Estadísticas de Dimensions


Estadísticas de Plum Analytics

Ficha Técnica

Recibido: 12/09/2022

Aceptado: 21/04/2023

Prepublicado: 03/05/2023

Publicado: 23/05/2023

Tiempo de revisión del artículo: 131 días

Tiempo de prepublicación: 233 días

Tiempo de edición del artículo: 253 días


Compartir

Este artículo aun no tiene valoraciones.
Valoración del lector:
Valora este artículo:
© 2025 Revista de la Sociedad Española del Dolor
ISSN: 1134-8046   e-ISSN: 2254-6189

      Indexada en: